44岁的刘大姐来自湖南株洲的一个农村,2000年上了“T型”节育环,2008年做透视检查时,发现节育环不在子宫内,由于没有其它不适症状,自认为节育环已经自然脱出体外,也就没有在意。
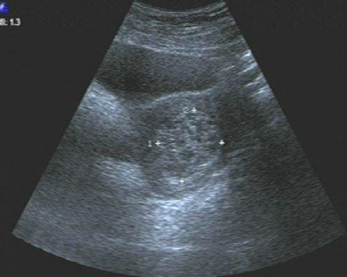
直到最近,刘大姐感下腹部疼痛不适,近日疼痛症状加重,便来到医院就诊。通过检查发现,她子宫内的“T型”节育环已经移位到了膀胱,并在膀胱“产子”——膀胱结石,原来疼痛是由于膀胱结石引起。

泌尿外科医生为其做了“膀胱切开取石”手术,取出一“鸡蛋”大小的石头,切开石头一看节育环就藏在里头。株洲市中心医院妇科副主任徐琼表示,宫内节育环有“服役期”,放环后并非一劳永逸,还需要节育妇女定期到医院检查,如发现异常要及时处理,否则节育环可能“移居”而造成严重后果。

徐琼介绍,上环是我国一种简便有效的避孕工具,有的一放就是10多年,直到绝经后才取出。因为子宫肌肉会不断收缩,若环型号不合适或遭受外力冲击,有可能会导致它离开子宫腔,不仅起不到避孕的作用,还可能引起节育妇女尿频、尿急、不规则出血、腹痛等其他病痛,影响女性的身心健康。
由于子宫绝经后会慢慢缩小,可能会造成取环困难的情况,建议在绝经半年后及时取出,以免造成穿孔。
徐琼提醒女性朋友,上节育环后要定期透环检查,如果节育环不在子宫内,也不能掉以轻心,要进一步做拍片、B超等检查,以确定节育环的位置。

若有流血、血尿、腹痛等不适症状时,应及时到医院就诊。据统计,株洲市中心医院妇科每年都收到数十例节育环穿出子宫,侵入大网膜、腹膜肠管、膀胱等器官里的案例,需经微创腹腔镜或开腹手术取出。
温馨提示:
女性若要上节育环,首先要到正规医院在医生指导下选择适合自己的型号,在上环前三天和后七天禁止*生活性**。

建议术后3个月到医院做透视检查,随后每年要定期做一次B超监测,如果发现移位,必须及时取出。另外,若女性处于急性炎症期或患有子宫畸形、子宫瘤、重度宫颈糜烂、出血性疾病等,建议暂不上环。
(头条号特约专家:株洲市中心医院妇科主任医师 徐琼)