
超详细,不容错过奥!
来源|医学界消化频道
作者|丁翔 周刚 谌林杰 何林方 陈卫星(岳阳市一人民医院消化内科)
所谓pit pattern分型是指:用放大内镜观察腺管开口部的形态(即pit形态),从而诊断肿瘤与非肿瘤并进一步对癌的浸润深度等进行判断的诊断方法。

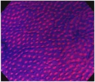
图1a.大家最常见到的pit pattern诊断图谱

图1b.根据pit推测病理诊断及判断浸润深度。
一:什么是pit?

图2a:正常的粘膜构造,说明pit是内部结构的外在体现。

图2b:正常的单个腺管三维结构。
“pit”是指大肠粘膜腺凹的开口部分(图2a,b),是粘膜的表面结构。这是全面理解pit pattern分型的基石。
二:为什么pit pattern能推测病理诊断。

图3a-b:pit的组织像(模式图)

图c-g:依次为II型、IIIL型、IIIs型 、IV型、V型pit pattern与单个腺管三维结构。
图中可以看到,腺管结构在疾病因素的作用下发生变化,进而导致表面腺管开口的形态(pit)产生特定的变化。工藤用pit pattern分型将这种变化归为5类,使之能够很好的与病理组织学诊断相互对应。从而通过内镜观察肠道肿块粘膜的表面达到接近显微镜下病理诊断的结果。
三:各型pit pattern详解。

图4a:I型pit:圆形pit。
正常组织中,从凹陷表面观察通常为圆形pit。

图4b:II型pit:星芒状pit。
粘膜组织增生后,病理学上pit pattern会形成锯齿状改变,从水平断面观察可看到类似星星一样的星芒状。

图4c:IIIL型pit:管状pit。
形成肿瘤性病变以后,上皮出现腺管与腺管融合性改变,可以回看图3d,理解为3个腺管融合为1个,形成了纵行的开口,表面观察成管状。

图4d:IIIs型pit:小型类圆形pit。
全层范围内出现短的单一腺管发育构造,呈现出小类圆形pit。

图4e:IV型pit:树枝状或脑回状pit
上皮形成绒毛状增殖的时候,腺凹变得十分模糊,从表面很难观察到开口部,此时只能观察到绒毛与绒毛之间的缝隙,这种构造呈树枝状或脑回状。

图4f:V1型pit:仍能观察到pit(与Vn鉴别),但排列紊乱,形状不规则
在黏膜内确认出现癌腺管后,pit排列出现紊乱,并且变得不规则。

图4g:Vn型pit:无pit结构。
随着癌腺管从粘膜层向粘膜下层浸润,粘膜层的构造被破坏,黏膜下层露出于表面,黏膜下层露出处,能够见到明显的间质反应(间质反应在组织学上是由富含纤维母细胞和毛细血管的纤维增生而来)。在间质反应的情况下,病变表面的肿瘤成分遭到破坏,而间质成分露于表面,pit基本上就观察不到了。
四:普通内镜能否观察pit pattern分型?
很多同道同笔者一样,在基层医院并没有配备足够数量的放大内镜,仅在普通的肠镜检查中发现病变,那么普通内镜能不能用来观察pit呢?答案是可以的。但是普通内镜观察pit有其局限性。所以我们要了解使用普通内镜能够诊断到什么程度是非常重要的。
总的来说,普通内镜下能够准确的区别I型、IIIL型、IV型的pit pattern图像。也就是说,即使不用放大内镜也能够充分的进行肿瘤和非肿瘤的鉴别或管状腺瘤、绒毛状腺瘤等诊断。但在I型和II型的鉴别、IIIS型、V1及Vn型的诊断方面,如果没有放大内镜的协助,可能存在困难。笔者认为对于典型的V型pit也可以做出大致的推测,但诊断正确率可能与内镜医师的经验有关,需要结合组织的形态、大小、有无凹陷、有无颜色差异以及有无各种凸凹,并结合CP分型来综合考量(图5—普通观察下sm癌的特征)。

普通观察时,1.首先需要用水冲洗病灶表面,去除黏液(有些病灶用水泵冲洗后容易出血,影响观察视野,这时,可以将水柱对准正常粘膜,用水的流动性来冲刷病灶表面,黏液较厚时,可加入蛋白酶)。2.喷洒色素:使用0.2%的靛胭脂染色,可以清楚的观察病灶表面的凹凸不整,有无凹陷,及观察病灶的界限。(现在很多的同道能使用色素内镜,可以通过调节参数达到同样的染色效果,节约了检查时间。)3.必要时可将肠腔内注满蒸馏水,将病灶浸没在水中再观察(前提是有色素内镜),可以达到一定的放大效果。
六:实例演示(拍照技术有限,不喜勿喷)

图6a:距肛门3cm可见一直径约4cm隆起,占肠腔1/2,表面粗糙,溃烂。使用蒸馏水对病灶表面冲洗去除黏液,可见病灶表面无构造(无pit)区域或构造紊乱,可初步判定为V型pit。

图6b:观察病灶顶端,仍见无构造区域。依旧考虑V型pit。且病灶位于直肠,病灶表面可见白斑,病灶表面凹凸不平,均提示sm癌浸润可能性大(参考图5),建议外科手术。
后患者就诊于肛肠外科行手术治疗,病理示:1.(直肠)中分化腺癌,部分为粘液腺癌(肿块一个5×4×1.5cm,菜花状),侵及全层,(远、近断端)未见癌,(肠旁)淋巴结见癌转移(12/12)。

图7a:距肛门12cm可见带蒂息肉,直径约1.5cm。用水清洗病灶表面去除黏液。首先我们可以肯定的是表面存在pit。放大2倍观察,初步认为病灶表面pit(白色线状)成脑回状或树枝分叉。此时需与V1型pit相鉴别。V1型pit极度不规则,大小不等,形状不一(可参考图4f)。故认为IV型pit可能性大。

图7b:此图左侧可见息肉蒂表面pit,呈类圆形,由于无法放大观察,I型与II型pit无法鉴别(星芒状pit非放大情况下仍可能为类圆形),但至少可以判定为非腺瘤性病变。另:笔者并未使用zoom放大功能,此图为浸水后观察病灶,仍能清楚的观察到病灶表面的pit(放在水中的筷子会变大)。
病理回示:(直肠)腺瘤性息肉,小灶呈中-重度不典型增生。
本文的图片及理论来源于《大肠pit pattern诊断图谱》---工藤进英。并感谢张惠晶老师的翻译。该书浅显易懂的向内镜同行介绍了pit-pattern诊断图谱这样一个有用的工具,希望有兴趣的同行可以认真阅读。本文的写就,感谢陈卫星主任及内镜中心各位医生护士的指导帮助。