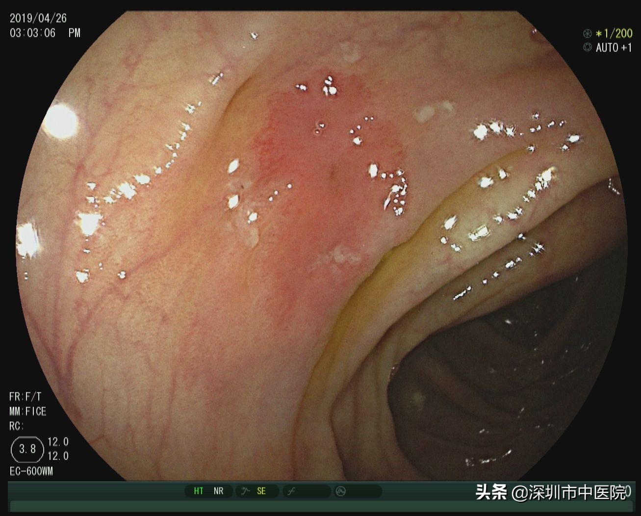
近日,刘先生在肠镜检查过程中被发现,在升结肠皱襞粘膜上有一小片发红病变。医生通过高清内镜和色素染色仔细观察,诊断为结肠肿瘤性病变,并为其进行了内镜下微创完整切除治疗。病理诊断为结肠粘膜内癌,即结肠早癌,经内镜下微创治疗已达到治愈效果。

▲升结肠见一边界清楚发红粘膜病变
早期内窥镜筛查是提高消化道癌症治愈率的关键
“发现一例早癌,拯救一条生命,挽救一个家庭。”
深圳市中医院脾胃病科内镜中心主任郭绍举教授介绍:目前我国消化道早期肿瘤诊断率不到15%,同为消化道疾病大国、但已全面推行消化道内窥镜筛查的邻国日本和韩国消化道早期肿瘤诊断率已分别达到70%和50%。可见,高清晰度的内窥镜在消化道疾病诊断和治疗中发挥着巨大作用。
新一代内窥镜系统让筛查更简单、诊断更精确
工欲善其事,必先利其器。
新一代ELUXEO 7000内窥镜系统于2018年8月25日在中国南京发布,这是继奥林巴斯290、富士蓝激光内窥镜系统以来的又一高科技侦查*器武**。

新一代ELUXEO 7000内窥镜系统运用多光源整合技术,四色高亮度LED光源通过高精度独立控制,同时具备短波长光和白光,呈现更为清晰精准的图像,提升精确诊断的能力。它搭载了LCI(联动成像)和BLI(蓝光成像)技术。

