了解更多资讯,请关注医家小二微信公众号。
上皮细胞包括磷状上皮细胞和非磷状上皮细胞。非磷状上皮细胞包括尿路上皮细胞(移行上皮细胞)和肾小管上皮细胞。肾小管上皮细胞又称为小圆上皮细胞。(是不是套路很深?)
肾小管上皮细胞:肾小管上皮细胞来自肾小管,其形态与白细胞相似,胞核圆形,核膜厚,胞质中有小空泡、颗粒,颗粒分布不规则。如图1。

图1 肾小管上皮细胞
移行上皮细胞:分为表层移行上皮细胞,中层移行上皮细胞,底层移行上皮细胞。
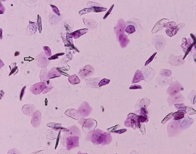
(1)表层移行上皮细胞
因胞体较大又称大圆上皮细胞,其体积、形态可随着器官的充盈和收缩状态而变化。器官充盈时,脱落细胞体积约为白细胞的4~5倍,多呈不规则圆形,胞核较小,常居中。器官收缩时,则胞体较小,约为白细胞的2~3倍,形态较圆。如图2

图2 表层移行上皮细胞
(2)中层移行上皮细胞
体积大小不一,常呈梨形、纺锤形或带尾形,胞核较大,呈圆形或椭圆形。如图3

图3 中层移行上皮细胞
(3)底层移行上皮细胞
形态圆,细胞体积较大,而胞核较小。如图4

图4底层移行上皮细胞
鳞状上皮细胞:形态扁平似鱼鳞状,不规则,多边多角。边缘常卷曲,胞核很小,呈圆形或卵圆形,有时可有2个以上小核,完全角化者核更小,甚至看不见。如图5。

图5 鳞状上皮细胞
悄悄话
尿液中出现肾小管上皮细胞见于肾小管病变,成堆出现提示肾小管有急性坏死性病变。移行上皮细胞增多提示相应部位的病变,如膀胱炎时可见大量表层移行上皮细胞,肾盂肾炎时可见大量中层移行上皮细胞。健康人尿液中可见少量鳞状上皮细胞,如大量增多并伴有白细胞增多,则提示有泌尿系统炎症,女性的阴道鳞状上皮细胞,一般无临床意义[1]。Sysmex UF4000/5000的有核通道能定量或者半定量检测到上皮细胞各种类型,且在WBC/EC1,WBC/EC2的散点图可以见到相应的细胞散点图特征,这对泌尿系统病变的定位诊断具有重要的意义。
参考资料
[1] 刘成玉.罗春丽.临床检验基础第5版,2015,173-174.
来源:学术三区,文章仅做分享,如有侵权请联系我们。