爱美是每一个女人的天性。既是天性,女人们当然要想尽一切办法,抓住一切机会来不断"武装"自己,不管她是否天生丽质,不美的想美,美的还想更美,总之一句话,没有最美,只有更美。高跟鞋,在女人的日常生活中,起到了重要的作用,不管是上班,还是参加聚会应酬,你总能在各种场合看到脚踩高跟鞋鞋的女性。昨天上手术之前,有个熟人脚踩高跟鞋来找我看病,说大拇脚趾痛,就在她脱掉鞋以后,就看到她外翻的拇趾,继发引起的滑囊炎症出现疼痛。今天我们就来说一说这个爱美女性的"天敌"—拇趾外翻。

什么是拇趾外翻?
拇趾外翻(hallux valgus)是一种常见的足部疾病,它是指第一跖骨内翻(第一与第二跖骨间夹角大于10度)、拇趾过度倾斜向外侧(外翻角大于15度)的一种畸形。常伴有进行性的第一跖趾关节半脱位。通俗点说拇趾外翻就是指拇趾基底部关节出现一个骨性突起。发生拇外翻时拇趾会偏向第二趾。

拇趾外翻发病率到底有多高?
一项系统评价通过涉及496,957名受试者的78项研究发现,18-65岁成人的拇外翻患病率约为23%;65岁以上成人的患病率约为36%;女性成人的患病率约为30%。穿鞋人群的患病率高于赤脚人群,尤其是在经常穿高跟鞋的女性人群,发病率更高。女性发病的可能性是男性的2倍。

拇趾外翻的病因有哪些?拇趾外翻的分期有哪些?
拇趾外翻畸形的发生和很多原因、诸多因素有关,除扁平足畸形意外,还与经常穿着狭窄的尖头鞋和高跟鞋有重要关系。足部与脚趾间的韧带是很坚强的,但是第一拇趾的是个例外。如果长期站立、行走过多,经常穿高跟鞋或尖头鞋时,第一拇趾(专业点说是第一楔骨和跖骨)受到非生理性压力的影响而向内移位,引起足弓的塌陷。同时使得拇趾的肌腱呈弓弦一样紧张,增加了拇趾外翻的力量。并可以在第一跖骨头内侧形成骨赘和滑囊炎,引起疼痛。畸形严重者,第二脚趾会被外翻的拇趾挤到足趾背侧而"顶起"。青少年的拇趾外翻病人往往存在家族性的发病倾向。
按照外翻严重程度,拇趾外翻可分为四期。
拇趾外翻的临床表现有哪些?
拇趾外翻畸形,多见于因年轻时不注意,穿常尖头鞋或高跟鞋的中老年女性,呈对称性,多因为疼痛而就诊。拇趾外翻在临床上主要症状、临床表现有:
1. 拇趾外翻,跖趾关节轻度半脱位,内侧关节囊附着处因受到牵拉而形成骨赘,第一跖骨头的内侧突起部分即拇囊因长期受压和摩擦,引起急性拇囊炎或拇趾背侧皮神经受到刺激,导致疼痛。
2. 跖趾关节长期不正常的负重,发生骨关节炎引起疼痛。
3. 骨关节炎波及周围小的籽骨,将会加重症状。
4. 第二、三跖骨头的足底面的皮肤因为足弓的塌陷和非正常的负重,形成胼胝体,与鞋面反复摩擦后,形成胼胝体炎症,继发疼痛,也就是我们平时所说的"鸡眼"。
通俗点说,拇趾外翻的症状包括:拇趾基底部的关节出现一个骨性突起;拇趾关节周围疼痛;拇趾难以活动;拇趾可能还会变红和肿胀。
拇趾外翻的患者需要进行哪些检查呢?
