很多疾病可以引起肺水肿,很多不是肺水肿的疾病,可以在影像上表现为“蝶翼征”,要综合分析病情,特别是按照心衰治疗无好转时,更应警惕,仔细鉴别。
作者|孙丹雄
来源|医学界影像诊断与介入频道
这是一只美丽的蝴蝶,鸳鸯戏水蝶双飞,一堆CT让人醉!

众所周知,影像学显示蝶翼状阴影,一般考虑肺水肿,心源性肺水肿较为常见。但是,笔者认为,临床上的诊断不能这样简单粗暴。首先,肺水肿有很多种,除了心源性肺水肿,还有中毒性肺水肿、高原性肺水肿、溺水性肺水肿、复张性肺水肿、神经源性肺水肿等等,种类繁多。其次,其他很多疾病,也会出现类似心衰肺水肿的蝶翼状阴影,需要仔细鉴别。
在很多文献中,对“蝶翼征”的描述大多限于文字,笔者翻山越岭,大海捞针地找到了一些图像资料,希望能给大家留下较为深刻的印象。
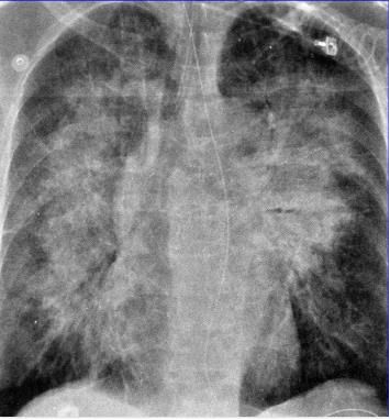
蝶翼征是什么样的?
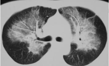
下图是非常典型的蝶翼征。

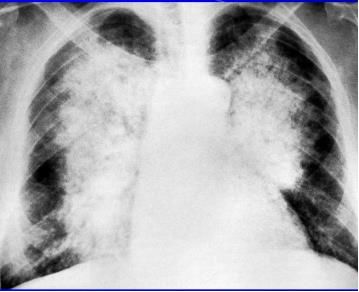
再来一个更直白的蝶翼征,几乎可以翩翩起舞了。

另外,肺水肿还可以出现肺纹理的改变:以前肺纹理少的地方,肺纹理增多;以前肺纹理相对多的地方,肺纹理更多,或者反而减少。

在现实中,影像学表现如下

另外,肺水肿还可以引起小叶间隔增厚等等改变。

蝶翼征的鉴别诊断
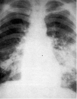
第一节:心源性肺水肿
典型患者有心脏病,突发气促,咳粉红色泡沫痰,典型影像学如下

第二节:其他肺水肿
在鉴别心源性肺水肿的时候,要明白很多疾病可引起肺水肿,询问病史相当重要。
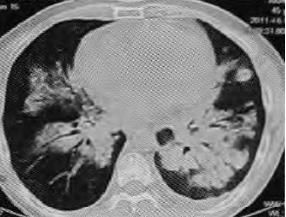
1. 患者突发胸闷、气促,CT如下:

乍一看,很像心源性肺水肿,病灶沿着肺门分布,呈蝴蝶状,但是患者平素体健,怎么就突然心衰肺水肿了?一问病史,患者是在工厂冶炼金属,吸入烟雾后发病,很明显气体中毒。
2.青年男性,平素体健,近2日诉咳嗽、气促、发热,CT如下:

病灶沿着肺门分布,略呈蝴蝶状,心源性肺水肿?没有心脏病,这么年轻,没道理啊,再说了,心衰怎么就发热了?
追问病史,在厂里反应炉气体泄漏后发病,结合工作环境,考虑有机氟中毒性肺水肿。
3.再来一例,突发气促。

也是蝶翼征,心力衰竭?追问病史,游泳时被水呛了,“喝”了很多,很明显溺水了。
4.以前遇到一个患者,昆明人,平素体健,诉近几日突发气促,影像学和下面的胸片很类似:

类似蝶翼征,很像肺水肿,但是平素体健,心脏也不大,为什么肺水肿呢?
没有误吸,没有吸入有毒气体,百思不得其解!
突然,病人说前几天去*藏西**玩,感觉呼吸困难,就返回昆明,下了飞机就感觉好些了。原来是高原性肺水肿:一山还有一山高,生活在云贵高原的人,也会得高原病。回来的太及时了。
5.患者入院时胸片正常,突发心跳骤停,气管插管时喉痉挛,解除痉挛后,复查胸片如下:

