#2022重庆头条# #生命摆渡人# #我的2022#
随着现在人们对身体健康的重视以及影像学手段的进步,越来越多的人在体检的时候都会选择用CT替代传统的胸片,这样不仅能更好的掌握自己的身体健康状况,一旦出现问题,也能尽早的发现并解决。与之相对的是,磨玻璃结节这个名词也越来越多的出现在人们的视野中,同时由于它恶变的概率较大,也越发的引起了人们的重视,新桥医院胸外科在去年就已成立肺磨玻璃结节早诊中心,希望能帮助更多的患者了解它并解决它。
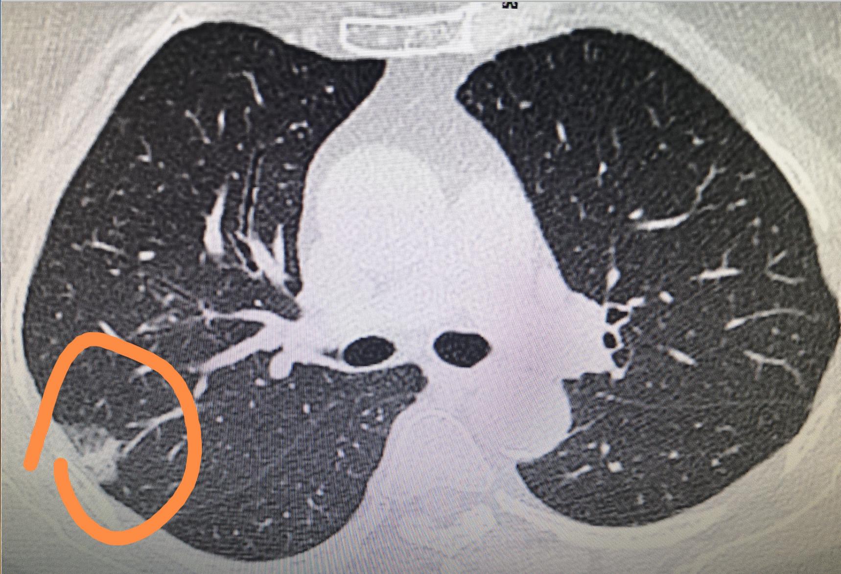
什么是磨玻璃结节?
从官方的解释来说,肺磨玻璃结节(GGN)指的是CT影像上,像磨砂玻璃质地的密度轻度增高的云雾状淡薄影。GGN中的磨玻璃成分对应的是病理上的鳞屑样生长方式,异常增生的上皮细胞或分化良好肿瘤细胞以鳞屑样方式生长而形成影像上的磨玻璃影。具体表现为增生的细胞沿现有的结构和肺泡壁生长而不侵犯基质、胸膜或血管,保持完整的肺泡结构,基底膜仅有轻度反应。它打破了恶性肺部肿瘤生长或倍增的“两年定律”,不遵守PET检查SUV值增高的规律,表现为非常明显的惰性生长的特点,直径倍增时间可长达3-5年。
简单点儿来说,肺脏是由许多个肺泡为单位构成的,肺中的支气管经多次反复分枝成无数细支气管,末端膨大成囊,囊的四周有很多突出的小囊泡,这些小囊泡就是肺泡。如果有一群异常增生的上皮细胞或分化良好的肿瘤细胞沿着肺泡壁一直生长,等它长到一定规模时就会在CT检查中被发现,然而胸片却不行。从CT结果的表现来看,就像是在紧密的肺组织上有一块云雾状淡薄影,但它一般不会遮盖住下面的血管边界清晰,此时这群上皮细胞的分裂增殖会比较慢,整体表现出惰性生长的特点,结节直径增长一倍的时间可长达3-5年。
磨玻璃结节型肺癌是什么?
