前段时间有位来自广西的肺磨玻璃结节患者家属在网上向我咨询,说自己的姐姐体检时发现右肺上叶有一0.9厘米的纯磨玻璃结节,问我处理意见。
我看了患者的CT片,说考虑至少微浸润腺癌,但同样建议他们必须先随访3个月再说。没想到才过了一天,患者家属又找到了我,焦虑万分地问如果真的是肺癌,为什么不早点把它切掉?让观察几个月,岂不是白白浪费时间?并向我表达了十分强烈的手术愿望。
因为部分结节首次发现,坚持消炎随访是可以消失的,这位患者是初次发现磨玻璃结节,所以没必要早花钱挨一刀。而且肺磨玻璃结节即使是肺癌,发展也很缓慢,随访几个月不碍事。在这里也告诉大家,初次发现肺磨玻璃结节,千万不要过度恐慌,相信是可以根治的。
以下转自几则患者家属的咨询:
2021.3.31才去瘤,又逢节——肺部磨玻璃结节,心头可怕的梦魇
姐姐半夜睡醒,偶然触摸到腹部有肿块,慌了,打电话给我!
次日一早我立即带她到医院住院检查,其中做了胸部ct检查。几天后,结果出来了, 多发大型子宫肌瘤,体积相当于怀孕四个月,考虑是良性 ,但最终结果要以切除后病理为准!稍稍松了口气,但是担心仍然存在,毕竟那么大那么多的子宫肌瘤不多见!
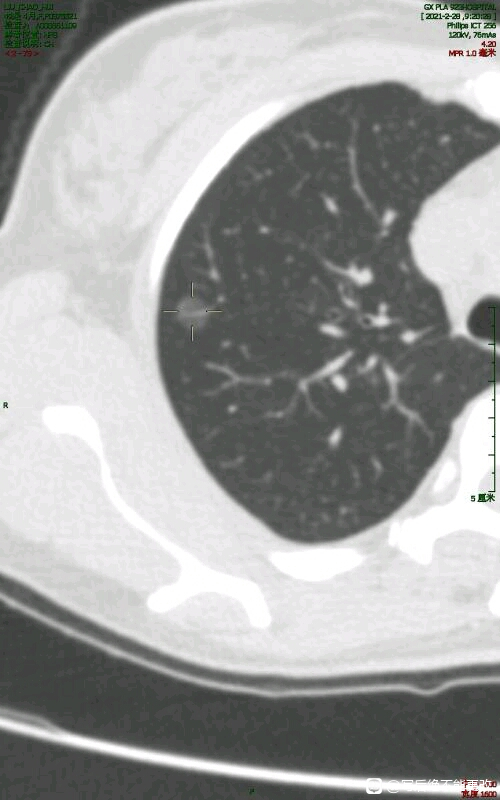
意外的是在ct检查中发现 右肺上叶纯磨玻璃结节0.9厘米 ,妇科住院部请胸外科会诊。由于胸外科很忙,会诊医生迟迟未能过来,我就挂门诊号带着片子看门诊。本想自己去的,但姐姐好像预感到什么,非要同去。门诊医生看了后说可能炎症,最坏结果为原位癌,还可观察三个月,届时再考虑手术,术前还要做个针刺定位。
既然肺磨玻璃结节要观察三个月,那就先做子宫切除手术!
术后恢复期间,我和姐姐就在网络上了解关于肺部磨玻璃结节的相关信息,越看就越怕。于是我带上片子,到医科大肿瘤医院访医,连看几个医生,有说考虑微浸润腺癌的,将来如动手术会切除约20%的肺叶,有说和动脉血管重叠看不清楚要重拍ct的,两院说法不一,我和姐姐心里都很恐惧、迷茫、无助!但所有医生共同之处就是让我们三个月后拍ct复查!
