#非常病例##健康2021##健康守护神#81岁老年患者,5年行胆囊切除术,半年前行左侧腹股沟斜疝修补术,近期因肺炎、冠心病入院治疗,状态差,一周前行气管切开术、食管置管术,1天前突发恶心、呕吐,均为胃内容物,行腹部CT检查如下图。




三个疑问:
1、肝脏左叶气体密度影,是肝内胆管积气还是门静脉积气?
2、小肠扩张积液、积气,需要考虑什么疾病?病因是什么?
3、结肠管壁密度增高,需要考虑什么疾病?
分析过程:
1、病史分析,老年患者,身体状态差,突发恶心呕吐,需要警惕消化道类疾病,高度警惕肿瘤等恶性病变。
2、影像分析,
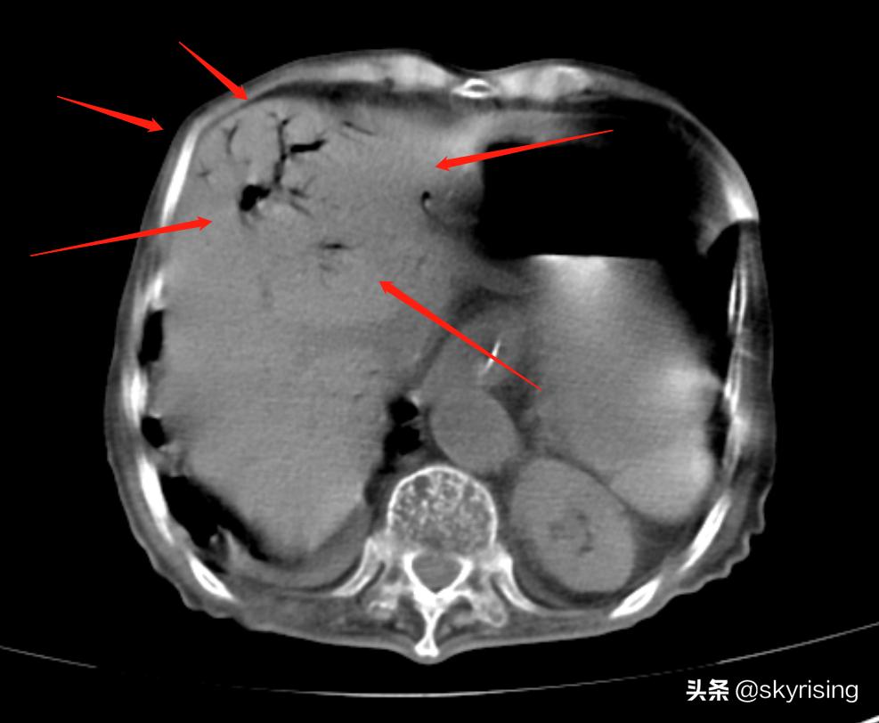
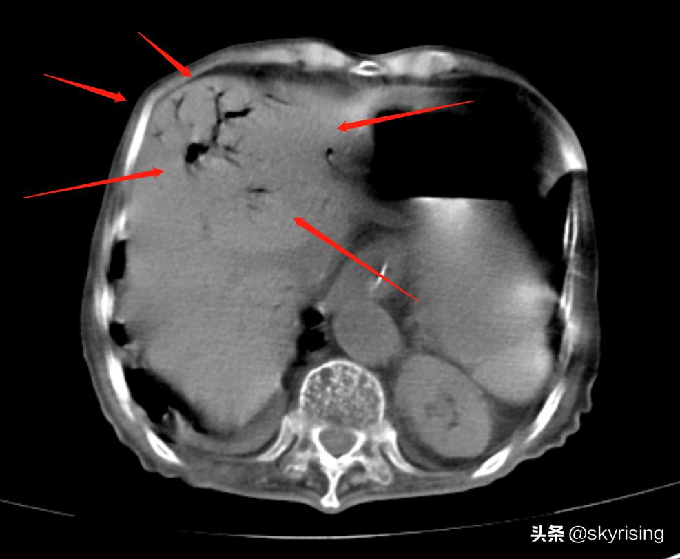
影像表现:CT平扫,红色箭头所示肝左叶见树枝状气体密度影。如果是肝内胆管积气,多半伴有肝内胆管结石或新鲜术后痕迹,且不会到达肝脏边缘。如果是门静脉积气,是伴行血管,形似树枝状,表现符合。考虑门静脉积气可能。

