基本资料:
患者女,43 岁。2014 年10 月中旬因腹部胀痛就诊,CA125 为566.2 U/ ml,CA199>1 000 U/ ml。超声提示盆腔肿物,CT 示双附件区、盆腔内多发软组织结节及肿块,腹膜腔广泛种植转移,腹盆腔大量积液。行腹腔穿刺术,腹水病理考虑恶性肿瘤。放腹水后,给予顺铂100 mg 腹腔灌注化疗。
2014 年11 月进行肿瘤细胞减灭术,术中见左卵巢肿物8 cm×7 cm×5 cm,实性,无包膜,部分粘连在阔韧带后叶及乙状结肠表面,膀胱腹膜反折、左侧盆腔腹膜、大网膜、横膈腹膜、肝肾隐窝、乙状结肠浆膜、小肠系膜及降结肠沟腹膜均可见大小不一病灶,减灭术后肉眼残留病灶<1 cm,位于横膈和肝肾隐窝。
术后病理显示, 左卵巢透明细胞癌( clear cell ovarian carcinoma,CCOC),肿物大小约5.3 cm×1.3 cm,输卵管未见癌侵犯,右卵巢及输卵管未见肿瘤侵犯。子宫壁可见侵犯,术后CA125 为50.1 U/ ml。
免疫组化显示,CK(+),CK7(+),CK20(-),p53(+),Ki⁃67(70%+),CA125(+),甲胎蛋白(-),肝细胞(局灶+),磷脂酰肌醇蛋白聚糖⁃3(-),CD10(-),波形蛋白(-)。
术后诊断:
左CCOC(Ⅲc 期)。
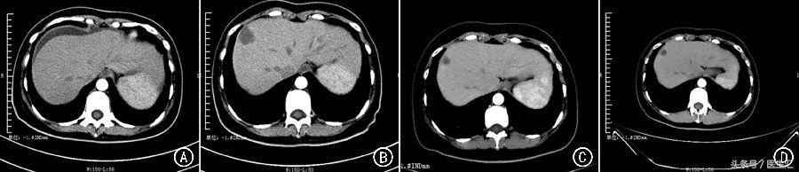
术后妇科超声和腹盆腔CT 显示盆腔积液征象,未见明确占位性病变(图1A)。2014 年11 月19 日至12 月12 日行TC 方案(紫杉醇175 mg/ m2 和卡铂AUC5,静脉滴注) 化疗2 个周期。
2015 年1 月7 日CT 显示肝内新发多发低密度灶,阴道残端区域软组织影,诊断为CCOC术后复发、肝多发转移和腹膜转移,考虑为难治性卵巢癌,CA125 和CA199 分别为58.4 U/ ml和992. 75 U/ ml, 根据实体瘤疗效评价标准( ResponseEvaluation Criteria in Solid Tumors, RECIST ) 1.1 版评价疗效为疾病进展(progressive disease, PD;图1B), 无进展生存时间(progression⁃free survival,PFS)为1.5 个月。
UGT1A1 基因检测提示患者未携带UGT1A1∗6 和UGT1A1∗28,2015 年1 月9 日至4 月22 日期间治疗方案调整为伊立替康+贝伐珠单抗治疗5 个周期,治疗后CA125 和CA199 分别为66 U/ ml和1 954.5 U/ ml,虽然CA199 值明显升高,但疗效评价为疾病稳定(stable disease, SD)。
由于患者不同意继续治疗,治疗中止而导致PD,CA125 和CA199 分别为137.6 U/ ml 和3 688.85 U/ ml。于2015 年8 月11 日至2016 年1 月6 日继续行第6~ 11 个周期伊立替康+贝伐珠单抗治疗,治疗后CA125 和CA199 分别为15.4 U/ ml 和124.18 U/ ml,疗效评价为部分缓解(图1C)。
建议患者继续使用贝伐珠单抗维持治疗,但因患者不接受而停药。2015 年12 月4 日,患者行390个肿瘤基因pannel 高通量测序,结果显示,PIK3R1 基因突变(T471Ifs∗12)。患者于2016 年2 月16 日开始采用依维莫司靶向维持治疗至今,不良反应主要为口腔黏膜炎、四肢水肿、发热和咳嗽等1~2 级不良反应。
依维莫司治疗2 个月及5 个月后复查盆腔CT,疗效评价为SD(图1D),CA125 和CA199 分别为18 U/ ml 和162 U/ ml。

图1 卵巢透明细胞癌患者的治疗情况 A: 术后腹部CT 显示,腹盆腔积液征象,未见明确占位性表现; B: TC 方案化疗2 个周期后,新发肝脏多发转移及腹膜转移; C: 给予贝伐珠单抗+伊立替康11 个周期后,肝脏、腹膜等多处病灶较前明显缩小; D: 口服依维莫司维持治疗5 个月后,肝脏及腹膜等多处病灶基本稳定
讨论
CCOC 占卵巢上皮性细胞癌(epithelial ovariancarcinoma, EOC)的3.7%~12.1%,对化疗药物尤其是铂类疗效差[1⁃3]。
卵巢癌对于铂类耐药的机制尚未完全阐明。最近的研究显示,RAD3 相关蛋白可逆转卵巢癌对顺铂的耐药[4]。
Friedlander 等[5] 通过二代测序检测521 例CCOC 患者的基因型,发现PIK3CA/ Akt/ mTOR 通路改变高达61%,在422 例纯CCOC 中PIK3CA 突变比例最高(占50%),其次为TP53 突变(18. 1%)、KRAS 突变(12. 4%) 和cMET 突变(1.9%)。本例CCOC 患者通过390 个肿瘤基因pannel 高通量测序,发现存在PIK3R1 突变。
PIK3R1 基因编码PI3K 的p85α 调控亚基和剪切异体p55α 和p50α,p85 蛋白可以与受体的磷酸化酪氨酸结合,p85 蛋白被受体招募后,可解除其对p110 蛋白的抑制作用。TCGA 数据库显示,在卵巢癌中,PIK3R1 基因变异的比例不足1%,T471Ifs ∗ 12 变异使PIK3R1 基因第471位编码子苏氨酸变为异亮氨酸,且在新阅读框第12 位编码子提前中止编码。
预测分析表明,该变异可引起无义介导的mRNA 降解,导致蛋白表达缺失。PIK3R1 缺失突变后可以激活p110β 和p110δ,从而激活PI3K 和MAPK 信号通路。目前还没有美国食品药品管理局(Food and Drug Administration,FDA)批准的用于PIK3R1 缺失的药物。体外细胞实验结果显示,抑制PIK3R1 基因可以增加乳腺癌细胞系对mTOR *制剂抑**雷帕霉素的敏感性[6] 。
抑制mTOR 也是卵巢癌治疗的潜在靶点。最近的研究显示,通过内质网应激途径调节mTOR 可导致卵巢癌对顺铂的敏感性下降[7] 。而mTOR *制剂抑**依维莫司和坦西莫司已经被FDA批准用于肾细胞癌、胰腺神经内分泌瘤和乳腺癌等多种肿瘤的治疗,此外,依维莫司用于PIK3R1 突变的实体瘤患者的治疗已经进入临床试验(NCT02029001)。
本例患者经依维莫司治疗后,PFS 长达7 个月,多次疗效评价为SD,总生存时间超过22 个月,疗效理想。综上所述,PIK3R1 可能是CCOC患者的驱动基因之一,对于具有该类基因突变的患者,以此作为治疗靶点可能达到较理想的疗效,但需要在细胞和动物水平乃至临床试验中进一步验证。