同居女友腹痛12小时死亡,宫外孕到底多可怕?7类孕妇容易宫外孕

女孩和男朋友同居,夜里12点,女孩觉得肚子疼,第二天吃过药也没有缓解,中午12点女孩病情加重,男朋友吓坏了,赶紧拨打120,但是太晚了,20分钟后女孩失去了知觉,医生到场也没能挽救她年轻的生命。

经过鉴定,女孩因右侧输卵管异位妊娠破裂出血,致失血过多休克死亡。女孩的父母认为男朋友延误治疗时机,才导致女儿死亡,将这个男友告上法庭,最终法院判男友赔偿女方父母8万元。

同居女友腹痛12小时死亡,宫外孕到底多可怕?7类孕妇容易宫外孕

这个悲剧本来可以不发生,只因为两人没有足够的医学常识,不知道宫外孕到底多可怕,白白延误了救命良机,真是可悲可叹。

同居女友腹痛12小时死亡,宫外孕到底多可怕?7类孕妇容易宫外孕

什么是宫外孕?

宫外孕就是异位妊娠,正常情况下,受精卵在子宫腔内着床发育,当受精卵跑到了它不应该在的地方,就发生了异位妊娠,异位妊娠的发生率是2%-3%,其中90%以上在输卵管,输卵管妊娠是孕妇在孕早期死亡的第一大杀手。

准妈妈怀孕是一件喜事,但是胎宝宝不听话乱串门,可就太让人郁闷了,胎宝宝不能好好生长发育,还有可能会要了妈妈的命。准妈妈该紧张了,怎么知道自己会不会得宫外孕?

同居女友腹痛12小时死亡,宫外孕到底多可怕?7类孕妇容易宫外孕

其实宫外孕也是个“势利眼”,有自己的挑人标准, 专门爱盯着这7类孕妇

一是之前有过宫外孕,研究表明,之前得过一次宫外孕,再次发生的概率是10%;之前有过2次以上,再次发生宫外孕的概率增加到25%以上。

二是输卵管损伤或是做过手术,薄弱环节容易被敌人攻克;三是有盆腔炎症四是使用辅助生殖技术;五是孕妇吸烟频繁;六是年龄超过35岁;七是“带环妊娠”,有些女性带了宫内节育器,但是还是会怀孕,虽然带环怀孕概率低,但是一旦怀孕有53%概率发生宫外孕。

如果孕妈有以上危险因素,怀孕后要格外小心,去医院检查下是否宫内孕。但是,宫外孕并不是都会“预警”,33%-50%的宫外孕妈妈并没有明确的高危因素。

同居女友腹痛12小时死亡,宫外孕到底多可怕?7类孕妇容易宫外孕

宫外孕有什么症状?如何判断?

很多孕妈已经知道宫外孕很危险,一怀孕就怀疑自己是不是宫外孕,宫外孕到底有什么症状呢?其实并没有一种症状,孕妈只要有,就能立即诊断宫外孕,孕妈需要进行一些检查才能确诊。

  • 宫外孕症状

宫外孕最常见的症状是:停经、腹痛和阴道流血 。不管宫内孕还是宫外孕,怀孕会停经。如果异位妊娠没有破裂,没有腹痛或是有轻微腹痛,如果破裂则疼痛明显。怀孕初期阴道出血,孕妈要除外宫外孕或流产。

除了最常见的症状外,孕妈还会有乳房胀痛、头晕、胃肠道不适、泌尿系统症状、排出阴道组织物、肛门坠胀感等。

如果宫外孕破裂,有大出血,孕妇会面色苍白、腹胀、子宫增大、血压降低、休克,持续得不到救治,就会危及生命。

输卵管妊娠的临床表现容易和一些孕早期合并疾病混淆,需要鉴别。

同居女友腹痛12小时死亡,宫外孕到底多可怕?7类孕妇容易宫外孕

同居女友腹痛12小时死亡,宫外孕到底多可怕?7类孕妇容易宫外孕

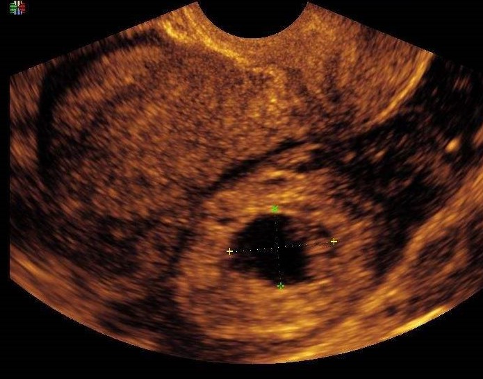
  • 超声检查

宫外孕最准确的诊断是超声, 当看到附件区有孕囊,里面有卵黄囊和胚芽,就能确诊 。但是,很多时候孕妈的表现没有那么典型,验尿或是验血发现怀孕后,在附件区发现肿块,这时要高度怀疑宫外孕。

