
CT机
近年来,CT的“知名度”有不断攀升的趋势,没有听说过CT的人好象不太多了。一般人的反应已经变成:嗬,CT呀,我早就听说了,它不就是医院里的一种检查吗?我的某某亲戚朋友还去检查过呢!
但是,要是问起你:CT为什么叫做CT,它到底是什么东西呢?恐怕多数人只能称做“似懂非懂”,不少人干脆就是“一脸茫然”了吧?
那么,我就来说上一说?
CT名称的由来
所谓CT,如果用中文来表达,就是“计算机体层摄影”或“电算体层成像”;用英文表达就是Computed Tomography,将英文首字母缩写就成了“CT”。用简单的缩略词来代替复杂拗口的专有名词,已成为科学领域里的通常做法,于是,CT就这么叫开了。叫的多了,也就约定俗成,就像“伦琴射线”至今还被叫做“X光”一样。要是换回“计算机体层摄影”,说的觉得别扭,听的也不知所云。比如“鲁迅”很知名,“周树人”就让人感觉陌生多了吧?

CT机
什么是体层摄影
众所周知,到医院去做普通的X光检查后,拿到的片子上所看到的影像,是*体器人官**组织的重叠影像,不是前后重叠,就是左右重叠,很多病变就有可能被掩盖而出现漏诊。而体层摄影,也称断层摄影或分层摄影,就是通过一些机械装置,可以设定焦点层面,将X光按一定的角度来扫描人体,这样,就能得到*体器人官**组织的多个层面图像,一层一层地看,病灶被重叠掩盖的问题就能够得到一定程度的解决。

X线胸部摄影,前后重叠图像
普通体层摄影的局限
普通的体层摄影通过焦点层面的设定,焦点层面的影像得到比较清晰的显示,而焦点层面以外的影像是通过移动模糊的方法显示为背景,清晰度还是不太高,重叠现象并没有完全消除。此外,普通体层摄影的密度分辨力与常规的X线摄片并没有什么改进。所以,对于腹部、头部等部位的器官组织,以及密度与正常组织差异不大的病变,普通体层摄影无法满足诊断要求。而且,横断面的体层摄影很难实现。
CT的本质是什么
CT的本质,其实还是一台X光机,还是采用X线通过人体后的衰减信息来成像。而且,由于它需要多层面连续扫描成像,所需要的X线剂量也比普通X线检查要高,在辐射防护方面有更高的要求,反复的不必要复查更不被允许。

CT机工作示意图
CT与普通体层摄影的区别在哪
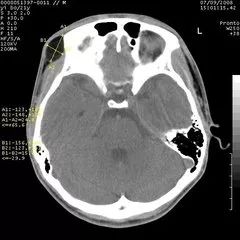
从“计算机体层摄影”这个名词可以看出,CT实际上也是一种体层摄影,但它在成像技术上却有了突破性进展。它有了完善的扫描机架,扫描角度极大提高,轻易地实现了横断面的体层摄影。更突出的是,CT首创性地将高性能计算机技术应用到影像领域,又使用高性能的探测器同步检测X线衰减信息,影像精度空前提高,层面结构清晰,完全消除了重叠对病变遮盖的问题。更难能可贵的是,CT能调节“窗宽、窗位”等手段(后续再介绍,也可参阅我写的科普专著),使密度分辨力得到了空前的提高,原本在密度对比方面差别很小的器官组织,也可以在CT上显示出浓淡不同的清晰影像。比如,对于头颅,CT不仅能够看清颅骨的结构,而且能够看到大脑的内部结构如灰质、白质和脑室等。因此,CT极大地拓宽了X线诊断的适用范围。

CT头颅扫描图像
为什么不将CT叫做X光机
有了CT,人类第一次实现了将活生生的人体,在轻松舒适、毫无痛苦的状态下,象切萝卜一样,自上而下地一片片“切开来看”的愿望,许许多多的病魔就是在这么样的“切片”下被发现了踪迹。尽管CT还是利用X线来检查和诊断疾病,但它无论是在机械设计、检查技术还是在诊断方法上都有了“脱胎换骨”的质的不同。所以,做CT就用“CT机”,不能用普通的“X光机”了。