拇趾外翻的诊断从外形上就可以进行初步诊断,如果需要进一步了解病情,就需要细致的查体和X线检查,也能为术前计划准备资料。
1. 体格检查:查体时需要在病人负重位和不负重位两种姿势下检查畸形的情况。因负重时畸形加重,可了解病人在平时日常生活中拇趾外翻的真正情况。同时在要在拇趾旋前位,检查畸形程度和外翻角度。检查拇趾的跖趾关节主动和被动活动角度、疼痛情况及是否有捻发音,来探明是否存在骨关节炎。用手握住足趾做个方向运动,可以判断是否存在关节松弛。同时还要观察足部外形,看是否有平底足或者跟腱挛缩,以及第二足趾情况。
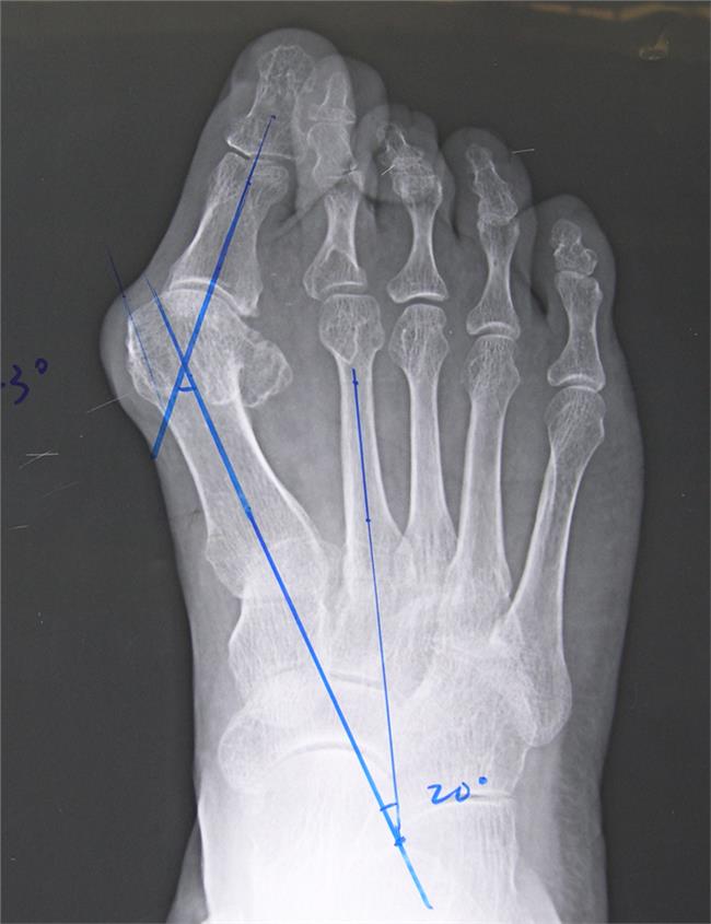
2. X线检查:应在负重位拍摄足的正侧位片,测出拇趾外翻角度及第一、二跖骨间角,检查第一跖趾关节是否有骨关节炎存在,以及骨关节面的吻合情况。同时还要观察拇趾外翻的内侧隆起程度和籽骨的位置。

拇趾外翻如何治疗呢?
1. 保守治疗:对于早期病变,疼痛症状较轻的患者,可采用保守治疗。常用的方法有:
1) 应用消炎镇痛类药物缓解疼痛。
2) 防治平足症,穿合适的鞋子,可防止拇趾外翻的发生和发展。
3) 轻度的拇趾外翻可在第1-2脚趾之间夹棉垫,改变穿鞋习惯,使拇趾和第一跖骨头避免受到挤压和摩擦。
4) 拇囊炎可以通过理疗、热敷,或者中药方剂泡洗等方法,使症状可以缓解或者消失。
2. 手术治疗:如果畸形和疼痛较重,严重影响生活质量,保守无效果,需要手术治疗。手术的方法很多,约有150多种手术方法。包括软组织手术、骨性手术和软组织联合骨性手术及跖趾关节人工关节置换术。手术的目的是切除增生的骨赘和滑囊,矫正拇趾的外翻畸形。手术方法应根据患者的病情、畸形情况、身体情况等因素决定。除手术矫正以外,术后正常的足弓力线维持也是保证术后效果长久的重要措施,可防止拇趾外翻的复发。
什么情况下拇趾外翻的患者需要进行手术治疗?
对于拇趾外翻的患者,需要进行手术治疗的指征主要依据是患者症状(例如疼痛和行走困难)。临床表现和放射影像学表现都没有决定性作用。若患者有重度疼痛或功能障碍,或保守治疗方案未能改善症状,则应交给足踝外科的医生进行手术治疗。
拇趾外翻手术后恢复情况怎么样?
