随着大家健康意识的提高和单位体检项目的优化,越来越多以前不怎么听过的医学名词走进我们的视野。肺小结节就是其中之一。
01
什么是肺小结节?
首先,肺部结节并不是一个具体的疾病的名词,而是一个肺部影像学的表现。
当照完胸部CT或者X线片子,发现肺部有一个亮点或亮团(密度较高的阴影)。仅仅通过片子的提示,医生一时不能确定是个什么东西,就暂时用“结节”来描述。说白了,这个结节就是肺上长的一个稍硬的小疙瘩。
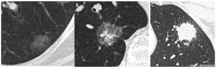
如果这个结节很小,直径在2厘米以下就称作“肺小结节”。根据这个结节实性成分的不同通常分为以下三类:
A. 纯磨玻璃样结节(GGO):这种结节在CT上的表现像磨砂玻璃一样,似透非透,跟周围正常的肺组织对比不是那么明显(图A)。说明它的密度和肺的差不太多。
B. 部分磨玻璃样结节:表现为在磨玻璃的基础上有部分的对比比较明显的实性成分或者空泡成分(图B)。介于A和C之间。
C. 实性结节:与周围肺组织对比很明显的致密均匀的实性阴影(图B)。说明这个“疙瘩”比较实在。

02
肺小结节一定是肺癌吗?
有的人体检发现肺小结节会非常恐慌,“我是不是得肺癌了?”,然后吃不下饭,睡不着觉,整天想着这事,严重影响了正常生活。其实这是完全没有必要的。
肺结节有良性和恶性之分。
良性肺结节包括炎症、结核、肿大的淋巴结、肺良性肿瘤等,这些一般很容易治愈,恶性的肺结节才是肺癌。
根据经验,临床上发现的肺小结节至少有一半是良性的。当然,我们也不应该放松警惕,因为,正常的肺部是不应该有结节的,出现结节就有肺癌的可能,而且有些良性结节在一段时间后也有恶变的可能。

03
如何能早期发现肺小结节?
因为肺结节比较小,通常没有症状,而且普通的X线胸片也很难发现肺小结节。肺小结节的发现需要低剂量螺旋CT检查,这种CT分辨率高,能看到更多细节。临床上就诊的患者肺小结节大部分是通过体检查胸部CT发现的,还有些是因为其他原因进行胸部CT检查偶然发现的。
目前,我国肺癌发病率和死亡率居高不下。
对于40岁以上的,尤其有大量吸烟,肿瘤家族史等高危因素的人,我们建议每年进行一次胸部CT的筛查以便早发现肺部结节,进而早诊断、早治疗,这对于提高肺癌的总体治疗效果非常重要。

04
恶性的肺小结节长什么样?
有些恶性肺小结节会表现出一些典型的影像学特征,比如:结节内有空泡或空洞、有支气管、血管通过、分叶、边缘有毛刺、牵拉周围胸膜等。
这是因为恶性肿瘤会“疯长”,很有侵略性,往四周扩散很快,所以出现张牙舞爪的“毛刺”,由于长得太快,肿瘤中间的细胞得不到足够的养分,就会饿死,从而出现坏死,而出现“空洞”。
但是,大部分结节单从外观很难去判断其性质,就算有上述的典型特征也只能是高度怀疑恶性,不能做出明确诊断。
说白了,照片子(影像学检查)是通过射线等手段,在不开膛破肚的前提下去判断身体内得脏器,即使再清晰,但终究是“隔皮猜瓜”,它能发现长东西了,但究竟是长了个什么东西?能通过疾病的特点和以往积累的经验给出最可能的判断,但终究不能百分之百的确定。

