近日,南医三院足踝外科收治了几个外伤致Pilon骨折的病人,病人家属都会问同样的问题,什么是Pilon骨折,严不严重,如何手术治疗?今天就跟大家科普一下什么是Pilon骨折。
1、概念
1911年,法国放射科Destot医生首先使用pilon骨折一词。pilon在拉丁语中指捣研用的杵,胫骨远端与之相像,所以累及胫骨远端关节面的粉碎性骨折称为pilon骨折。1952年,将其描述为踝关节穹隆的破坏。现在pilon骨折一般是指胫骨远端1/3波及胫距关节面的骨折。此骨折约占下肢骨折的1%,占胫骨骨折的3%~10%,10~30%为开放性骨折,75~85%并发有腓骨骨折。

捣研用的杵(图片来自网络,侵请联系删)
2、损伤机制
一般来讲,两种不同的损伤机制导致骨折,其预后则不同。一种为低能量损伤,由于运动或从低处跌落,胫骨远端以螺旋剪切性损伤为主,这种损伤关节面破坏较轻,预后较好;另一种为高能量损伤,从高处摔下或机动车交通事故所,距骨像锤子一样,以极高速度撞击胫骨远端,造成关节面内陷破裂、干骺端骨质粉碎关节面严重破坏,骨折对位差,预后不佳。
3、骨折特征
粉碎性骨折、高度不稳定、关节受到破坏、预后不肯定
4、治疗
对于开放性骨折,需要急诊行清创、外支架临时固定手术,在软组织伤情平稳后行二期手术解决骨折的问题。对于闭合性的Pilon骨折,大多需要做患肢的跟骨牵引,予以制动,维持肢体的轴线,并给予冷敷止血、消肿镇痛等处理。等待肿胀消退、皮肤条件稳定后择期行手术切开复位、植骨、内固定等治疗。
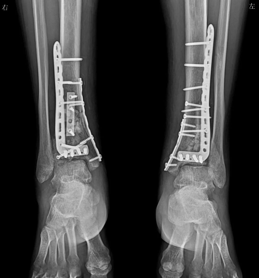
5、病例
42岁的何大叔,因交通事故致双侧踝关节疼痛、肿胀、活动受限2月余收治南医三院足踝外科,诊断为:双侧陈旧性Pilon骨折,行双侧胫腓骨切开内固定术。术后10个月足部功能恢复良好。

术前CT示:双侧胫骨远端骨质碎裂累及踝关节面

视频加载中...
术后10个月足部功能活动良好