病历描述:患者女性,37岁,市民,间断胸闷气短两年余,加重两周。两周前再次出现了胸闷气短心悸等症状,活动后加重,夜间症状明显,到当地医院进行超声心动图检查,发现再次出现“心包积液中到大量”,遂来我院就诊。
患者女性,37岁。
主诉:间断胸闷气短两年余,加重两周。
现病史:患者两年前因感冒发烧后出现胸闷心悸等症状,在当地医院检查发现有心肌酶的升高,同时超声心动图检查发现“少到中量的心包积液”,予以一系列的药物治疗(具体不详)后,症状好转出院。患者首次入院后半年,再次出现了胸部不适的症状,因“心包积液中到大量”再次入院。住院期间,行“心包穿刺术”,自述检查结果排除了肿瘤、结核等病因,经治疗后症状好转,患者出院。两周前再次出现了胸闷气短心悸等症状,活动后加重,夜间症状明显,到当地医院进行超声心动图检查,发现再次出现“心包积液中到大量”,遂来我院就诊。患者没有发热,胸痛,也没有明显的夜间阵发性呼吸困难等症状。
既往史:既往体健,无高血压、糖尿病、心脑血管疾病的病史,否认传染病病史。
家族史:没有明确的心脏病史,母亲曾患有甲减。

网络图片,非本病历插图
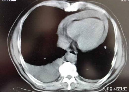
辅助检查:于本院心电图显示:窦性心律,各导联低电压,T波是低平和倒置。超声心动图显示:左房左室内径正常,射血分数74%,中到大量的心包积液。胸片显示:心界向两侧扩大,同时左侧有少量的胸腔积液。血常规正常,抗核抗体阴性,血沉23,风湿因子、抗链O是阴性的,免疫球蛋白和补体是阴性的。甲功显示:T3T4水平低,TSH的水平明显升高,升高约正常界值的15倍。
追问病史:患者曾出现过畏寒乏力等症状,家族史中,母亲曾患有甲减。
进一步完善检查:进行甲状腺的检查,超声显示甲状腺略增大,回声呈迷茫性的均匀性的减低,血流丰富。提示甲状腺出现弥漫性的改变。甲状腺抗体定量和甲状腺酶抗体定量明显升高;穿刺活检,显示嗜酸性细胞和淋巴细胞均显像,考虑桥本氏甲状腺炎。
心包积液的原因可能与患者出现甲状腺功能减退有一定关联。
诊断:甲状腺机能减退;
桥本氏甲状腺炎;
心包积液。
治疗过程:因患者当前没有心包压塞的症状和体征,考虑到患者的病因与甲状腺功能减退的关系比较大,所以决定暂时不给予心包穿刺,因患者比较瘦弱,在严密的观察下给予优甲乐从25微克每天逐渐加量到50-100微克每天。每2~4周复查甲功三项,来调整用药。患者在治疗一个月后胸闷心悸等症状明显减轻,T3正常,T4略低,TSH明显下降。复查超声心动图,心包积液明显减少。继续服用优甲乐,对因治疗直接治疗甲状腺功能减退有了明显效果。治疗9个月后,复查甲功三项都回复正常,超声心动图显示心包积液也基本消失。薇 xin:vzb0066
分析:
1.年轻女性,既往体健,没有明确病史
2.因反复发生的心包积液而出现胸闷心悸的症状入院
3.辅助检查后,发现心包积液与甲状腺功能减退有明显关系
4.治疗上没有进行心包穿刺,而进行对因治疗,患者的症状明显好转,心包积液消失
明确患者心包积液的病因,对患者的心包积液的评估,治疗预后方面发挥着非常重要的作用