腹腔镜手术,俗称微创手术,其相比于传统开腹手术,具有创伤小、并发症少、恢复快等优点,既缩短了住院时间,又使患者负担费用相应减少。
以前,也许会有人疑问,“我那么大个瘤子,微创手术能切干净吗?开放手术不是看得更清楚、切得更干净吗?”

现在,随着医疗技术的进步和健康知识的科学普及,越来越多的人对微创手术有了更深刻的了解并且从中受益。
在日常的临床工作中,谈及腹腔镜手术时,我是这么跟病人及家属讲的, 微创手术,简单概括其实就是四个步骤:
- 先在皮肤上打一个或几个手指头大的孔( 打孔 )
- 进入到指定腔隙然后 打气 (二氧化碳)
- 再 放入镜头 在高清显示屏上看
- 发现病灶就对症切除或修补,病患解除后再缝合小切口,手术就可以结束了。
腹腔镜手术与传统开放手术相比,治疗目的相差无异,最显著的差别在于 切口大小:

传统胆囊结石开腹手术疤痕
当然还有很多因微创而带来的好处,浅显地说就是“小切口同样可以解决大问题”。

单孔腹腔镜下胆囊切除术,术后将近无痕
正因如此,在同等条件下,现在腹腔镜手术才更受患者及家属的欢迎,术后瘢痕小、又符合美学要求,患者更乐意接受微创手术,尤其是爱美的年轻患者。
可以说,微创手术是外科发展的总趋势和追求目标。因此我们在微创手术领域不断深耕,积极并广泛地开展腹腔镜手术。

肚脐单个操作孔
多年来,我们不断学习,精益求精,不断进行技术革新,本着“微创+”的思想理念,陆续开展了单孔腹腔镜手术,如单孔腹腔镜下行阑尾切除术,胆囊切除术,小儿疝修补术等,使得微创更微创。
针对复杂病例,我们采取院内多科联动、积极配合进行疾病诊疗,不断整合、充分利用现有资源,在更多的微创手术基础上再次加入微创的思想理念,即“微创+”思想理念,为更多适应症患者开展更微创的手术。

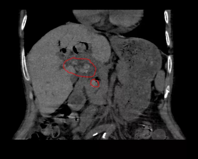
胆总管结石及肝内胆管多发结石(术前)
术中我科应用腹腔镜+硬质胆道镜经胆总管碎取胆总管结石及肝内胆管结石。

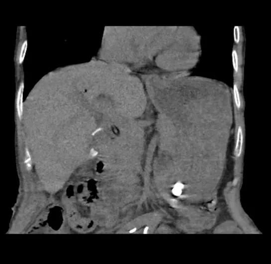
术后结石清除,胆管扩张减轻
术中一次性取净胆道结石,避免了结石残留,大大降低了短期内结石梗阻的复发几率,从而避免了再次手术的创伤打击,真正达到了微创手术的目的。
针对符合条件的部分患者,评估好病情,我们同样可以对其进行“微创+”手术治疗,即NOSES手术。
NOSES手术是经自然腔道取标本手术的简称,可以形象地称之为微创中的微创。
该术式是在腹腔镜下结、直肠恶性肿瘤根治术基础上发展起来,目前主要适用于结、直肠恶性肿瘤,也可应用于胃肿瘤,如胃间质瘤、胃平滑肌瘤、胃纤维瘤等。
其手术的核心要点是根治性切除肿瘤,通过口腔、直肠肛管或者女性患者阴道取出肿瘤标本,无需再次在腹壁上作长切口取出。所以肚皮上留下的只有穿刺小口的小疤痕,使得患者术后疼痛进一步减轻,病情恢复得更快。

近年来,我们相继开展的胃间质瘤“微创+”手术,术中行腹腔镜+消化内镜经口腔取出肿瘤标本。
直肠癌根治性“微创+”手术,术中经肛门取出肿瘤标本。

手术进行时
遇到疑难病例,经沟通讨论,我们还可邀请区内外知名专家教授到我院指导手术治疗,让患者在家门口就能享受到大医院的技术服务,真真切切为病人着想,切切实实让患者获利。
未来,我们将继续坚定“微创+”的思想理念,不断在微创手术领域深耕,势必将微创进行到底,使得微创更微创,旨在减轻病患的手术创伤,用更精进的技术造福地方百姓。