
一家人,大伯60岁时得了尿毒症,爸爸也在60多岁患上尿毒症,现在儿子又被查出肾功能不全。

如果不懂医,听到这样蹊跷的事,有些人可能会想:“是不是因为尿毒症传染啊?”,亦或者“不会是这家人撞上什么诅咒了吧?”
当然不是!
今天,肾上线带您了解我国尿毒症排名第4位的病因,也是最常见的遗传性肾病类型--- 多囊肾 !

什么是多囊肾?
多囊肾和普通人常见的肾囊肿,不是一回事。
多囊肾是一种以 肾脏遍布多个囊肿、且囊肿不断增大导致肾脏体积不断扩大,最终引起肾功能逐渐下降为特点 的遗传性肾病。且该病患者经常在60岁左右时患尿毒症。

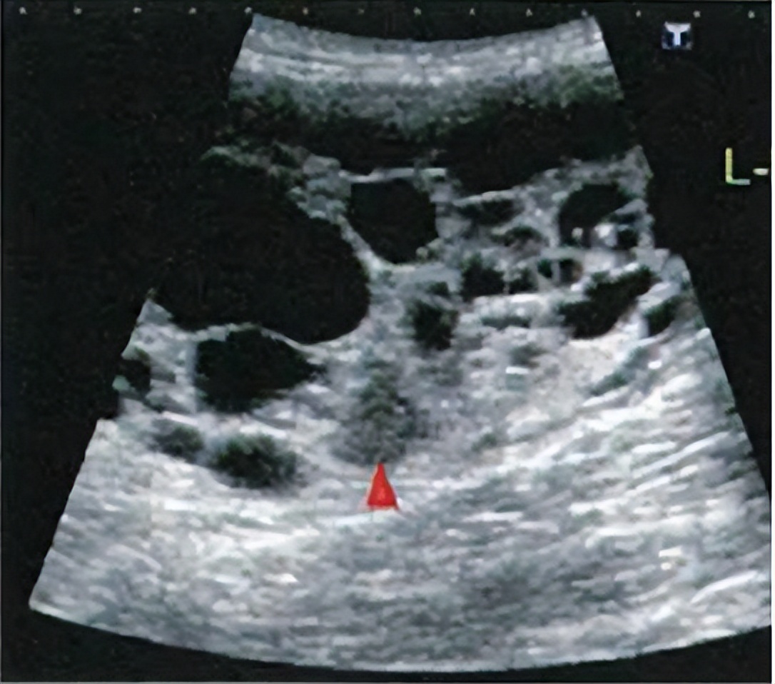
B超显示下的多囊肾☝

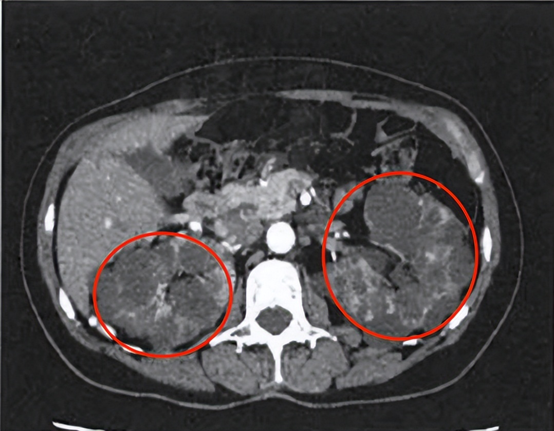
CT显示下的多囊肾☝

MRI显示下的多囊肾☝
多囊肾的表现(肾脏&肾外)
肾脏表现:
囊肿持续增大导致肾脏体积增大,患者通常还伴有高血压、泌尿道感染、尿浓缩障碍、血尿、肾结石,以及急性或慢性腰痛和腹痛。
多囊肾的主要肾外并发症包括:
脑动脉瘤: 颅内动脉瘤患病率是一般人群的4倍(8%-12% vs 2%-3%),十分危险,需要注意及早筛查,动脉瘤破裂可能会导致死亡。
患者还可伴发胸升主动脉夹层和动脉瘤、头颈部动脉夹层、动脉延长扩张症和视网膜中央血管阻塞。
肝脏和胰腺囊肿: 在一项纳入230例15-46岁ADPKD患者的研究中,MRI发现83%的患者存在肝囊肿;7%-36%的ADPKD患者会发生胰腺囊肿
心脏瓣膜疾病: 最常见的异常包括轻度二尖瓣脱垂(二尖瓣脱垂最为常见,发生率达25%)和主动脉瓣关闭不全
结肠憩室
腹壁疝和腹股沟疝
精囊囊肿
多囊肾,怎么得的?
绝大多数多囊肾患者,为常染色体显性遗传性肾病,英文缩写ADPKD,主要是由于遗传了父母PKD1突变基因,或PKD2突变基因而发病。

