
作者:吴志林、吴鉴洲、黄金培
单位:广东省云浮市人民医院
病例详情
患者,女,54岁,因“突发意识障碍8小时”入院。
既往史:既往 “冠心病 心律失常”病史,长期无规律服药治疗。
查体:BP113/57mmHg,心律齐,神志嗜睡状,言语欠流利,四肢肌力5级,肌张力正常。NIHSS评分3分。
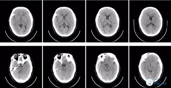
入院时急查头颅CT示:颅脑未见明显异常。ASPECT评分10分。
入院时急诊头颅CT:

图1
入院急查全脑血管造影术:可见基底动脉高密度征。

图2

图3

图4

图5
可见基底动脉尖端部血栓,呈次全闭塞状态,前向血流Mtici 2*级A**,无明显前循环向后循环代偿。
术前思考
一、患者目前NIHSS评分低,对于手术医生有挑战,究竟应不应该行血管内治疗。
1.病人情况分析:病人症状,就诊时间,NIHSS评分,ASCPECT评分,血管造影闭塞血管位置,血栓所处位置,及代偿情况。
2.麻醉方案选择:局麻下血管内取栓治疗方便术中、术后观察。
二、路径评估:
1. 左侧椎动脉为优势椎动脉,始段稍迂曲,路径尚可。
2. 取栓把血管形态评估:双侧大脑后动脉直径较粗,迂曲程度尚可
三、病因推测:
栓子评估:心愿性栓子可能性大,血栓硬度可能较大,血栓负荷量较大,且容易往远端及对侧大脑后动脉逃逸,注意保护边支及做好双支架取栓预案。
治疗过程简述
有股动脉穿刺置入6F 70cm血管长鞘至V2段,全身肝素化,置入5F 130cm NV导管至V4段,synchro导丝引导select plus 微导管通过血栓段至左侧大脑后动脉P2段,微导管造影确认真腔后,跨越闭塞段释放solitareAB 6-30取栓支架,等待5分钟,中间导管在支架锚定下引导至基底动脉尖端部,保持负压抽吸,先超选到左侧大脑后动脉P1段进行取栓。

图6
对左侧大脑后动脉取栓后后复查造影提示:左侧大脑后动脉恢复前向血流mTICI3级;右侧大脑后动脉P1远端未见显影。与左侧进行相同操作;synchro导丝引导select plus 微导管通过血栓段至右侧大脑后动脉P2段,微导管造影确认真腔后,跨越闭塞段释放solitareAB 6-30取栓支架,等待5分钟,中间导管在支架锚定下引导至基底动脉尖端部,保持负压抽吸,先超选到右侧大脑后动脉P1段进行取栓。

图7
取栓后复查造影提示:基底动脉级双侧大脑后动脉前向血流mTICI 3级,血管腔内未见血栓级狭窄影像,左侧椎动脉通道未见明显痉挛、夹层等影像。

图8
分别两次取栓取出的血栓

图9
术后对患者神志、指令、进行言语,肌力检查:神志清,指令清楚,术后患者四肢肌力恢复4+级,言语稍欠清。

图10
术后即刻头颅CT:可见少量造影剂渗出,排除术后出血。

图11
术后监测
术后:监测患者神志、生命体征,瞳孔,控制血压于正常范围,予低分子肝素联合氯吡格雷75mg口服。
术后第二天: NIHSS评分0分,只觉轻度头晕症状。

图12
术后8小时头颅CT:

图13
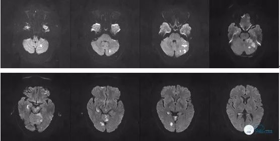
术后头颅MR DWI序列:

图14

图15
术后第5天出院,出院时NIHSS评分0分,生命体征平稳。

图16
术后思考
手术风险评估:要回归到病因角度来看待:这个病例大血管闭塞,症状轻,评分低,依照心脏彩超,考虑心源性栓塞机会大,该不该立刻行血管内治疗?
1,狭窄闭塞有较好代偿,但总体还是远端低灌注是一种情况,应该开通增加前向血流,争取早做早获益。
2,狭窄闭塞代偿良好,闭塞远端没有低灌注情况,穿支病变引发症状,做了估计改善不明显甚至加重。
3,栓塞造成闭塞或次全闭塞,或者栓子所在部位特殊性:位于基底动脉尖端,这种情况要考虑积极些处理,栓子移动或者血流缓慢局部继发血栓形成,最后会造成临床上常见的卒中进展情况。
手术失败可能的原因:1.开通不成功;2.栓子逃逸;3.术中术后出血;4.手术过程中脑干功能衰退。这样会造成和术前极大的反差,搞不好又是一单纠纷或者是医闹。患者、家属充分信任理解,医生才肯为之而冒险,获取最大临床疗效。
4. 最后的结论还是:因病司治疗,治疗需要个体化。