这个蝶翼征太夸张,像是雄鹰展翅。小小竹排江中游,巍巍青山两岸走,雄鹰展翅飞,哪怕风雨骤!
为什么会突然这样?
原来,肺水肿的原因多如牛毛。喉痉挛时气道阻塞,胸腔内负压增加,痉挛解除后,胸腔内负压减少,血管内外压力差值增加,引起肺水肿。
各种原因引起的上气道阻塞、神经系统疾病(例如脑出血)、药物、*品毒**(例如*洛因海**)、车祸外伤(伤及肺部)等等,都会引起肺水肿。
第三节:没有肺水肿,也会出现蝶翼征
1.青年患者,诉气促,CT如下:

病灶也是沿着肺门对称分布,但是这对蝴蝶翅膀太大。追问病史,吸毒,生活很乱,查HIV阳性。
原来是卡氏肺孢子虫肺炎。注意,胸膜下无明显侵犯,是其特点。
2.年轻女性,发热,气促,咳嗽,CT如下:

病灶也是略呈蝶羽征。
患者发热,咳嗽,明显呼吸困难,H1N1阳性。
重型甲流病毒性肺炎。
3.患者平素体健,近几日发热,咳嗽,CT如下:

这个蝶翼征太典型了,心衰合并肺部感染?
NO!像心衰,不一定是心衰。
抗细菌感染,病情好转。
这就是一个单纯的肺部感染!蝴蝶想他了。
你知道吗,昨天晚上我太想你啦,化成一只蝴蝶附在你的肺上!
GUN,滚!
4.患者无发热,偶咳嗽,活动后气促,CT如下:

蝶羽征,这么多病灶,没有发烧,肺部感染可能性不大。
心力衰竭,做了心脏彩超没有任何依据。
什么情况?
行纤支镜,肺泡灌洗,结果:PAP。
PAP:肺泡蛋白沉着症。
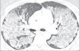
5.平素体健,诉活动后气促数月,CT如下:

也是蝶羽征,心衰临床表现依据不充分,怎么办?
事实证明,蝶翼征+活动后气促,不一定都可以诊断心源性肺水肿!
6.平素体健,活动后稍感气促,CT如下:

这个比较老实,虽然用蝶翼征伪装,但是漏出铺路石征的狐狸尾巴!
很明显,心源性肺水肿依据不足。
最终诊断:PAP:肺泡蛋白沉着症。
7. 以前看到一篇文献,MPA也会引起蝶羽征,可惜没有图片。后来看到山东省立医院张嵩老师的《肺部疾病 临床与影像解析》,终于找到图片。

患者老年女性,高热,尿蛋白++,轻度贫血。抗感染治疗无效。
CT如下:
也是蝶羽征,沿着肺门基本对称分布。
P-ANCA阳性。
最终诊断:显微镜下多血管炎。
后记:很多疾病可以引起肺水肿,很多不是肺水肿的疾病,可以出现蝶翼征,要综合分析病情,特别是按照心衰治疗无好转时,更应警惕,仔细鉴别。
参考文献:
1.郑琼娜, 郑汉朋, 邱乾德. 吸入硝酸气体致化学性肺炎CT表现一例[J]. 中华放射学杂志, 2012, 46(5).
2.尤正千, 朱晓华, 李天女. 有机氟中毒性肺水肿的CT诊断价值(附3例报告)[J]. 肿瘤影像学, 2006, 15(1):34-36.
3.林健, 赵旭玲, 董法琴,等. 8例溺水患者肺部早期CT表现[J]. 中国乡村医药, 2015, 22(19):59-60.
4.阎文颖, 李艳英, 张在人,等. 重症甲型H1N1流感肺部感染的CT表现及病理相关性[J]. 实用放射学杂志, 2010, 26(12):1735-1738.
5.季洪健, 陈丽萍, 王辉. CT表现为蝶翼样阴影的肺炎1例[J]. 临床肺科杂志, 2008, 13(1):99-99.
6.李永华, 李彦, 毛毳,等. 肺泡蛋白沉积症的CT表现[J]. 放射学实践, 2012, 27(4):399-401.
7.侯刚, 尹燕, 王秋月,等. 肺泡蛋白沉积症的临床、影像及肺生理学特点分析[J]. 医学临床研究, 2013, 30(2):243-245.
8.山东省立医院张嵩,《肺部疾病临床与影像解析》,535页。