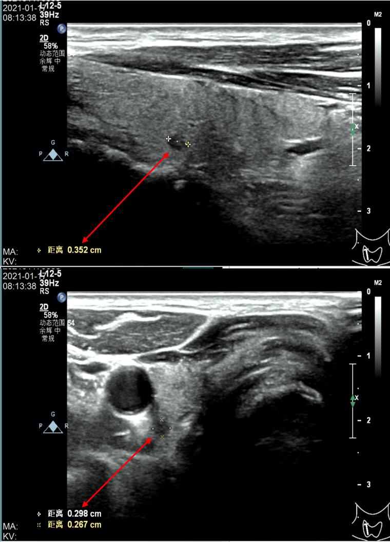
67岁的梁伯伯,1年前因“甲状腺左叶乳头状癌”行外科手术切除甲状腺左叶全部与右叶大部分甲状腺组织。术后梁伯伯以为手术切除后就完全好了而没有按时复查。现在术后1年多了才来医院检查甲状腺超声,但很不幸,甲状腺超声发现梁伯伯仅剩一点点的甲状腺右残叶又长了一个芝麻粒大小结节(0.352cm*0.298cm*0.267cm),还是4类,如下图。


但问题又来了,这个芝麻粒大小的甲状腺结节,到底是良性的还是恶性的,让梁伯伯与家人极度的焦虑,也让医生犯难了,因为甲状腺癌外科手术切除后残余甲状腺结节是良性还是恶性直接决定后期的处理方式。如果是良性,这么小的结节是不用处理,只需定期观察即可,如果是恶性结节,则要再次手术切除。
超声对诊断甲状腺结节的良、恶性具有很高的价值,优秀的超声医生对甲状腺结节良、恶性鉴别的准确性可达90%。但是超声检查对操作者的依赖性非常严重,对同一结节,不同超声医生可能会做出截然不同的诊断。我院超声检查诊断梁伯伯的甲状腺右侧残叶结节为4类,而梁伯伯1年前确诊甲状腺左叶乳头状癌并外科手术切除。我院内分泌科、普外科及介入科会诊后,根据国际与国内权威标准(凡直径>1cm的甲状腺结节,均可考虑超声引导下甲状腺结节细针穿刺抽吸细胞学检查;直径<1cm的甲状腺结节如伴有可疑超声征象或其他危险因素,也可考虑超声引导下甲状腺结节细针穿刺抽吸细胞学检查),则建议梁伯伯在介入科用超声引导下行细针穿刺抽吸细胞学检查明确结节是良性还是恶性。虽然梁伯伯的甲状腺右侧残叶结节只有芝麻粒大小(0.352cm*0.298cm*0.267cm),而且微小结节位于甲状腺的深面背侧,但是介入科开展甲状腺结节细针穿刺活检已经很多年,积累了丰富的临床经验,还是比较有信心能成功穿刺活检的。最后不负众望,介入科用超声引导下作甲状腺结节细针穿刺活检后将细胞标本送病理科沉渣包埋制片,我院病理科医生的细胞学病理诊断经验非常丰富,在送检的细胞学标本中找到了甲状腺乳头状癌细胞即可作出甲状腺乳头状癌的病理细胞学诊断(如下图)。

医学科普
“甲状腺结节”只是肿瘤、囊肿、炎性团块或其他疾病引起的甲状腺肿物的一种形态描述。甲状腺结节又有良性及恶性之分,但却没有特异的临床表现,有的良性结节生长较快有点像恶性肿瘤,而有的恶性肿瘤生长缓慢又类似良性结节,有些恶性结节可以很小,毕竟恶性结节也是由小长到大的生长过程。因此,要确定甲状腺结节的良恶性不能单凭体检或超声检查,还需要结合病史、体检、化验检查,甚至病理检查才能判断。所以,很多时候,医生也不能单纯看超声检查就确定甲状腺结节到底是良性还是恶性。
目前鉴别甲状腺结节良性或恶性的最直接的方法是超声引导下的甲状腺结节细针穿刺抽吸细胞学检查(FNA)。专科医生会据患者B超结果、甲功结果及查体的结果等给出建议,是否需要穿刺病理检查。目前,美国甲状腺协会(ATA)、美国内分泌医师协会、意大利临床内分泌协会和欧洲甲状腺协会(AACE/AME/ETA) 、欧洲甲状腺协会(ETA)和超声放射学家协会(SRU)发表的甲状腺结节诊治指南都一致肯定了FNA在甲状腺结节诊断中的领导地位。2012年我国中华医学会和中国抗癌协会相关机构联合发表了《甲状腺结节和分化型甲状腺癌诊治指南》,其中也明确指出,FNA有助于减少不必要的甲状腺结节手术,并帮助确定恰当的手术方案。凡直径>1cm的甲状腺结节,均可考虑FNA;直径<1cm的甲状腺结节如伴有可疑超声征象或其他危险因素,也可考虑FNA。部分专家认为甲状腺结节小于10毫米,细针穿刺抽吸活检很难取到结节内细胞(阳性率低),达不到诊断的目的,但细针穿刺活检经验丰富的医生往往都能成功穿刺活检。
甲状腺结节细针穿刺用的是极细的针,穿刺时吸取甲状腺组织进行细胞学检查。此方法操作简便,组织损伤小,安全经济,诊断迅速,是术前甲状腺结节良恶性鉴别的金标准,也是多种甲状腺疾病诊断与鉴别诊断的有效方法。对甲状腺结节穿刺的主要目的为区别良恶性。良性意味着可以保守治疗、微创治疗或择期手术,而恶性者应尽早采取包括手术在内的综合治疗。
良性甲状腺结节对健康的影响主要取决于两个方面,一方面是形态上的影响,较大的结节可能影响美观、压迫气管、神经和食道等周围组织,如果甲状腺结节发生坏死出血,颈部肿块会突然增大并可引起疼痛。另一方面是功能上的影响,结节可能具有一定功能或导致甲状腺功能改变,出现甲亢或甲减,进而影响机体健康。所以,一般专科医生在检查时都会从形态和功能两个方面进行评估。即B超和抽血查甲功。并不是所有的甲状腺结节都需要治疗,医生会据检查结果给出建议,哪些结节需要治疗甚至手术,哪些并不需要干预治疗,仅随访观察即可。当然治疗方案的选定要根据具体的情况,有时还会进行调整,最后的治疗方案肯定是在权衡利弊,并与患者进行充分沟通后制定出的。
甲状腺细针穿刺活检是在超声引导监视下用细针抽出甲状腺结节细胞拿去化验帮助明确甲状腺结节是良性还是恶性。
甲状腺结节介入微创消融治疗是在超声引导监视下,通过针刺进结节中发射微波,将结节消融、杀死,从而消除病灶。因结节内没有神经,大大避免了损伤神经的风险。而且介入微创消融治疗是局部麻醉,治疗过程中,病人可以和医生对话,通过病人声音的变化,还能提示医生避免永久性损伤神经(喉返神经、喉上神经内、外支)。
(此处已添加医疗卡片,请到*今条头日**客户端查看)