
沈慧君,战略支援部队特*医色**学中心(原306医院),医学影像科
医研部医学科普中心 编辑
好多人都曾经出现过腰酸背痛的情况,想着忍忍就过去了,有的人实在疼得无法忍受了,到医院检查,竟是胰腺炎,这是怎么回事呢?腰背痛怎么还成了胰腺炎了呢?
原来在发病之前有暴饮暴食,之后发生腹部剧痛,以左侧为著,放射至背部,弯腰或身体前倾疼痛减轻,平躺则加重,随之而来的就是恶心、呕吐以及持续性的发热。
急性胰腺炎相当凶险,如不及时诊治,很可能会丧失生命!
当然了,胰腺炎不仅仅是因为餐饮暴食引起,还有可能是胆道疾病、感染、外伤等致病因素所致。在这些因素下,胰腺自身消化的防卫作用被削弱,加之胰腺细胞受损,释放出溶酶体水解酶,此后一系列酶被激活,最后变成具有细胞毒性的溶血卵磷脂,从而引起胰腺坏死;另外消化酶与坏死组织液又可通过血液循环及淋巴管途径输送到全身,引起全身脏器损害,产生多种并发症和致死原因。

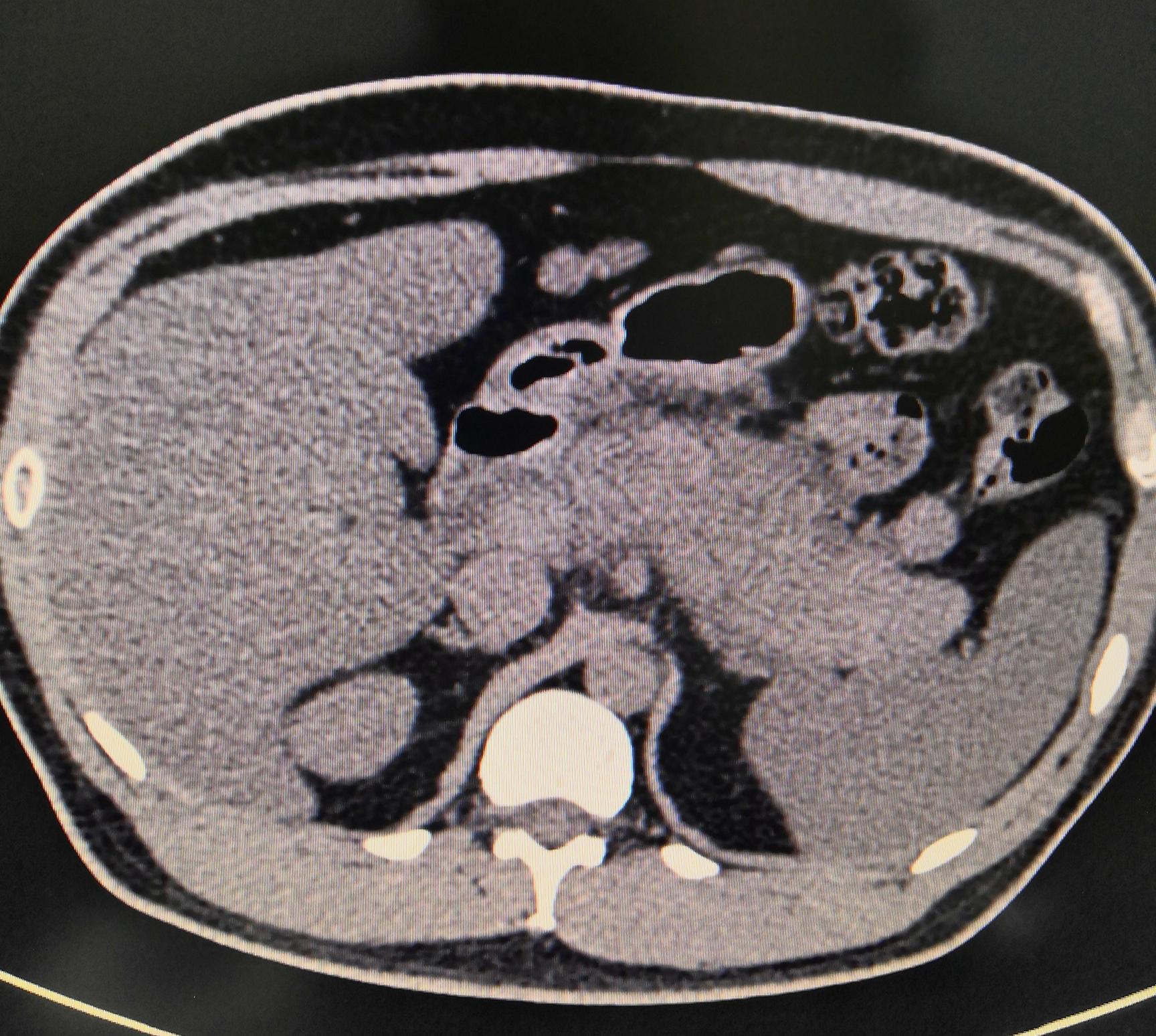
这样的患者来到医院一般都会做血化验及CT检查。血化验的一些指标具有诊断及判断预后的价值,其中血清淀粉酶和脂肪酶,如果超出正常值的3倍具有诊断价值,血清淀粉酶在发病后6~12小时开始升高,48小时后开始下降,持续3~5天;脂肪酶24~48小时开始升高,可持续1~2周,这两项化验的高低程度与病情严重程度并不成正相关;C反应蛋白发病72小时后>150 mg/L提示胰腺坏死可能,血钙降低低于1.5 mmol/L则提示预后不良。

CT检查可以明确观察胰腺是否有肿胀、密度高低情况、是否伴有假性囊肿、胰腺周围脂肪间隙情况以及肾前筋膜是否增厚,从而判断炎症发生的位置、渗出情况、炎症的类型以及辅助判断病因等,同时,还可以指导临床分级,为后续医生治疗方案的确定提供可靠的前提基础。至于该怎么治疗,只能因人而异,因病情而异,最终还是要听临床医生的了。反正身体不舒服别硬抗,应及时到医院检查,否则小病变大病神医也难妙手回春!