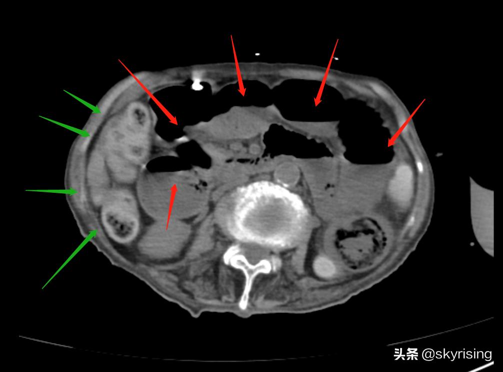
下图红色箭头所示小肠肠管明显扩张、积气、积液,可见梯田状液气平面。这是典型肠梗阻影像表现。
同时可见升结肠肠管管壁环形增厚,密度增高,CT值约85-90Hu,肠管未见扩张。需要警惕,正常结肠管壁密度约50左右,本例如此之高,符合出血,需要警惕血肿可能。

下图绿色箭头所示为主要为横结肠肠管,管壁增厚,密度增高,肠管未见扩张、积气、积液。考虑出血可能。那么还需要考虑的是动脉还是静脉原因引起的出血,如果是动脉栓塞,供血不足肠管管壁增厚、密度减低,中心见层状水肿密度影。静脉栓塞可以是出血性表现,密度增高,血肿外溢等。

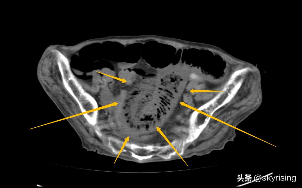
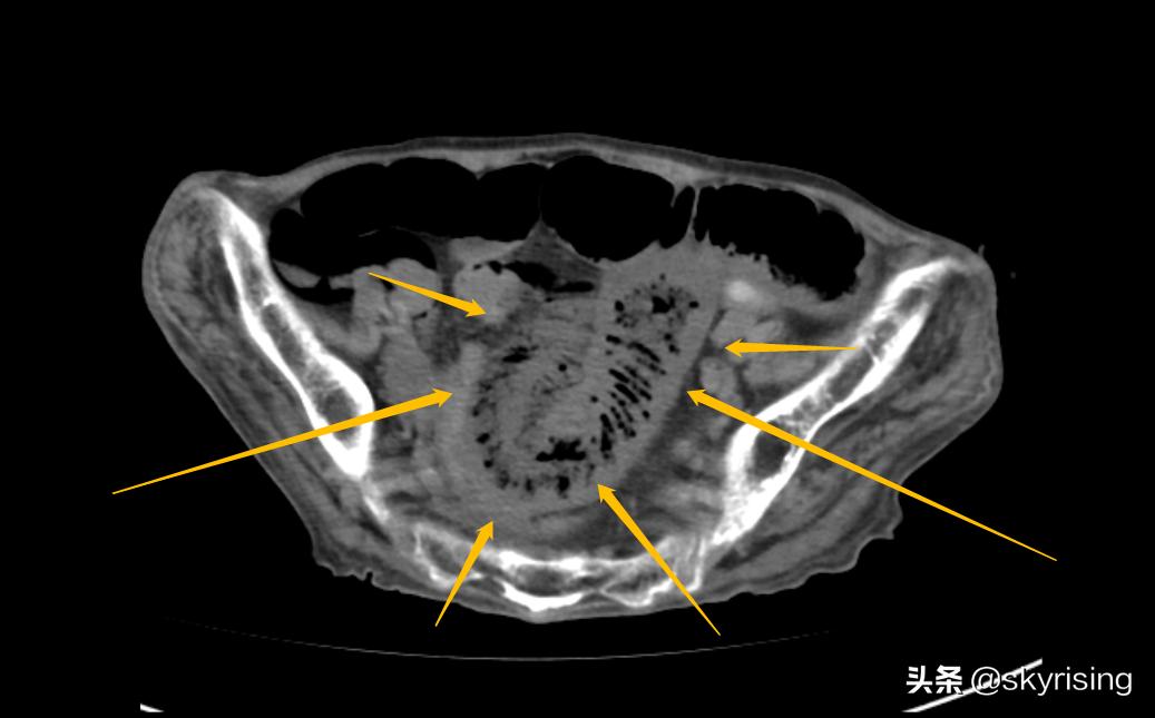
下图黄色箭头所示小肠回肠肠襻呈U型改变,肠管扩张,肠壁增厚,肠壁间见垂直线性气体密度影。这是典型肠系膜血管栓塞的典型表现,可能是动脉也可能是静脉,需要结合增强检查。