术后恢复情况取决于手术操作类型。如果实施的是截骨术等骨性手术,则愈合过程和骨性愈合等同。目前研究表明,即使在此类操作后早期负重,骨性愈合一般也会在术后6-7周出现。但吸烟等外部因素可能会影响愈合,并增加愈合所需的时间。返回工作所需的时间也常与骨愈合时间一致。一项研究通过89例接受截骨术的拇外翻患者发现,患者在术后平均需要6周才能重新开始工作,而恢复运动的时间为术后8周。改善过程可能会在术后至少持续1年。术后患者满意度在6-12个月时改善。
能做些什么来缓解拇趾外翻症状吗?
如果采取以下措施,拇趾外翻的症状可能会改善:
1. 穿宽的低跟鞋,或穿专门在拇趾周围留出多余空间的特殊鞋子。
2. 进行拉伸锻炼:这可帮助足趾和足部关节更好地活动。
3. 使用拇外翻垫:这是一种防止拇趾与鞋发生摩擦的小垫子。
4. 运动后用冷的凝胶袋、冰袋或冰冻蔬菜包冷敷拇外翻区域,持续20-30分钟。需在冰(或其他冰冷物品)和皮肤之间放一块薄毛巾。
5. 使用减轻疼痛的药物。
如何预防拇趾外翻的发生?
避免穿尖头鞋及高跟鞋。对于存在扁平足、类风湿关节炎或神经肌肉系统疾病的患者更应该通过调整鞋子,选择合适护具避免畸形的发生。对于穿什么样鞋子,一般推荐前脚宽松,带有缓冲的运动鞋为佳,薄底的鞋子尽量不穿或者少穿。

总结与推荐:
●拇趾外翻(HV)畸形,是一种可能会严重影响患者日常活动能力的常见畸形,即拇趾相对第一跖骨向外侧偏移。其病因与多种因素有关,该畸形常见于女性和穿尖头鞋、高跟鞋的人群。
●尽管临床检查很容易发现拇外翻,但可能需行X线摄影来确定有无关节损伤。放射影像学和临床表现都不能作为外科手术的依据,决定性因素是患者的疼痛和功能丧失情况。
●保守治疗可能会对拇趾外翻有效,保守治疗的方法包括:
•改变鞋:选择较宽的低跟鞋;或内侧有更大空间容纳第一跖趾关节的专用鞋,以最大程度减少致畸力
•用矫形器改善支持和力线
•用夜间夹板改善脚趾的力线
•用拉伸和/或松动/手法操作来保持关节活动度
•用内侧拇外翻垫防止刺激
•活动后冰敷,以减少炎症
•镇痛药止痛
●我们建议在患者有重度疼痛或功能障碍时,或保守治疗方案未能改善症状时,建议患者手术治疗。拇外翻的矫正手术约有150种。具体手术方案需要根据患者病情以及手术医生的熟练程度而定。
●处理患者的手术期望十分重要。应该让患者明白,跖趾关节处的10°-25°外翻角属于正常情况,而术后疼痛和肿胀可能需要数月才会消退。多数患者仍然无法穿较窄的鞋。
感谢您的阅读,如果您认为我的科普对您有所帮助,动动小手点个赞和关注。如果您对股骨头坏死有疑问也可以留言,共同讨论。如果大家想了解哪一个疾病,也可以留言告诉我。您的关注,是我奋勇前行的动力!
