“医生,我女儿怎么一直高烧不退呢?”小李着急地问道。他的女儿瑶瑶今年12岁,前几天有些发热,原以为只是普通感冒引起的,便自己在家吃了儿童退烧药,可几天下来高烧不断反复,症状还越来越严重,怕冷、浑身酸痛、两眼浮肿、小便呈酱油色,小李这才察觉出不对劲,急忙带女儿来了医院。
其主治医生诊断过后,让小李带女儿做了尿常规检查,在拿到报告后这才找到问题所在。医生问小李,瑶瑶近期是否患过感染性疾病,小李被问得有些云里雾里,这与孩子得过感染性疾病有什么关系呢?
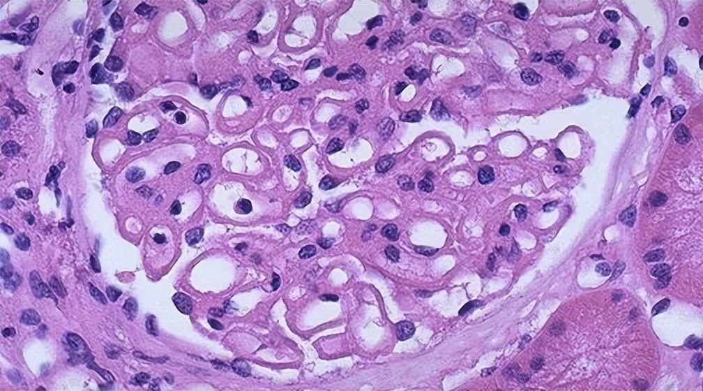
原来,瑶瑶不是感冒引起的发烧,是患上了肾小球肾炎,需要住院治疗。而让瑶瑶患急性肾小球肾炎的罪魁祸首正是引起感染性疾病的链球菌——一种大家熟知的细菌。
作为引发急性肾小球肾炎的最大的“帮凶”—链球菌,它对我们来说可是并不陌生。链球菌是一种常见的革兰氏阳性球菌,也是化脓性球菌,广泛存在于自然界中,大多数不致病。那么,为什么它会诱发儿童患急性肾小球肾炎呢?我们又该如何预防呢?下面让我们来了解一下关于链球菌的那些事儿!

一、链球菌是什么?为什么会诱发急性肾炎呢?
儿童急性肾小球肾炎,也就是我们常说的急性肾炎,他的发病病因并不唯一,一般是由前期感染引起的急性起病。在儿童中比较常见,如果孩子出现了血尿症状,或者存在不同程度的蛋白尿、水肿、高血压等症状。
导致儿童急性感染后肾小球肾炎最常见的细菌,就是a组β溶血性链球菌。它到底是什么呢?下面让我们一起来了解一下。

a组β溶血性链球菌属于链球菌,在自然界中分布广泛,甚至存在于人的鼻咽部中。其中的大多数对人体都是非常“友好”的,一般来说不致病,而少部分则会引起感染性疾病。医学上重要的链球菌主要有A组溶血性链球菌、草绿色链球菌、肺炎链球菌、B组溶血性链球菌等。

在医学上,按溶血现象,将链球菌属细菌分为了三类:甲型溶血链球菌、乙型溶血链球菌、丙型链球菌。其中,丙型链球菌一般不会致病。甲型溶血链球菌又分为肺炎链球菌和草绿色链球菌,乙型溶血链球菌分为A组溶血性链球菌(又成化脓性链球菌)、B型溶血性链球菌和C、D、G~溶血性链球菌。

按抗原结构分为a群,b群,c群,d群等20个群。按生化反应分类,分为需氧性链球菌(对人有致病性)、厌氧性链球菌(一般不致病,特定条件下有致病性和兼性厌氧性链球菌(对人有致病性)。
大部分的链球菌抵抗力并不强,在60℃的环境下,只要3分钟,大部分链球菌都会被杀死。链球菌在干燥尘埃中可存活数日,但对青霉素、红霉素、氯霉素、四环素等都比较敏感,耐药性低。因此在医学上,青霉素、红霉素等经常被用于治疗链球菌感染。

如急性细菌性咽炎及扁桃体炎,一般由A组溶血性链球菌引起,抗菌药物通常选用青霉素(青霉素过敏患者,选用四环素类或对溶血性链球菌敏感的左氧氟沙星、莫西沙星),阿莫西林,青霉素。
总之,对人有致病性的一般是需氧性链球菌,而且大部分的链球菌对外界的抵抗力并不强。不过,就是这种看似无害的链球菌,人体免疫力较低时,给它机会产生蛋白酶外毒素B等抗体,蛋白酶外毒素B会与肾小球内成分发生交叉反应,就有可能会致使急性肾小球肾炎的发生。

二、被链球菌感染的急性肾小球肾炎到底是什么?有何症状?
对于急性肾小球肾炎,有的朋友可能不太了解。它是肾脏的炎症病变,是一种炎症反应,当受到不同抗原微生物的入侵后,人体会产生不同的抗体,抗体与抗原作用后会沉积在肾脏,进而发生炎症。所以肾小球肾炎是一类疾病的统称。
肾小球肾炎的发生原因一般有两种,一是是 肾脏本身的原因 ,二是由 全身疾病造成的肾炎 。急性肾小球肾炎在中青年阶段患病率较高,有肾脏疾病家族病史的人也有较高的患病风险,应该注意防范。