宫外孕有一个“狡猾“”的表现,很迷惑人,20%的宫外孕在宫腔内有“假孕囊”,很像宫内孕的表现,但是里面没有卵黄囊和胚芽,这个是宫腔积液或者积血。

同居女友腹痛12小时死亡,宫外孕到底多可怕?7类孕妇容易宫外孕

  • 查血清hCG值

孕妈怀疑怀孕,除了自己用验孕棒验尿,医生会让抽血检查,查的是“血清人绒毛膜促性腺激素”,简称“hCG”。

如果孕妈怀疑是宫外孕,推荐第一次查过血清HCG后,间隔48小时或者更长时间,再次复查血HCG。

第一次血清hCG值低于1500U/L时,hCG最低增幅是49%;第一次血清hCG值处于1500-3000U/L时,hCG最低增幅是40%;第一次血清hCG值超过3000U/L时,hCG最低增幅是33%。

如果间隔48小时,血清hCG上升幅度低于最低增幅,要高度怀疑异常,可以是宫外孕,或是早孕期流产。

孕早期血清hCG不断增高,宫内孕时第二次检查与第一次检查相比,hCG值上升快,翻倍好,宫外孕翻倍差。

同居女友腹痛12小时死亡,宫外孕到底多可怕?7类孕妇容易宫外孕

宫外孕怎么治疗?

孕妈诊断宫外孕后,必须把宫外孕清理掉,不然就像身体内放置了一个“定时*弹炸**”,不定什么时候破裂,危及孕妈生命。

2019年5月,中国优生科学协会组织国内专家,编著《输卵管妊娠诊治的中国专家共识》,介绍了输卵管妊娠的治疗方案,包括期待治疗、药物治疗、和手术治疗。

1、期待治疗

有近1/3的输卵管妊娠可以用期待治疗,就是不用药不手术,定期复查观察进展。通常症状比较轻微的孕妇可以采用。

哪些孕妇可以期待治疗? 孕妇病情稳定,没有腹痛或者只有轻微的腹痛,血清hCG值<1000-2000U/L,超声检查输卵管妊娠肿块的直径不超过30mm,并且没有胎心搏动,没有明显的腹腔内出血,而且孕妈愿意接受。

期待疗法不是放置不管,而是需要孕妈定期去医院复查,一般根据病情不同,间隔2-7天复查血清hCG,最开始孕妈hCG值越低,成功率越高。正常情况,血清hCG应该不断下降,如果血清hCG持续上升,或大于2000U/L,说明不成功,需要采用别的治疗方法。

同居女友腹痛12小时死亡,宫外孕到底多可怕?7类孕妇容易宫外孕

2、药物治疗

很多孕妈觉得有宫外孕不管它不放心,万一哪天有问题来不及去医院怎么办,她们会采用更积极的方法,同时她们不愿意“挨一刀”,所以药物治疗成为她们的首选。

甲氨蝶呤(MTX) 是最常用的药物,成功率可达70%-95%,一般是 肌肉注射 。适用于生命体征平稳的孕妇,血清hCG水平低,最好低于1500U/L,最高可放宽至5000U/L,孕妇输卵管妊娠没有破裂,且肿块小于35-40mm,没有胎心,没有明显的腹腔内出血,孕妇可以定期来复查。

孕妈需要知道的是,药物治疗不是注射一次就万事大吉,还需要定期复查,甚至再次注射。血清hCG需要2-4周才能恢复孕前水平,最长的可能需要8周。

指南建议,孕妇在最后一次注射甲氨蝶呤后,最少再过3个月再怀孕。

同居女友腹痛12小时死亡,宫外孕到底多可怕?7类孕妇容易宫外孕

3、手术治疗

如果孕妈输卵管妊娠破裂,出现剧烈腹痛、腹腔出血,出现生命体征不稳,比如血压下降、心跳加速、面色苍白等,就需要立即手术治疗。

一般采用腹腔镜手术,可以切除病变侧的输卵管,也可以把输卵管切开,把胚胎取出,保留输卵管。用哪种手术方法取决于输卵管损伤情况,以及孕妇的生育需求。

如果孕妇还要生孩子,另一侧输卵管有损伤,那么这次病变侧最好保留,可以做输卵管切开取胚术。如果孕妇没有生育需求,或是另一侧输卵管正常,可以考虑把病变侧输卵管都切除。如果两侧输卵管都有问题,还可以做试管婴儿。

同居女友腹痛12小时死亡,宫外孕到底多可怕?7类孕妇容易宫外孕

总之,有*生活性**的育龄期女性,一旦例假超期,或是出现腹痛、阴道出血,无论有无避孕措施都要检查下是否怀孕,如果怀孕要去医院查血hCG和超声,看看胚胎是否位置正常,一旦有宫外孕,就要听从医生嘱咐,积极治疗,以免发生意外。