免责声明:本人所有回答均参考自人民卫生出版社教科书, 部分图片来自网络,如有侵权请及时联系我,文章内容 不构成任何医疗建议,只做医疗信息传播,如有身体不适请于正规医院就诊。
本人是神经内科主治医师,擅长脑血管病,帕金森病,神经脱髓鞘病变等领域,欢迎大家点击右上角关注

前面说完了脑梗死(其实还有很多没有讲完,比如小脑脑干部位的分水岭脑梗死),今天继续把脑出血讲一下
脑出血指原发性非外伤性脑实质内出血
高血压性脑出血:最常见原因指高血压伴发脑小动脉病变,血压骤升引起动脉破裂出血。
将从三个方面来阐释
第一个是病因
第二个就是通过不同的部位来分析CT表现跟临床表现
第三治疗方案的选择(手术指征)
病因
动脉瘤与脑血管畸形虽然也是脑出血重要原因,单独后述

各种脑出血的动画
1.高血压小动脉硬化(最常见,约半数)
①长期高血压→脑内深穿支动脉血管壁结构变化→微动脉瘤形成或阻力小动脉脂质透明变性;
②当血压骤然升高时,血液自管壁渗出/瘤壁直接破裂→血液进入脑组织→血肿。
2.出血素质

各种凝血功能障碍或血液病
抗凝导致的脑出血不同于其他病因的脑出血有如下三个特征
A. 出血逐渐发展,数小时至数天内隐匿发展
B. 累及小脑和脑叶的比率较高
C. 高发病率和高死亡率
3.药物
年轻患者,除外脑外伤和动静脉畸形意外,引起脑出血的其他原因很少
最多见的是甲基苯丙胺(*毒冰**)/*卡因可**出血

4.脑淀粉样血管病
最常见的出血部位一般在顶枕部

5.其他:梗死性脑出血,原发或转移性肿瘤
常见的脑出血易发出血的动脉
1. 大脑中动脉分支→豆纹动脉外侧支。
2. 大脑后动脉的分支→ 丘脑穿通动脉
3. 大脑后动脉的分支→ 丘脑膝状动脉
4. 桥脑出血是基底动脉分支→旁正中动脉
5. 小脑出血→小脑上动脉分支。
6. 脑室出血→脉络丛血管破裂。
常见部位脑出血的影像学及临床表现
1.基底节区(壳核、丘脑)出血常累及内囊后肢,传统称“基底节/内囊出血”。
壳核出血=内囊外侧型出血;
丘脑出血=内囊内侧型出血。
以内囊损害的 “三偏体征”为突出表现.
三偏征:病灶对侧偏瘫、偏身感觉缺失(偏麻)和同向偏盲。

1)尾状核出血
特点:出血量小、症状轻、易破入脑室
①头痛、呕吐,脑膜刺激征(+)
②可有对侧中枢性舌面瘫
③类似蛛网膜下腔出血

尾状核出血
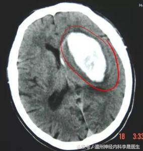
2)壳核出血
①豆纹动脉外侧支破裂,占50~60%
②突发“ 二/三偏”征: 可伴向病灶侧凝视(双眼凝视病灶侧) 优势半球损害有失语;
③出血量大:有意识障碍,可破入脑室;
出血量小:可呈纯运动性/纯感觉性障碍,无头痛、呕吐等,与腔梗不易区分。

壳核出血

壳核出血(大)

壳核出血(A)小壳核范围内的出血,(B)侵犯了内囊,(C)血肿压迫侧脑室

轴位脑切面示意图,(1)前部型累及壳核前部和内囊前肢;(2)中间型包括内囊膝,苍白球和壳核的中间部分(3)后部型累及内囊后肢远端且常累及是辐射并向颞叶蔓延
3)丘脑出血
丘脑膝状体动脉或丘脑穿通动脉破裂所致。约占10%,出血量较大时亦表现为内囊性“三偏”;
与壳核出血不同之处:
①感觉障碍较重,深感觉障碍突出;
②特征性眼征:双眼下视、凝视鼻尖、上视困难;
③意识障碍重:波及下丘脑或破入第三脑室出现中线症状(昏迷、瞳孔小、去皮层强直等)
④其他:丘脑性失语 (语言低沉、缓慢或无自发语言、听觉理解能力障碍等,但预后佳); 可有情感淡漠、视听幻觉、情绪低落、欣快以及定向、计算、记忆障碍等。

