
疑似细菌性肺炎引起的脓毒性肺栓塞在临床上非常少见,让我们跟随一个病例,一起来了解一下吧。
一般情况及检查
一位既往已被诊断为COPD的58岁的男性患者,由于咳嗽、咳痰、呼吸困难加重而被诊断为COPD急性加重收入院,既往除有胆囊切除术之外,无其他异常。既往每年约35包烟,但近4年已停止吸烟。
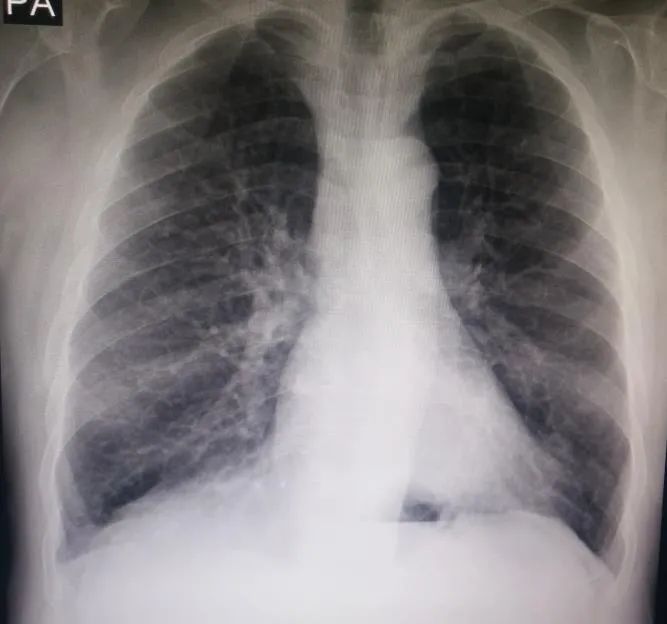
查体:体温38.5℃;心率94次/分,呼吸20次/分,血压110/60 mmHg。C反应蛋白(CRP):31mg/dL(正常值0-5mg/dL),白细胞8600/mm²,血沉10mm/h,胸片无异常(图1)。入院4天后出现失代偿性呼吸性酸中毒,无创机械通气治疗无效后转入重症监护室。

图1 入院时胸片
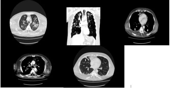
ICU内检查发现:CRP:137mg/dL,白细胞33400/mm²,中性粒细胞32% 。因此由头孢曲松转为使用美罗培南联合利奈唑胺进行治疗,次日行胸部CT检查可见周围及部分空洞结节、浸润、纵隔淋巴结肿大(最大直径1 cm)、双侧胸腔积液及供血血管征(图3)。由于胸腔积液很少,所以没有进行胸腔穿刺术。

图2 ICU胸片

图3 CT检查发现空洞结节、浸润、供血血管征、双侧胸腔积液、纵膈淋巴结肿大。
用韦格纳肉芽肿菌免疫标志物、ARB和分支杆菌培养对肺结核进行鉴别诊断后,怀疑为脓毒性肺栓塞。血沉和类风湿因子水平分别为140 mm/h和8.4IU/mL(范围0~30IU/mL),ANA、Canca、p-ANCA、PR3-ANCA检测均为阴性。经胸超声心动图检查未发现感染性心内膜炎。血、尿培养均为阴性。气管吸出物培养未见Hyphe,真菌培养阴性。患者在重症监护病房入院的第14天出院。并在出院后第4天,气管吸出物培养发现鲍曼不动杆菌。用VITEK-2系统对培养物进行检测后发现,其对指南中列出的所有抗生素都有耐药性。
最终诊断为脓毒性肺栓塞合并不动杆菌肺炎。
讨论
脓毒性肺栓塞是一种感染性肺部疾病,可导致肺动脉栓塞急死和双侧肺实质多发结节和/或空洞,一般继发于口咽部感染、感染性心内膜炎、中心静脉导管感染、起搏器感染、肝脓肿、扁桃体周围脓肿(莱米埃综合征)、骨髓炎、乳突炎、血液透析患者的动静脉分流、皮肤软组织感染和静脉用药,脓毒性肺栓塞患者随疾病进展可出现脓毒症发热、呼吸困难、咳嗽、胸膜胸痛、呼吸窘迫和咯血等症状。
在胸片中,可能不会发现明显的异常,更建议使用CT进行检查。常见胸部CT表现为周围结节、空洞和供血血管征,严重时可出现肺门或纵隔淋巴结肿大。本例胸部CT表现为部分空洞性结节、纵隔淋巴结肿大(最大直径1 cm)、浸润和双侧胸腔积液。
鉴别诊断应考虑肺结核、真菌和革兰氏阴性菌感染、寄生虫感染(包虫病)、转移瘤、淋巴瘤、肺部良恶性肿瘤、类风湿性关节炎、韦格纳肉芽肿、丘格-施特劳斯综合征和结节病。感染性肺栓塞患者应行超声心动图检查,可能发现三尖瓣处有赘生物、瓣膜返流和瓣周脓肿。经食道超声心动图是一种比经胸超声心动图更好的诊断技术,可以成像小的赘生物。但本病例的超声心动图未见与心内膜炎相似的病理图像。
有报道称11%的脓毒性肺栓塞患者源于感染性心内膜炎,而在这些大多是潜在的血源性恶性肿瘤(如淋巴瘤和白血病)的患者中,真菌栓塞率高于细菌栓塞率。血培养中常检出感染性病原体常为金黄色葡萄球菌、肺炎克雷伯菌和绿色链球菌。G+脓毒性栓塞的结节一般比G-脓毒性栓塞的结节大。G+栓塞更常见空洞和空气支气管征,而G-栓塞组更常见的是结节周围有磨玻璃影和供血血管征。我们的病例既有空洞性结节,又有供血血管征。
鲍曼不动杆菌是一种革兰氏阴性杆菌,是医院获得性肺炎的一种重要病原体,在这个病例中,由医院获得性的不动杆菌肺炎引起的菌血症可能是脓毒性肺栓塞的发生原因,血培养阴性猜测为技术和实验室环境造成的。综上所述,脓毒症肺栓塞的病因也应考虑肺炎,对于这种病死率较高的疾病,应尽早给予广谱抗生素治疗。
医脉通编译自:
Septic Pulmonary Embolism Associated with Acinetobacter Pneumonia.Respir Case Rep. 2020; 9(3): 112-116.