
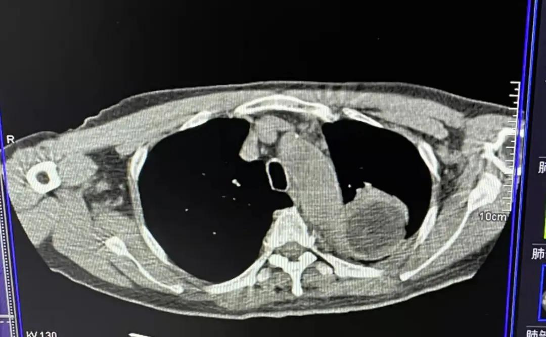
4月7日,重庆大学附属肿瘤医院中医肿瘤治疗中心顺利完成与北京中医药大学东方医院合作的国家重点研发计划项目——Ⅲb/Ⅳ非小细胞肺癌(NSCLC)绿色治疗方案的多中心随机对照临床研究第二例患者。该患者62岁,肺癌ⅥA期,经过冷冻消融技术治疗后冰球全部覆盖肿瘤,并且肿瘤已经出现局部坏死现象,治疗取得阶段性进展。


Ⅲb/Ⅳ期非小细胞肺癌目前仍以化疗为主要治疗方式,北京中医药大学东方医院胡凯文教授团队首次提出肿瘤绿色治疗模式,肿瘤绿色治疗是包括肿瘤微创消融手术、中医药、免疫治疗、低剂量放化疗等一切符合“低损伤、可持续”原则的治疗方法。尤其适合于老年、晚期等不适合放化疗或不愿行放化疗的患者。
2020年11月,重庆大学附属肿瘤医院中医肿瘤治疗中心正式启动该项研究,目前正在进行患者招募。年龄大于18周岁、肺内病灶大于2cm的IIIb期到IV期非小细胞癌肺癌患者可前来咨询。

中医肿瘤治疗中心创建于20世纪60年代,是国家区域中医(肿瘤)诊疗中心、国家中医药管理局“十二五”重点肿瘤专科、全国综合医院中医药示范单位、重庆市中医肿瘤重点学科、重庆中医肿瘤临床康复基地、重庆市中医肿瘤特色专科。中心在肺癌、大肠癌、鼻咽癌、乳腺癌、肝癌以及其他恶性肿瘤的中西医结合治疗与康复,累积了丰富的临床经验,获得较好疗效,处于西部领先水平。临床受益的肿瘤患者多达22.9万人次,病员遍及全国各地乃至欧美、日、法等发达国家。
#清风计划#