30岁男性,因休息时气短6个月来诊。患者否认心脏病家族史。吸烟史10年,近期已戒烟。
心电图:窦性心动过缓,II、III、aVF导联QR波形、ST段抬高,aVL导联rs波形、ST段压低、T波倒置;V2、V3导联RS波形,V5、V6导联可见q波和R波低电压;II、aVF导联QRS波可见中间部分可见顿挫,V2导联T波双相。看到这张心电图,你认为该患者的基础病因是什么?

图1 首次就诊时的心电图
图1中的主要异常是下壁导联可见明显的Q波。心电向量间隔方向占优势(图2C和2D)。在人类心脏中,有4中去极化向量:前两个与间隔、传导系统和左心室心内膜纤维的去极化有关,后两个是左心室心肌和心外膜游离壁去极化产生的(图2A和2B)。

图2 正常心脏双心室去极化的示意图及相应的II导联QRS波(A和B),产生小q波;间隔不对称肥厚者双心室去极化的示意图及相应的II导联QRS波(C和D),深Q波,其后有R波和ST段抬高
下壁导联QS波是由于前间壁基底部肥厚;V2、V3导联RS波形也与孤立性间隔肥厚相符;其他心电图表现也与间隔肥厚一致。
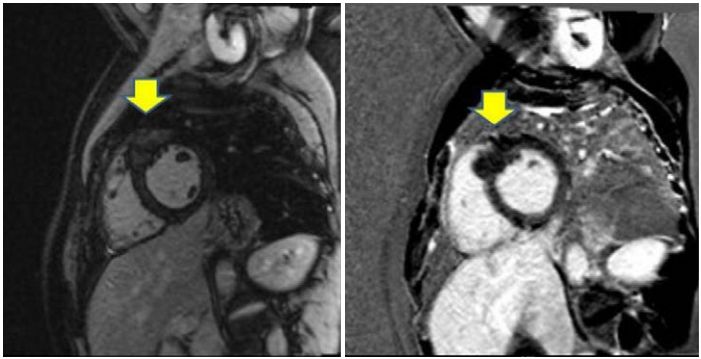
该患者有吸烟史,加上气短的临床表现,鉴别诊断包括冠状动脉疾病。患者的超声心电图未发现室壁运动异常,除外了心梗引起的Q波。随后的心脏磁共振检查显示不成比例的间隔肥厚和晚期钆增强(图3)。确定诊断为肥厚型心肌病。

图3 心脏磁共振显示前间壁基底部局灶性肥厚
经过风险评估,患者心脏性猝死风险较低,未植入ICD。在开始使用β受体阻滞剂和血管紧张素转换酶*制剂抑**(ACEI)治疗后,患者表现良好,运动能力得到了改善。
知识链接:室间隔肥厚性心肌病(HCM)心电图特点
①可出现各种心律失常,最常见的为室性心律失常,是青壮年发生猝死的主要原因;
②左心房增大;
③多导联出现Q波:Q波的形成与室间隔肥厚程度有关,取决于起始向量的方位、大小及室间隔是否存在心肌病变;
④QRS波振幅增大;
⑤V1导联R波增高;
⑥ST-T异常改变;
⑦心室大。
医脉通编译自:Khalid Bakr, Julia Grapsa, Antonio Sorgente. Abnormal ECG Findings in a Young Patient With Unexplained Shortness of Breath: The Apple Doesn’t Fall Far From the Tree. Circulation. 2018; 138: 1060–1062.