以上CT表现,小肠空肠走行区扩张、积液、积气、多个气液平面形成,符合肠梗阻典型表现;肝脏树枝状气体及小肠肠壁间气体密度影,需要警惕肠系膜血管栓塞可能,动脉及静脉栓塞均可能;结肠走行区管壁增厚、密度增高,符合出血表现,提示静脉栓塞可能性远大于动脉栓塞。
3、汇总分析:老年患者,病史复杂,基础状态差,胆囊切除术后、斜疝修补术后、气管切开术后,CT平扫小肠肠管积液、积气、扩张、多个气液平面,符合肠梗阻典型表现,至于原因,术后肠管黏连可能性大,需要警惕肿瘤性并病变可能。肝脏积气及小肠肠壁间积气,考虑门静脉积气并小肠肠壁间积气,符合肠系膜血管栓塞表现;结肠走行区管壁增厚、密度增高,提示出血性梗死可能,需要考虑静脉性梗死,以肠系膜上静脉梗死可能性大。
4、影像结论:肠梗阻,门静脉积气、小肠肠壁间积气、结肠密度改变、考虑出血性梗死可能,建议CT增强检查。
5、小结。本例老年患者,基础状态差,因术后肠管黏连致肠梗阻,同时伴有凝血功能差,处于低凝状态,形成肠系膜上静脉血栓,产生门静脉积气、小肠肠壁间积气、导致结肠出血性梗死。
肠梗阻
任何原因引起的肠内容物通过障碍统称肠梗阻。常见的外科急腹症之一。急性肠梗阻诊断困难,病情发展快,常致患者死亡。
1.按病因分类
(1)机械性肠梗阻 临床上最常见,是由于肠内、肠壁和肠外各种不同机械性因素引起的肠内容通过障碍。
(2)动力性肠梗阻
(3)血运性肠梗阻 。
2.按肠壁血循环分类
(1)单纯性肠梗阻 。
(2)绞窄性肠梗阻 。
3.按肠梗阻程度分类
可分为完全性和不完全性或部分性肠梗阻。
4.按梗阻部位分类
可分为高位小肠梗阻、低位小肠梗阻和结肠梗阻。
5.按发病轻重缓急分类
可分为急性肠梗阻和慢性肠梗阻。
6.闭襻型肠梗阻
是指一段肠襻两端均受压且不通畅者,此种类型的肠梗阻最容易发生肠壁坏死和穿孔。
临床表现:
1.粘连性肠梗阻
(1)以往有慢性梗阻症状和多次反复急性发作的病史。
(2)多数病人有腹腔手术、创伤、出血、异物或炎性疾病史。
(3)临床症状为阵发性腹痛,伴恶心、呕吐、腹胀及停止排气排便等。
2.绞窄性肠梗阻
(1)腹痛为持续性剧烈腹痛,频繁阵发性加剧,无完全休止间歇,呕吐不能使腹痛腹胀缓解。
(2)呕吐出现早而且较频繁。
(3)早期即出现全身性变化,如脉率增快,体温升高,白细胞计数增高,或早期即有休克倾向。
(4)腹胀:低位小肠梗阻腹胀明显,闭襻性小肠梗阻呈不对称腹胀,可触及孤立胀大肠襻,不排气排便。
(5)连续观察:可发现体温升高,脉搏加快,血压下降,意识障碍等感染性休克表现,肠鸣音从亢进转为减弱。
(6)明显的腹膜刺激征。
(7)呕吐物为血性或肛门排出血性液体。
(8)腹腔穿刺为血性液体。
治疗方法:
1.粘连性肠梗阻
(1)非手术疗法 对于单纯性、不完全性肠梗阻,特别是广泛粘连者,一般选用非手术治疗;对于单纯性肠梗阻可观察24~48小时,对于绞窄性肠梗阻应尽早进行手术治疗,一般观察不宜超过4~6小时。
基础疗法包括禁食及胃肠减压,纠正水、电解质紊乱及酸碱平衡失调,防治感染及毒血症。
(2)手术疗法 粘连性肠梗阻经非手术治疗病情不见好转或病情加重;或怀疑为绞窄性肠梗阻,特别是闭襻性肠梗阻;或粘连性肠梗阻反复频繁发作,严重影响病人生活质量时,均应考虑手术治疗。①粘连带或小片粘连行简单切断分离。②小范围局限紧密粘连成团的肠襻无法分离,或肠管已坏死者,可行肠切除吻合术,如肠管水肿明显,一期吻合困难,或病人术中情况欠佳,可先行造瘘术。③如病人情况极差,或术中血压难以维持,可先行肠外置术。④肠襻紧密粘连又不能切除和分离者,可行梗阻部位远、近端肠管侧侧吻合术。⑤广泛粘连而反复引起肠梗阻者可行肠排列术。
2.绞窄性肠梗阻
(1)绞窄性小肠梗阻,一经诊断应立即手术治疗,术中根据绞窄原因决定手术方法。
(2)如病人情况极严重,肠管已坏死,而术中血压不能维持,可行肠外置术方法,待病情好转再行二期吻合术。
(以上部分内容来自百度百科)