05
有什么方法能明确肺小结节的性质?
如果想进一步明确肺小结节的性质,那就要想办法取到病理。常用的有两种方法:
a 经皮肺穿刺:在CT或彩超引导下,用一根长针从皮肤外面刺入肺结节中,取出病变组织行病理检查。

b 纤维支气管镜:从气管或鼻腔插入一个很细的管子,从显示屏上可以看到气管内部的结构,如果能发现病变便可取到部分组织进行病理检查。

但是,因为结节很小或者位置原因,要想取到准确的病理往往很困难。
但是,即使是取到了结节的一部分,拿出来化验,发现肿瘤细胞当然可以确诊了。因为正常的人体内是不应该有成团出现的肿瘤细胞的。但如果没发现,也不能说就一定不是肿瘤!为什么?因为你取出来的只是一部分,这里面没有,不代表剩下的没取出来的没有!
那怎么样才能百分之百的确定呢?开刀把结节整个的切下来,拿到实验室一片片的切出来化验!
但是,为了个“小结节”,开胸这么大动干戈合适吗?
06
查出肺小结节应该怎么办?
越来越多的专家认为,查出肺小结节后不要急于手术,因为有很大一部分肺小结节是良性病变,就算是恶性的,其进展也很缓慢,我们有足够的时间去做出更合适的决定。尤其是一些很小的结节(小于1厘米),初次发现一般建议随诊观察。
3个月、半年、一年甚至更长时间后看结节的大小、密度等有没有变化。如果没什么变化或者变小了,说明很可能是良性病变,可继续随诊。如果变大了,或者密度出现明显不均匀,说明恶性的可能很大,最好把它处理掉。
总而言之一句话,大部分情况下,发现肺小结节,可以暂不处理,“走着瞧”!
但是,适用于所有吗?
人体是复杂的,好像没有哪个病是绝对的,阑尾炎能死人,艾滋病能自愈……
很多时候不是医生说话饶,是因为,你的身体太复杂!

07
哪些检查出肺小结节的患者需要手术?
以下情况的肺小结节建议尽快手术切除:
a.肺结节比较大,外观上有毛刺、分叶、血管征等恶性的典型特征(说明结节长得快)。
b.肺小结节通过活检病理检查诊断为恶性(都证实恶性了,不切留着干啥!)。
c.肺小结节在随访过程中出现变化,比如体积变大,实性部分增多等(越长越大,留着肯定是祸害)。
d.存在肺癌的高危因素的人,比如长期大量吸烟,肿瘤家族史等(家族史是宿命,吸烟是玩命)。
e.有的人查出肺小结节后始终无法抗拒恐慌,严重影响了正常生活,强烈要求手术的(一刀切掉的不仅是“结节”,还有无边的恐惧)。
08
肺小结节的手术方式有哪些?
肺结节的手术方式总体可分为传统开胸手术和胸腔镜微创手术。
这两种手术方式对于肺的切除范围是一样的,只是微创手术的切口小,患者痛苦小,恢复快。针对肺小结节,很多创伤更小的手术方式被广泛使用,比如单孔胸腔镜手术,肺段切除术,肺亚段切除术等。这些手术方式使患者痛苦更小,保留了更多的肺组织,手术后生活质量更高。

09
如果最后诊断是肺癌手术后的治疗效果怎么样?
肺小结节手术之后要经过常规的病理检查来明确诊断。如果诊断是肺癌,一般都是很早期的,手术治疗的效果是非常好的。据统计早期肺癌手术后的5年生存率可接近100%。甚至有些人手术后终生都不会复发。一般早期的肺癌不建议术后再化疗,只要定期随诊就可以。

10
肺小结节诊断是肺癌必须手术治疗吗?
一般人谈到手术避免不了恐惧,但是如果肺小结节通过活检诊断为肺癌,那最好的治疗方式还是根治性切除。化疗、放疗、靶向治疗都很难达到手术一样的治疗效果。因此肺小结节一旦明确是肺癌,应尽早手术治疗,除非确实因为身体状况很差,或者有其他严重疾病无法耐受手术。

总结一下
查出肺小结节,不要过度恐慌,也不要放松警惕,应该去正规医院求助于专科医生,看是否需要马上手术。对于很多确实难以鉴别的肺小结节,可遵医嘱定期复查,发现恶性苗头及时处理,治疗效果一般会非常好。