病例:女性,33岁,妊娠25+周,孕2产1,胎盘MR提示:胎盘后壁近宫底部分之胎盘后方见条带形异常信号,范围约72mm×18mm。
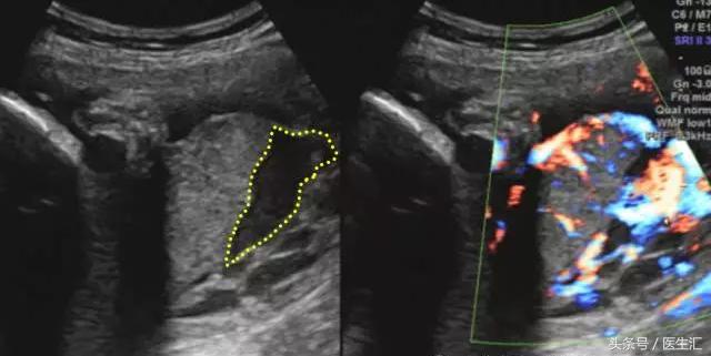
超声检查提示:宫底后壁胎盘与后壁肌层之间见混合回声区(超声表现1,见图1黄色圈内),与胎盘分界不清,范围约75mm×34mm,内回声不均匀,边缘及内部未见明显血流信号(检查要点1)。急诊剖宫产手术见胎盘80mm×50mm剥离面,占1/2(超过胎盘面积的1/3),宫腔积血约50ml,术后诊断胎盘早剥。

(图1)
鉴别诊断:
1.胎盘内血池或血窦:位于胎盘实质内,在胎盘切面内呈不规则液性暗区,内有云雾状回声呈沸水征。(见图2黄色圈内)

图2,胎盘左侧缘及右侧缘后方与宫壁间均见条状无回声区,范围约:40mm×14mm(左侧缘),36mm×9mm(右侧缘),内见密集光点浮动,似可探及静脉血流信号。
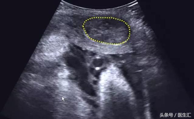
2.子宫肌瘤:位于肌层内,边缘较清,形态规则,向宫腔内或宫外突出。(见图3黄色圈内)

图3,孕妇子宫壁见多个低回声团,最大一个位于右前壁,大小约:40mm×26mm,边界清,内部回声分布均匀。
3.胎盘囊肿:位于胎盘内的羊膜面或母面,边缘清楚,圆形,内为无回声。(见图4黄色圈内)

图4,胎盘胎儿面可见一囊性包块突向羊水中,大小约30mm×15mm,边界清,内部透声好。
4.胎盘血管瘤:位于胎盘实质内或突向羊膜腔,回声较均匀,边界清。(见图5黄色圈内)

图5,胎盘位于子宫前壁,厚47mm,成熟度Ⅰ度,胎盘局限,胎盘内见一低回声区大小约40mm×35mm,边界清,内见丰富血流信号。
5.子宫局部收缩:若发生在胎盘附着处,可见一向胎盘突出的半圆形弱回声区,可根据子宫舒张后图像恢复正常与血肿鉴别。
总结:
一、胎盘早剥定义:
妊娠20周后或分娩期,正常位置的胎盘在胎儿娩出前部分或全部从子宫壁剥离,称胎盘早期剥离。
胎盘早剥的发生与重度妊娠高血压综合征、慢性高血压、腹部外伤、外倒转术纠正胎位、脐带过短或脐带绕颈、宫腔内压骤减、孕妇长时间仰卧位等因素有关。
二、胎盘早剥分型:
轻型:胎盘剥离面不超过胎盘面积的1/3,包括胎盘边缘血窦破裂出血,以阴道出血为主要临床表现,体征不明显。
重型:隐性出血为主,胎盘剥离面超过胎盘面积的1/3,同时有较大的胎盘后血肿。主要症状为突发性剧烈腹痛,可无或仅有少量阴道出血,贫血,子宫压痛、硬如板状,胎儿严重宫内窘迫或死亡。
三、超声表现:
1.胎盘剥离早期:胎盘与子宫壁间见边缘粗糙、形态不规则的液性暗区,其内可见散在斑点状高回声、不均质低回声或杂乱回声,有时为条带状回声(见图6黄色圈内)。有时胎盘后无明显血肿声像,仅有胎盘异常增厚(注意对比历史报告),呈不均增强回声。

(图6)
2.胎盘剥离后期:胎盘剥离出血不多自行停止后,胎盘后血肿数天后逐渐液化,内回声变为无回声,与子宫壁界限分明;以后血肿机化,表现为不均质高回声团,产后检查胎盘局部有机化凝血块。
3.胎盘边缘血窦破裂:胎盘边缘胎膜与宫壁分离、隆起,胎膜下见不均质低回声。(见图7)

(图7)
四、超声检查要点:
1.彩色超声检查显示以上各类出血性改变形成之血肿内均无血流信号。
2.超声检查时注意胎儿心率变化,当剥离面大,出血多时,胎儿因缺氧而心跳停止。
3.有血性羊水时,羊水区内可出现散在漂浮的小光点回声。
4.重视病史和体征,剥离面积小、临床症状轻时容易漏诊,扫查时应仔细。
5.后壁胎盘分辨力差,不易诊断;仪器分辨率及操作者的经验也是影像诊断的重要因素。