丘脑出血
2.脑叶出血
常由脑AVM、Moyamoya病、脑淀粉样血管病、肿瘤卒中等所致,占5~10%
以顶叶最常见,其次为颞叶、枕叶、额叶,可有多发脑叶出血。 临床可表现为头痛呕吐,癫痫发作较多,肢体瘫痪较轻,昏迷少;根据累及脑叶的不同,出现局灶性定位症状和体征。
①年轻人多见于血管畸形,Moyamoya病,血肿边不规则,血肿内混杂密度。
②老年人多见于脑A硬化,类淀粉样血管病,肿瘤等。
③临床表现取决于出血部位和量。
④突然头痛,头痛程度与血肿有否破入脑室或蛛网膜下腔有关。
⑤可有偏瘫、躯体感觉障碍,偏瘫特点,单瘫或上下肢瘫的程度不一致。
⑥可有癫痫,精神症状,不完全性失语,强握、摸索、视力障碍、脑膜刺激征等。
1 额叶—轻偏瘫,运动性失语(优势半球),癫痫,*禁失**,精神异常、摸索、 强握等。

额叶脑出血
2 颞叶—瘫痪、面舌瘫、上象限盲,幻视幻嗅,精神症状,颞叶癫痫,感觉性失语(优势半球)等。

(A)左侧颞叶大出血压迫同侧侧脑室;(2)较小的右侧颞叶出血
3 顶叶—偏身感觉障碍、失用、下象限盲,体像障碍等。

顶叶出血
4 枕叶—对侧同向性偏盲、黄斑回避,多无瘫痪。

枕叶出血
3.脑干出血
1)中脑出血
出血量少→同侧或双侧动眼神经损害,眼位异常,伴对侧或双侧锥体束征。
大量出血→深昏迷、双侧瞳孔散大,立即死亡。

中脑出血
2)桥脑出血:(基底动脉脑桥支破裂)
占10%,是脑干出血的好发部位。表现突然头痛、呕吐、眩晕、复视、侧视麻痹、交叉性瘫痪、四肢瘫痪。
a.轻型 :出血<5ml
①意识清。
②病变位于腹外侧时,表现病灶侧外展神经麻痹及周围性面瘫,对侧 肢体瘫和偏身感觉障碍。

桥脑出血(小)
b.重型:出血>5ml
①意识障碍重。
②四肢瘫、少数可出现去脑强直。
③眼球浮动,瞳孔针尖样缩小。
④呕吐咖啡样胃内容物,中枢性高热,呼吸不规则,多在24~48h内死亡。

桥脑出血(大)
3)延髓出血
原发性延髓出血少见。多为桥脑出血扩展至延髓,表现突然昏迷,血压下降,呼吸节律不规则,心律紊乱迅速死亡。

延髓出血(MRI)
4.小脑出血
小脑齿状核动脉(上动脉)破裂所致,占10%
临床特点: 眩晕呕吐、枕部剧痛、眼震、共济失调、构音障碍,无或轻度意识障碍,无肢体瘫痪。
出血量大,可出现昏迷及脑干受压征象(面瘫,两眼凝视病灶对侧,肢体瘫痪及病理反射);暴发型常突然昏迷,去脑强直、枕骨大孔疝,迅速死亡。

小脑脑叶出血

小脑蚓部出血
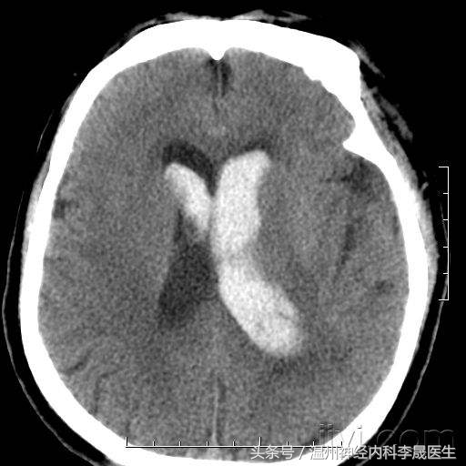
5.原发性脑室出血
少见,为脑室内脉络丛或室管膜下动脉破裂所致,占3%-5%. 其临床特征如下:
① 小量出血:多数。
头痛、呕吐,意识障碍或一过性意识障碍,脑膜刺激征及血性CSF,酷似蛛血,预后好,可完全恢复.。
② 大量出血:
突然头痛、频繁呕吐、迅速昏迷、四肢软瘫及去脑强直发作、针尖样瞳孔、眼球分离斜视或浮动等、病情危重,迅速死亡。

原发性脑室出血
参考资料:
1.王拥军编译,2010年《Caplan脑卒中》临床实践.第4版
2.丁香园网站,柳州市中医院神经内科,安红伟,《脑血管定位诊断及病历分析PPT》
3.吴江,《神经病学》人民卫生出版社,第三版