#青云计划# #健康真探社# #月薪万元-新作者扶植计划开启#
参考文献: Tanaka Y, Takakura Y, Takaoka T, et al. Radiographic analysis of hallux valgus in women on weightbearing and nonweightbearing. Clin Orthop Relat Res 1997; :186. Mann R, Coughlin M. Adult hallux valgus. In: Surgery of the Foot and Ankle, Coughlin M, Mann R (Eds), Mosby, St. Louis 1999. p.150. Phillips D. Biomechanics in Hallux Valgus and Forefoot Surgery, Churchill Livingstone, New York 1988. p.39. Turan I. Correlation between hallux valgus angle and age. J Foot Surg 1990; 29:327. Nix S, Smith M, Vicenzino B. Prevalence of hallux valgus in the general population: a systematic review and meta-analysis. J Foot Ankle Res 2010; 3:21. SHINE IB. INCIDENCE OF HALLUX VALGUS IN A PARTIALLY SHOE-WEARING COMMUNITY. Br Med J 1965; 1:1648. Maclennan R. Prevalence of hallux valgus in a neolithic New Guinea population. Lancet 1966; 1:1398. SIM-FOOK L, HODGSON AR. A comparison of foot forms among the non-shoe and shoe-wearing Chinese population. J Bone Joint Surg Am 1958; 40-A:1058. Wilson DW. Hallux valgus and rigidus. In: The Foot, Helal B, Wilson D (Eds), Churchill Livingstone, New York 1988. Vol 1, p.411. Nix SE, Vicenzino BT, Collins NJ, Smith MD. Characteristics of foot structure and footwear associated with hallux valgus: a systematic review. Osteoarthritis Cartilage 2012; 20:1059. Root ML, Orien WP, Weed JH. Forefoot deformity caused by abnormal subtalar joint pronation. In: Normal and Abnormal Functions of the Foot, Clinical Biomechanics, Root ML, Orien WP, Weed JH (Eds), Clinical Biomechanics Corporation, Los Angeles 1977. Vol 2, p.376. La Reaux RL, Lee BR. Metatarsus adductus and hallux abducto valgus: their correlation. J Foot Surg 1987; 26:304. Griffiths TA, Palladino SJ. Metatarsus adductus and selected radiographic measurements of the first ray in normal feet. J Am Podiatr Med Assoc 1992; 82:616. Faber FW, Kleinrensink GJ, Verhoog MW, et al. Mobility of the first tarsometatarsal joint in relation to hallux valgus deformity: anatomical and biomechanical aspects. Foot Ankle Int 1999; 20:651. Fritz GR, Prieskorn D. First metatarsocuneiform motion: a radiographic and statistical analysis. Foot Ankle Int 1995; 16:117. Ferrari J, Malone-Lee J. The shape of the metatarsal head as a cause of hallux abductovalgus. Foot Ankle Int 2002; 23:236. Cralley JC, McGonagle W, Fitch K. The role of adductor hallucis in bunion deformity: Part I. J Am Podiatry Assoc 1976; 66:910. Bozant JG, Serletic DR, Phillips RD. Tibialis posterior tendon associated with hallux abducto valgus. A preliminary study. J Am Podiatr Med Assoc 1994; 84:19. Carl A, Ross S, Evanski P, Waugh T. Hypermobility in hallux valgus. Foot Ankle 1988; 8:264. Haas C, Kladny B, Lott S, et al. [Progression of foot deformities in rheumatoid arthritis--a radiologic follow-up study over 5 years]. Z Rheumatol 1999; 58:351. Jahss M. Disorders of the hallux and first ray. In: Disorders of the Foot and Ankle: Medical and Surgical Management, Jahss M (Ed), Saunders and Company, Philadelphia 1991. p.946. Haas M. Radiographic and biomechanical consideratiosn of bunion surgery. In: Textbook of Bunion Surgery, Gerbert J, Sokoloff T (Eds), Futura Publishing, New York 1981. p.55. Rosen JS, Grady JF. Neuritic bunion syndrome. J Am Podiatr Med Assoc 1986; 76:641. Nix SE, Vicenzino BT, Collins NJ, Smith MD. Gait parameters associated with hallux valgus: a systematic review. J Foot Ankle Res 2013; 6:9. Galica AM, Hagedorn TJ, Dufour AB, et al. Hallux valgus and plantar pressure loading: the Framingham foot study. J Foot Ankle Res 2013; 6:42. Vanore JV, Christensen JC, Kravitz SR, et al. Diagnosis and treatment of first metatarsophalangeal joint disorders. Section 1: Hallux valgus. J Foot Ankle Surg 2003; 42:112. Ferrari J, Higgins JP, Prior TD. Interventions for treating hallux valgus (abductovalgus) and bunions. Cochrane Database Syst Rev 2004; :CD000964. Budiman-Mak E, Conrad KJ, Roach KE, et al. Can foot orthoses prevent hallux valgus deformity in rheumatoid arthritis? A randomized clinical trial. J Clin Rheumatol 1995; 1:313. Torkki M, Malmivaara A, Seitsalo S, et al. Surgery vs orthosis vs watchful waiting for hallux valgus: a randomized controlled trial. JAMA 2001; 285:2474.