深静脉血栓12年后再现小腿肿痛
患者女,42岁。12年前产后出现过左下肢深静脉血栓,在当地医院接受永久性下腔静脉滤器置入术和溶栓抗凝治疗,出院时发生右下肢静脉血栓。经过数月治疗后,双侧腿部肿痛的现象消失。
1周前因扁桃体发炎卧床数天,下地活动时出现右腿疼痛,2-3天后疼痛消失,开始出现腿部肿胀,自觉右小腿不适感较明显但不影响活动。患者担心血栓复发,前来就诊。

查体见右侧小腿稍粗,腓肠肌触之柔软,无挤压疼痛,双侧小腿Homan征(-),胫前按压有轻度的凹陷性水肿, 不符合急性深静脉血栓的典型临床表现。
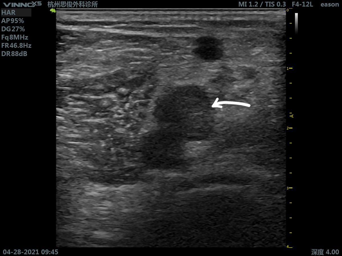
超声筛查发现患者右侧股静脉、膕静脉、腓肠肌内侧静脉内均有混合回声影填充且无法完全压闭,与之前(2019年)在当地医院超声看到陈旧性血栓的部位基本吻合。


问题来了:患者疾病不典型,是否可以诊断为深静脉血栓复发?是否要启动抗凝治疗?如果抗凝,是否有必要终身抗凝?
复发性深静脉血栓及其诊断
深静脉血栓(Deep Venous Thrombosis, DVT)有一定的复发性。对于初发DVT,UpToDate和指南上均有明确的诊疗路径及标准。然而,对于复发性DVT,由于临床数据不足,其诊断的策略往往基于医生的经验,学界尚未达成共识。
而“复发性深静脉血栓”的诊断,对患者来说有重要的意义—— 患者需要再次启动抗凝,部分人甚至需要终身抗凝,这意味着需要长期面临出血风险。相反,若是错失了诊断,患者则面临静脉血栓进展的风险。
国际血栓栓塞专家、奥地利维也纳的卡尔·兰德斯坦纳血栓形成研究所的保罗·亚历山大·凯尔(Paul Alexander Kyrle)教授于2016年在《Blood》杂志上发表了一篇名为 《我如何治疗复发性深静脉血栓》 的文献,提出一个可行的诊断策略。



当临床医生怀疑DVT复发时,首先是寻找临床症状和体征,第二步是进行双侧下肢静脉压迫超声检查(Compression Ultrasonography, CUS)。根据超声结果确认或者排除。但可能存在无法明确诊断的情况,则需要结果其他的临床指标进行诊断。
复发性DVT的诊断策略

回到病例 ,仔细辨别还可以发现:股静脉内呈高回声影,但是管腔可以被部分闭闭,而膕静脉和腓肠肌内侧静脉腔内呈低回声填充,血管扩张,管腔完全不能压闭。患者急查D-二聚体明显升高,结合其临床症状,判断其深静脉血栓复发,复发部分在膕静脉和腓肠肌内侧静脉内。
同时由于患者症状是单侧的,基本可以排除本次症状是由下腔静脉滤器相关问题导致的。
复发性深静脉血栓的治疗
抗凝药物选择
针对复发性DVT,有针对性的研究还较少。因此, 通常建议与初发DVT的治疗选择差不多:如果患者没有抗凝禁忌,应该立即启动抗凝治疗。
抗凝药物的选择包括:(1)低分子肝素(2)华法林或者(3)利伐沙班等直接口服抗凝药(DOACs)。
复发性DVT的抗凝治疗

如果患者不需要住院或者需要尽早出院,可使用DOACs,用药较方便。也可用低分子肝素桥接华法林的治疗方案。
孕妇和恶性肿瘤患者应首选治疗剂量的低分子肝素,DOACs是禁忌症。
抗凝时长
复发性DVT抗凝的时长取决于DVT再复发的风险,而复发风险的高低取决于其发病原因,分为三种情况:
(1)暂时性因素 :包括手术后、外伤后、住院和怀孕等;通常建议抗凝3-6个月。
(2)持续性因素 :较少见,包括恶性肿瘤活动期,自身免疫性疾病,炎症性肠病和基因异常等。只要出血风险没有增加的话,可以长期抗凝。
(3)无明确诱因 :有研究表明,如果患者第一次发生DVT没有找到明确诱因,停用抗凝5年后复发风险高达30%-50%, 因此,抗凝3个月以后评估患者情况,必要时建议继续抗凝。
长期抗凝对患者生活有较大的影响,需要患者做好记录,与医生保持联系。医生需要定期评估患者是否有新的血栓诱发因素出现,评估抗凝的质量和出血风险是否有变化,必要时调整方案。
回到病例, 我们对患者进行了一系列评估和检查,判断其这次血栓的复发是由于感染(扁桃体炎)后卧床引起的可能性大,排除了主要的持续性因素。给予抗凝3个月的治疗方案。
小 结
- 由于临床数据不足、相关研究较少,复发性DVT和诊断标准和治疗方案在学界尚未达成共识。
- 凯尔医生提出,对于复发性DVT的诊断,更依赖于医生的临床评估和双侧下肢静脉压迫超声检查,其他影像学检查的诊断意义较小。
- 治疗可参考初发性DVT。抗凝时长的选择取决于本次DVT发病的诱因;如果没有明确诱因,血栓再复发的风险可能较高。
参考文献
- Paul A. Kyrle. How I treat recurrent deep-vein thrombosis. Blood (2016) 127 (6): 696–702.
- Kyrle PA, Rosendaal FR, Eichinger S. Risk assessment for recurrent venous thrombosis. Lancet. 2010;376(9757):2032-2039.