我继续在网络上了解关于磨玻璃结节的相关信息,偶然看到戴主任的文章,觉得内容细节具体详实,科学易懂!而在通过戴主任诊病过程及思路的描述,又看得出戴主任经验极其丰富,严谨细致,责任心强,同时了解到戴主任每天都在网上义诊,顿时感到有了出路。于是就把胶片图像用手机拍下发了上来,没想到戴主任次日就回复了,可惜手机图片看不清楚!
于是在热心磨友指点下,我回到医院,前后跑了五次,终于把电子版给*载下**了下来,现在发上来,恳请戴主任百忙之余帮忙看看,帮我降魇除磨!
我的回复:
初次发现磨玻璃结节至少三个月复查薄层ct,排除炎症后再精准诊断。随访结节不消失即手术,考虑微浸润腺癌,楔形切除或段切即可,别切20%。
2021.4.1心里已经做了最坏的打算,但求虚惊一场
上次咨询发出没多久,戴主任就神速回复了,但是并不是好消息!
戴主任的结论是,至少微浸润腺癌,也就是可能是浸润性腺癌!如果是浸润性腺癌,情况就有些复杂了,因为我在网络上了解到,浸润性腺癌的复发率不低,而且一复发就是晚期。
心里很着急,请教戴主任,既然已经考虑至少微浸润腺癌,那是否可以不用等到首次发现三个月随访,未消失然后再做手术?是否可以提前做手术?如果是浸润性腺癌的话,是否越早治疗越有利?如果是浸润性腺癌,怎样在切除后把转移灶一网打尽杜绝复发?能否精准放疗?如果我想去重庆新桥做手术又抢不到号,戴主任能否帮忙加个号?心煎如沸,心乱如麻!一切唯有指望戴主任了!
我的回复:
初次发现,随访不耽误的。
2021.5.24门诊室里纠结的姐姐,贴心的戴主任
几个月来的迷茫与担忧,今天终于揭开了谜底!
“ 不严重,原位腺癌与微浸润腺癌之间,手术现在可做可不做 ”。听着戴主任这句宛如天庭仙乐般的话语,看着那副有些憔悴却如救世主般的容颜,姐姐心中五味杂陈,百感交集,禁不住低声抽咽起来!
在姐姐的抽噎声中,我清楚地听出了尘埃落定,听出了压力释放,也听出了由衷地喜悦!戴主任接着又提了一个最大限度为姐姐着想的建议:虽然已经观察了三个月,但还可再观察半年,结节不消失再手术。这个提议却让姐姐陷入了纠结当中。手术做还是不做?做吧,有可能误杀良民,费钱伤身;不做吧,又可能承受不了心理压力,最终还是躲不过那一刀。
纠结的姐姐先是请戴主任开了住院证准备入院手术,出了戴主任诊室后又折回去取消住院,最终又决定还是住院手术,前后反复了好几次!而戴主任每次都能不厌其烦地和气对待,耐心地帮姐姐办理。我和姐姐心里又是惭愧,又是感激,更是庆幸!致敬戴主任!
无比贴心的主任,磨友的定海神针!
我的回复:
不可能是良性的结节,微浸润腺癌的可能性更大。手术就手术吧,不纠结!
2021.6.1戴主任话音响起,手术一切顺利,床头举手欧耶
姐姐三点进手术室,六点安然出来!一眼望去,姐姐精神不错,一点没有麻醉之态,看样子麻药量下得挺准,要不是睡在病床上,鼻子插着氧气管,身上也连着管子,真看不出是刚做过手术的样子,难道又是一个假手术?
姐姐还没回到病房,就着急地问护士和大夫:“我现在可以咳嗽了吗?”听着都觉得好笑!回到病房刚在病床上整理停当,姐姐就开始按照吴医生的嘱咐做起了恢复动作,深呼吸,脚回勾放松,咳嗽吐痰,还比起手势“欧耶”!我估计她是想明天就出院!事情很清楚了,戴主任确实又做了一台假手术,而且一网打尽3个结节,术中病理报告:1个微浸润腺癌和2个原位腺癌,和戴主任术前预估的一模一样!
#重庆头条# #非常病例# #健康明星计划#

