
这位细菌,你很膨胀嘛!
作者|云南省一院孙丹雄
来源|医学界呼吸频道
肺CT装酷很不容易,CT看细菌难于上青天,但是,有时候,还是有很多蛛丝马迹的。点击阅读上期:教你从肺CT上分辨是哪种细菌感染①丨葡萄球菌肺炎篇。
下面介绍一个我管过的患者。
青年男性,高热4天。
患者4天前无明显诱因出现发热,体温最高40.0℃,多波动于39.5-40.0℃之间,无畏寒及寒战,伴乏力、纳差,头昏、头痛,恶心、呕吐,吐胃内容物数次,为黄色胃液,无咳嗽、咳痰、咯血,无胸痛,无呼吸困难。病程中患者精神、睡眠、饮食差。
血常规:白细胞明显升高,中性为主;PCT、CRP均升高。

诊断考虑什么?金葡菌?曲霉菌?毛霉菌?血管炎?寄生虫?其他?
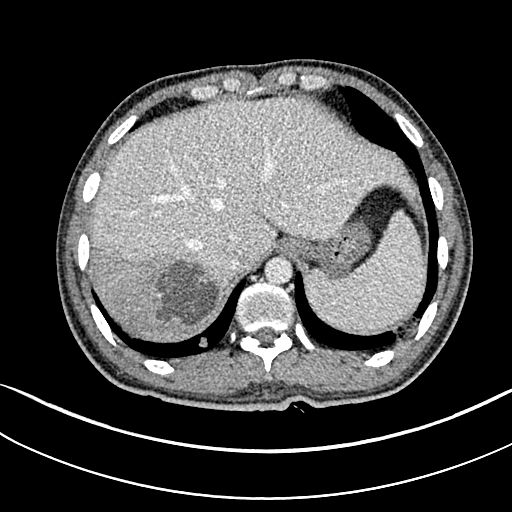
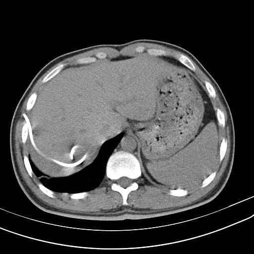
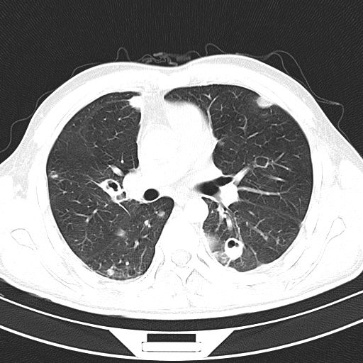
CT:双肺多发空洞、气囊、结节,病灶以胸膜下为主,见实变,胸腔积液。肝脓肿。
CT也提示脓毒肺栓塞!
金葡菌?
这个患者的特点是肺空洞,肝脓肿!肝脓肿的存在,大大缩小了诊断范围,缩小了细菌范围!肺CT提示脓毒肺栓塞,并且同时存在肝脓肿,绝大多数都是肺炎克雷伯杆菌,不是金葡菌,真菌更是少见!
肺炎克雷伯杆菌
肺炎克雷伯菌是引起肝脓肿的最常见病原体,以前的报道,肺炎克雷伯菌性肝脓肿很少有肝外侵袭,但是,近些年发现,肺炎克雷伯杆菌,很容易导致肝脓肿侵袭综合征:细菌全身多部位播散,肺、神经系统和眼是最常见的侵袭部位。

送检脓液培养出:肺炎克雷伯菌。抗感染,肝脓肿穿刺引流,病情唰唰的好转。
呼吸内科医生,知心知肺,还要知肝,才能更好滴为人民服务!才能当当当:富强、民主、文明、和谐、自由、平等、公正、法治、爱国、敬业、诚信、友善!

参考文献:李春娜,胡越凯,邵凌云,黄玉仙,张文宏,翁心华,金嘉琳.肺炎克雷伯菌致肝脓肿侵袭综合征3例临床分析及文献复习[J].微生物与感染,2016,11(4):247-251.
再来一例!
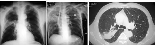
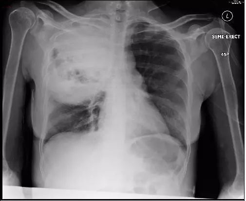
患者急性起病,发热,咳嗽,咳痰,痰液粘稠。

诊断啥?

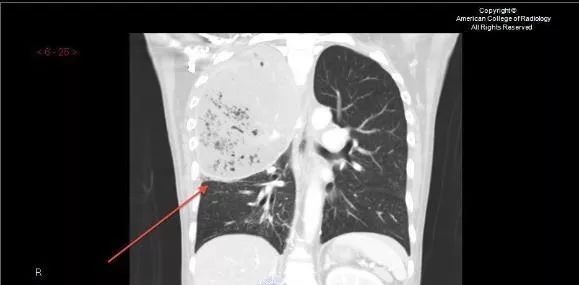
肺炎克雷伯杆菌,是肺炎常见细菌,典型的影像学表现是叶间裂下坠。什么是叶间裂下坠?书上只有文字,我也可以意会到,然而画面很模糊。多年以后,我才突然秒懂!
感谢北京丰台医院放射科张春生等提供的精彩文献!我是查了N篇文献才找到的沧海一粟!
叶间裂下坠,从CT上看,就感染的肺组织膨胀了!
肺炎克雷伯杆菌,就是这么骄傲的细菌,非常喜欢自我膨胀!控制不住的自我膨胀!

今天你自我膨胀了吗?
肺炎克雷伯杆菌,祝你膨胀,这样我们就可以早点把你从革命队伍中揪出来!
参考文献:张春生, 李学军, 邰韩珍,等. 克雷伯杆菌肺炎的影像探讨(附89例分析)[J]. 影像诊断与介入放射学, 2007, 16(6):261-263.
一般情况下,克雷伯杆菌肺炎的影像学表现与其他细菌性肺炎相似, 仅根据影像鉴别相当的诊断困难,但是,知道其特点,才能发现典型的患者,有时候可以更好的早期诊断,减少抗生素滥用,为人民服务!
比如上面的患者,假如了解肺炎克雷伯杆菌的特点,至少,初始治疗就不用广泛的使用抗生素,从而实现现在很流行的精准治疗。
最后,再来回望一下,什么是叶间裂下坠。

肺炎克雷伯杆菌,你就膨胀吧!