在医学上,急性肾炎一般分为 急性链球菌感染后肾小球肾炎和非链球菌感染后肾小球肾炎 ,而前者是最主要的一种。临床症状有 血尿、蛋白尿、水肿、高血压 等。同时,还可能伴有一定程度的并发症,如急性肾功能损伤、慢性肾衰竭、高血压、贫血……
不过这种链球菌感染的急性肾小球肾炎多为自限性的,预后一般良好。即使罹患了这种疾病,也是有机会恢复的,在现有的医学条件下也可以通过药物治疗以缩短病程,所以不必过于害怕这种细菌,更重要的是学会预防。
三、链球菌无孔不入,预防工作如何做?
虽然链球菌引起的人体疾病都是可治的,但我们还是要做好预防工作,将治“已病”变为治“未病”,这样更可以有效的减少疾病对我们的伤害。而对于这种在生活中处处可见的细菌,我们该如何做好预防工作呢?下面让我们一起看看吧。
链球菌主要通过飞沫传染,因此传染的可能性较大,所以在临床中应该对病人和链球菌携带者及时治疗,从源头上解决细菌的传播,避免扩大其对人体的伤害。因此对于患者所处空间的空气,患者使用的器械以及辅料等,都要进行消毒处理。空气、器械、敷料等要注意消毒。

具体来看,接种疫苗是最有效的预防方法之一。对于儿童或者其他高危人群应该及时接种疫苗,提高人体对于链球菌的抵抗力,减少患病的几率。通过接种疫苗可以切断链球菌引起人体感染的可能,让链球变成对人体“无害”的细菌。
在医院内,应该对治疗患者及链球菌携带者进行隔离治疗。减少健康的、未感染的人群与他们的接触。对患者积极治疗的同时,也要注意在源头上控制感染源。患者所处的病房内要每日消毒,医护人员进出病房也要注意防护和消毒,医疗器械以及患者所用的生活物品都要进行消毒处理。

对于一些特殊人群,比如孕妇,要使用特殊的预防手段。妊娠晚期女性,阴道分泌物分离出B群链球菌应该预防性用药,防止新生儿感染。
总的来说,在源头上对链球菌感染者进行把控,可以有效减少链球菌对人体的伤害,避免感染路径的扩大,因此大家应该积极响应疫苗接种,用“预防”代替“治疗”。

四、链球菌感染后,作为家长该如何做好宝宝的护理工作呢?
由链球菌引起的肾小球肾炎主要发生在儿童和青少年时期,对于这一阶段的孩子,家长应该积极地采取预防手段。如果孩子已经感染,那么应该及时到医院就诊治疗。
同时作为家长应该积极做好对孩子的护理工作,这样可以更有效地帮助孩子痊愈,避免病情对身体造成更严重的损伤,提高身体抵抗力,早日恢复强健体魄。
作为家长在得知孩子患有肾小球肾炎时不用过于恐慌。目前来看,儿童肾小球肾炎的病死率不足2%,只要积极做好护理和就诊即可,家长可以从以下几个方面来护理:

1.保证睡眠。对于孩子来说,自身抵抗力较弱,睡眠的保证是最根本的。无论病情是轻是重,必须要进行卧床休息,这不仅能够保证孩子的精气神,以良好的精神状态接受治疗。更重要的是减轻心脏负担,防止心力衰竭和因血压升高发生高血压脑病。

2.少盐。急性肾小球肾炎孩子的饮食要格外注意。在治疗期间一定要忌盐,防止浮肿加重、血压升高。但并不是在患病的全过程中都要忌盐,一般来说,在急性肾炎早期,有浮肿、少尿、高血压和严重循环充血时,要减少盐分的摄入。
等到治疗一段时间之后,患儿浮肿消退,尿量正常,血压也恢复正常后就可以恢复对盐的摄入。在恢复过程中也要注意循序渐进,开始的时候每日摄入的食盐不要超过2克,像咸菜、腌肉、腊肠等盐分较大的食物不能吃。在持续2到3周以后,没有不良反应,那么就可以渐渐增加盐分摄入,恢复到正常状态下的饮食。

4.通过锻炼增强体质。在预防阶段,家长可以多带孩子参加各种体育活动,如跑步、打球、爬山、跳远等。根据天气和条件,尽量安排户外活动,通过体育锻炼可以增强孩子身体的抵抗力。当然,在户外运动时,特别是春夏季节,一定要预防蚊虫叮咬,避免细菌通过蚊虫叮咬传播。
在儿童患有肾小球肾炎的过程中,家长要积极做好护理工作。采取以上建议,为孩子创造一个良好的饮食与生活环境,帮助孩子形成乐观的心态,可以更好地面对治疗,早日恢复身体健康。

总结
儿童急性肾小球肾炎是由链球菌引起的,而链球菌是我们生活中非常熟悉的一种细菌。大部分链球菌对人体都是不致病的,少部分连球菌虽然会引起人体感染,但是在现有的医学条件下可以通过药物来治疗。所以大家不用对链球菌过于惧怕,以平常心来面对,做好预防和护理工作即可。
参考资料:
【1】宗文纳, 杨晓慧, 卢新政. 风湿热预防及急性链球菌咽炎诊治的专家共识 [J]. 心血管病学进展,2009,30(5):881-883.
【2】李凡,医学微生物学 [M] 第九版 . 北京 .人民卫生出版社 .2017.90-95