大约78%的ADPKD家族存在16号染色体异常(PKD1基因座),其余家族大都(14%)存在4号染色体基因缺陷(PKD2基因座)。
由于PKD1和PKD2位于不同的染色体,因此,彼此可以独立地分离遗传,所以有可能患者同时有这两个基因突变,症状会更重。
还有一些家族存在GANAB(编码葡萄糖苷酶Ⅱα亚基)、ALG9或DNAJB11,其他基因缺陷。

多囊肾,如何诊断
有明确的家族史(多个亲属患有多囊肾)+典型的影像学检查(多个肾囊肿)即可诊断。
具有双肾增大和双肾多发囊肿的患者,即使无阳性家族史也需考虑多囊肾,B超检查双肾囊肿>10个可基本确定诊断,肾外囊肿的存在有助于确诊。



对于没有明确多囊肾家族史(10-25%的患者无家族史)或肾脏影像学表现不典型患者,还可以利用基因诊断技术检测PKD1、PKD2或其他多囊肾相关性基因变异,以明确诊断。

常染色体显性遗传性多囊肾(ADPKD)较为常见,发生率约为1/1000-1/400。但患者常没有临床症状,因此估计仅有不到一半的患者得到诊断。

多囊肾,遗传给孩子的几率多大?
如果父母一方有常染色体显性遗传性多囊肾,生的不论是男孩女孩,子代发病机率为50%。
不过,现在已经有试管婴儿的新技术,可以通过遗传诊断,提前选出没有基因突变的健康胚胎,再植入到母亲子宫,生出健康的宝宝。

多囊肾,预后如何
PKD2基因突变的患者临床表型,比PKD1基因突变的患者更轻。PKD2病变患者较晚出现囊肿,PKD2病变患者终末期肾病(俗称“尿毒症”)比PKD1病变大约要晚20年。
PKD2病变患者出现尿毒症的平均年龄为74岁,而PKD1病变患者出现尿毒症的平均年龄为54.3岁。
需根据基因以及其他影响因素综合判断预后。大多数患者可维持正常肾功能到30岁左右。一旦肾功能开始下降,肾小球滤过率每年可平均降低4-6mL/min/1.73min2。

可能说到这,有人就会疑惑了,既然“命中注定”几岁得尿毒症,那还看什么看?反正治不治就那样!
注意,虽说多囊肾的预后主要取决于患者的基因型,但患者保养好不好,同样会对预后产生影响。应对不当,可能让肾衰竭提前到来。而保养得当,可推迟尿毒症发生时间。
多囊肾,怎么保养?
我们先说说多囊肾的一般处理方法:
1.低盐、不高蛋白饮食+足够饮水 :低盐饮食,每日摄入钠<2g(即5g食盐),推荐蛋白质每日摄入量0.8~1.0g/kg/天。每日保证多喝水,每日保持尿量在3L以上(除非有喝水禁忌)。限制磷的摄入≤800mg/天
2.戒烟、避免被动吸烟
3.限酒
4.保持理想体重: 保持理想体质量指数,BMI在20-25之间。BMI(体重指数)=体重(kg)÷身高(m)÷身高(m)
5.控制高血压: 对于18-50岁肾功能正常的患者,降压目标值应 ≤110/75mmHg,其他患者血压控制目标值为130/80mmHg
6.体育锻炼时注意: 患者谨慎参与剧烈接触性运动或其他具有潜在风险的活动,如骑马、足球、篮球或摔跤等运动,尤其是当患者肾脏增大到体检医生可触及
7.控制高血脂: 低密度脂蛋白控制目标<2.59mmol/l
8.控制高尿酸
9.纠正酸碱失衡: 保持血碳酸氢根≥22mmol/l
多囊肾新药,了解一下
对于疾病进展较快的多囊肾患者,可以在医生指导下使用托伐普坦进行治疗。


托伐普坦是一款用于抑制囊肿生长、延缓多囊肾恶化的新药。

我们可以看到下图研究所示,使用托伐普坦,可以明显延缓肾功能下降和肾体积增大:


参考文献:
1.中国常染色体显性多囊肾病临床实践指南(第二版).临床肾脏病杂志.2019年
2.成人常染色体显性遗传性多囊肾的流行病学、临床表现和诊断.Uptodate.
3.常染色体显性遗传性多囊肾(ADPKD)的肾脏表现.Uptodate.
4.常染色体显性遗传性多囊肾(ADPKD)的肾外表现.Uptodate.
5.常染色体显性遗传性多囊肾的遗传学以及囊肿生长机制.Uptodate.
6.常染色体显性遗传性多囊肾(ADPKD)的治疗.Uptodate.
7.Soroka S, Alam A, Bevilacqua M, Girard LP, Komenda P, Loertscher R, McFarlane P, Pandeya S, Tam P, Bichet DG. Assessing Risk of Disease Progression and Pharmacological Management of Autosomal Dominant Polycystic Kidney Disease: A Canadian Expert Consensus. Can J Kidney Health Dis. 2017 Mar 1;4:2054358117695784.
8.2020 JSN临床实践指南:多囊肾