磨玻璃结节型肺癌在这里特指的是,以磨玻璃样成分发展演起而来的一种特殊类型的肺癌,其实本质就是以往的细支气管肺泡细胞癌( "Bronchioloalveolar carcinoma”," BAC” )。BAC就是以往肺癌中治愈率最高的一种特殊类型的肺癌。但由于BAC混乱的分类囊括了多种不同预后的浸润性和非浸润性肺腺癌,包括切除术后5年生存率为100%的非浸润性结节和3年生存率低于10%的浸润性结节,给临床诊治和研究造成很大混乱,而且给癌症登记流行病学研究带来困难。因此,2011年新分类废除了“BAC”这一诊断术语。目前,磨玻璃结节型肺癌主要包括原位腺癌(adenocarcinoma in situ,AIS)、微浸润性腺癌(minimally invasive adenocarcinoma,MIA)、鳞屑样生长为主的腺癌(Iepidic predominant adenocarcinoma,LPA)三种类型。
磨玻璃结节型肺癌有何特点?
1呈鳞屑生长方式,惰性,倍增时间长。
2肿瘤细胞大多分化较好,其形态特点依起源细胞不同而异。
3恶性程度低,肿瘤生物学行为不活跃,发展相对较缓慢。
4好发于女性。有资料显示,近70%的磨玻璃结节肺癌患者为女性,且发病有年轻化的特点。
5早期时大部分患者没有症状,多因体检或检查其他疾病时偶然发现。有些患者的肿瘤在发现后经过多年随访仍无明显变化。
所有的磨玻璃结节都会发展为肺癌吗?
首先需要明确的是,并不是所有的磨玻璃结节都是恶性的,但也不能完全否定它恶变的可能。很多良性病变如局灶性纤维化、炎症或出血等也会导致磨玻璃结节影的出现。按照GGN的密度均匀与否和是否伴有实质成分,磨玻璃结节又可分为纯磨玻璃结节( pGGN,)和伴有实性成分的混合磨玻璃结节(mGGN)。mGGN内实性成分的多少,可作为判断良恶性的一个依据,也可作为评价其侵袭性的一个依据。若为恶性,则实性成分越多,且其侵袭性也越大;一般实性成分越多,恶性的可能性越大。同时,GGN的恶性程度还和结节大小相关,就大小而言,直径<5毫米,磨玻璃结节的恶性程度小于1%,其中微小纯磨玻璃结节良性的可能性接近100%;直径在5~10毫米,GGN恶变率为18%~40%。GGN直径1-2厘米,恶性率为50%~70%。其中直径>1cm的混合型磨玻璃结节结节而言,有文献报道,恶变率可超过90%。
磨玻璃结节型肺癌的预后怎么样?会复发吗?
肺磨玻璃结节具有惰性、多样性和演变性的特点,可由良性病变逐步发展成恶性病变,由无侵袭性的惰性病变逐步变成侵袭性的浸润性病变。这个过程可长达几年甚至十几年的时间。在这个程中,病灶逐渐增大,颜色逐渐加深,并由纯磨玻璃成分演变成,磨玻璃成分中出现实性成份。影像学上,可发生从纯GGN→混合型GGN→实性结节的演变;病理学上,发生着从非典型腺瘤增生→原位腺癌→微侵润腺癌→侵润性腺癌(LPA)的演变。
磨玻璃结节的预后是非常好的,小于1cm的纯GGN,术后多证实为腺瘤样不典型增生(AAH,癌前病变),或者是原位腺癌(AIS,对周围血管间质没有侵犯,不会转移,治愈率100%),甚至极端情况下也可能是微浸润腺癌(MIA,对周围血管间质侵犯<5毫米,也不会转移,切除后,治愈率100%)。
一般来说,不典型增生、原位癌、微浸润腺癌,部分混合性磨玻璃结节(表现为含有贴壁亚型的浸润性腺癌)都是外科手术能完全切除的早期肺癌,发生转移的概率不超过0.5%。因此手术后极少需要化疗。同时,纯磨玻璃结节的患者进行手术后的生存率可达到100%,基本不会存在复发,而实性成分小于80%的混合型磨玻璃结节患者的生存率也能达到100%。磨玻璃成分相对其他类型的表现来说,它本身即是良好预后的标志。因此,如果患者的术后病理结果是恶性肿瘤也可以不用太紧张了,绝大多数磨玻璃结节患者都可以取得相当好的预后!但要提醒的是,磨玻璃结节手术后,再发或新发GGN是完全可能的,因此术后随访是必要的。
注:重庆戴纪刚医学科普,欢迎转载,转载请注明出处。
