“人在天上飘,有病谁能料?”飞机作为一种现代化的交通工具,早已成为商务、旅行者的首选。然而,一旦在飞机上遇到乘客突发疾病,也就不同于地面,无法就近下来,可能耽误治疗。如此危急的时刻,对于机组人员的应急反应和地面接应的医疗人员的救治水平就是严峻的考验了。

前几天,从深圳直飞北京的航班上,就发生了这样一件事。飞行中,王女士因为腹痛,持续昏迷,虽然经过紧急抢救后终于苏醒过来,但病情仍然命悬一线。紧急下,机长开始呼叫塔台,请求协调救护车,送这位王女士去医院救治。飞机落地,待命的120迅速接上王女士,一路上,拉着警报器呼啸而过,火速把病痛中的王女士送到了北京大学国际医院急诊科。
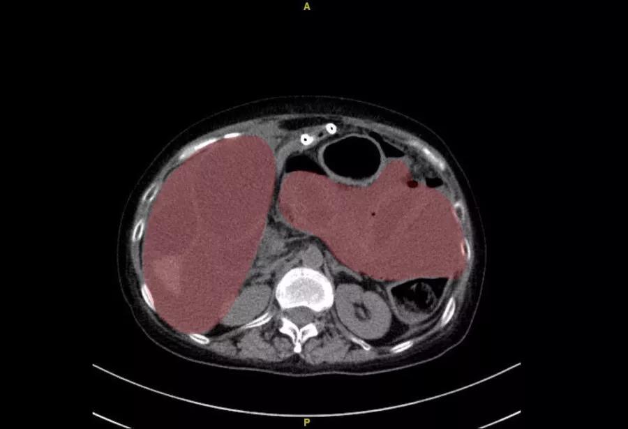
由于情况紧急且特殊,急诊科救治后,第一时间请腹膜后肿瘤外科会诊。罗成华主任和苗成利副主任医师分析腹部增强CT和穿刺结果,发现由于全结肠破裂,王女士的腹腔里溢满粪液。而让问题更加特殊的是,伴随着患者有晚期苗勒氏管肉瘤的病史,直接上手术台,刻不容缓!

患者腹腔增强CT,红色部分均为粪液
就在医学专家们会诊的同时,王女士再次陷入昏迷中,此时已经是深夜11点,时间就是生命,各位专家毫不犹豫,直接冲到手术室,备战手术,要为患者打开了一条生命的通道。在麻醉医师的支持下,罗成华主任、苗成利副主任医师主刀进行手术。即便之前已经做出了精准的预判,也预知了手术的难度,但当打开患者腹腔的那一瞬,还是让手术台上的医护人员大吃一惊,现实原比预先设想的更加糟糕。王女士的腹腔内不仅有近千毫升的粪液,还有数个苗勒氏管肉瘤的转移瘤侵犯了多个器官,以至于全结肠完全坏死。这种情况下,一场手术下来,要处理的问题远超于一场普通的手术,这是一场硬仗,而且是必须打赢的战斗!
经过五个小时的手术与医治,手术团队用上万毫升生理盐水将腹腔冲洗干净,并挑战了难度很高的全结肠切除术,同时把转移瘤也切除了,进行了小肠造瘘,以替代全结肠。直到凌晨4点,手术顺利结束,把王女士从死亡线上拉了回来,迎来新生。

罗成华主任紧急为患者进行手术
而手术的成功,只是一个开始,这是第一关。对于这类患者来说,术后的治疗更是重中之重,这是第二关。手术结束之后,肿瘤内科梁军主任携团队进行了会诊,给予靶向药物治疗。在这个方案的治疗下,王女士身患的晚期苗勒氏管肉瘤被逐渐控制,2个月后,顺利出院。
手术虽然成功,但手术后的护理是第三道难关。出院之后,王女士由于晚期癌症及服用靶向药物的影响,身体比较虚弱,加之造口和手术切口在家中又护理不佳,受到了感染,再次来到北京大学国际医院住院。
在医院,护士给予了专业的护理,每日消毒、上药,精细护理,同时配合小肠的营养支持,在病房护士的精心呵护之下,王女士的造口很快长好。

术后对患者进行护理
面对手术后的感染,整形外科会诊后,进行了皮瓣转移,重新缝合了伤口。而由于患者化疗不耐受,放疗科根据现有患者身体状况,在配合靶向治疗的同时,又采取了局部放疗措施。一个科室一个科室,现在,王女士的治疗仍在继续。
对于王女士来说,原判定三个月的生命期,被北大国际医院的医护人员一再延长,而在坚持一年之后,王女士更有信心笑对生活,笑对生命的挑战。
而王女士对未来的期许,来源于北京大学国际医院提供的开放、灵活、个性化的专业治疗方案。在这里,可以享受到MDT(多学科疑难病症联合会诊),对于各类疑难疾病,医院会通过多学科交叉、整合,预约多个相关学科的专家,对患者的疾病进行全面评估,最终形成最为优化的治疗方案。
北京大学国际医院的先进之处就在于充分发挥好开放性平台的作用,不拘泥于以往的固定团队针对不同治疗需求的患者,充分利用多中心、多学科优势,灵活调配,以疾病为中心进行全面评估,帮助患者免于多科室、甚至多医院的奔波之苦。
优化的方案让患者放心,精湛的医术让患者安心,贴心的护理让患者暖心,这是北京大学国际医院初心与使命。
喜欢我的内容的朋友,欢迎关注哦,每天为您分享更多好内容!