LCI采用与短波长光,通过扩张粘膜“发红”附近的颜色,信号处理增加了颜色对比度,让医生更容易发现病变。

BLI增强了黏膜表层微血管和微结构的对比度,实现对细微血管或结构的观察,让医生对不同部位的病变进行精确诊断。

▲更适合观察表面微血管和微结构
可以说,LCI让筛查更简单,BLI让诊断更精确。
全国首部最新消化道内窥镜系统在深圳启用
全国首套富士新一代ELUXEO 7000内窥镜系统已在深圳市中医院装机使用。即日起,深圳市民可优先享受这个科技福利。
新设备上线后,在40例胃肠镜检查中,共发现1例可疑胃早癌、1例结肠微小腺瘤、2例结肠广基锯齿状息肉(此息肉易恶变),检出率明显高与同类设备。
深市中医院脾胃病科内镜中心主任郭绍举教授介绍:2018年5月10日,国家消化道肿瘤筛查及早诊早治计划在深圳地区正式启动。作为深圳市消化道早癌诊治联盟单位,该院致力于提高消化道肿瘤早期筛查率及诊断率,推广消化道内窥镜检查及治疗技术,提高消化道癌症患者的生存率。近年来,培养了一支熟悉掌握消化道早癌诊断及先进内窥镜治疗技术的人才队伍。同时,购置了国内最先进的内镜设备,与病理科、检验科、胃肠外科等相关科室紧密合作,开展内窥镜下消化道早癌筛查、健康宣教及治疗工作,成绩显著,为深圳市民消化道健康保驾护航。
专家提醒:高危人群定期内窥镜筛查、评估很重要
1.排除食道癌风险
年龄≥40岁,若有以下高危因素其一者,有必要进行胃镜检查,排除食道癌风险:
- 有食道癌家族史。
- 来自食管癌高发地区人群(河北、河南、安徽、江西、苏州、潮汕等地)
- 食管黏膜上皮异型增生。
- 慢性食管炎伴有不典型增生。
- 长期大量食用发酵霉变酸菜、霉变食物。
- 具有食管癌的其他高危因素(抽烟、重度饮酒、饮酒脸红,头颈部或呼吸道鳞癌等)。
2. 排除胃癌风险
年龄≥40岁,且符合下列任意一条者,有必要进行胃镜检查,排除胃癌风险:
- 胃癌家族史。
- 胃癌高发地区人群(辽东半岛、山东半岛、长江三角洲、太行山脉和甘肃等地)
- 幽门螺杆菌感染。
- 既往患有慢性萎缩性胃炎、胃溃疡、胃息肉、肥厚性胃炎、恶性贫血等胃的癌前疾病,以及手术后残胃。
- 常年摄入高盐,腌制饮食,吸烟,重度饮酒等。
必要时还应定期复查。
3. 排除肠癌风险
按照国际标准,45岁以上的健康人要做肠镜检查。但在国内,由于近年来肠癌发病率有明显上升趋势,所以建议40岁以上的健康人,每3-4年做一次肠镜检查,排除下消化道疾病,尤其是肠息肉癌变。若有以下高危因素其一者,需积极检查:
- 有结肠癌家族病史
- 大便带血或有黏液
- 大便性状改变,或出现腹痛或便秘
- 不明原因乏力/消瘦/贫血
- 既往有结肠腺瘤病史
- 肥胖男性
- 大便潜血阳性者
如果有结肠息肉或其他肠道疾病,应请脾胃专科医师评估,根据病情需要定期复查。80岁以上的患者,则要首先评估检查的受益及风险。
坚持传承创新,为市民胃肠健康保驾护航
深圳市中医院脾胃病科是深圳市唯一一家国家级脾胃病重点专科、广东省高水平重点专科、广东省中医重点专科、深圳市中医特色专科。科室拥有广东省名老中医陈福如、黄彬教授及深圳市名中医黄明河、李健教授等一批人才。近年来承担国家省市级课题10余项;在国内外学术期刊上发表本专业论文70余篇,发表专著4部;获得国家专利多项。成立多个名老中医工作室,采取国医大师带徒、名老中医学术经验传承的方式培养中医人才。

在医院领导的大力支持下,近年来外派医师至国内外著名医学院校进修学习,熟悉掌握内镜先进技术。目前,其内镜下微创治疗技术已达到省内先进水平。

疑问医答
1.消化道内窥镜检查是否在医保支付范畴?
答:内镜设备检查及治疗都属于医保支付范畴。
2.消化道内窥镜检查是否舒适安全?
答:消化内镜检查由于是侵入性检查,刺激较大,检查时会引起病人不适或痛苦,很多患者因此害怕做检查。无痛胃肠镜检查可以让您在“美梦”中完成诊疗,麻醉费也是医保支付的哦。深圳市中医院是全市早期开展无痛胃肠镜检查的单位,每年完成无痛胃肠镜检查约2万人次。
3.消化道内窥镜检查是否只做一次即可?
答:如果是胃癌或食管癌的中-高危病人,根据情况一般1-2年做一次胃镜检查;如果有肠息肉,特别是腺瘤性息肉,切除后建议2年左右做一次肠镜复查;对于炎症性肠病患者建议根据病情或每1-2年做一次肠镜检查。具体复查周期可结合临床医师评估意见。