
导语
肺曲霉病是由曲霉属引起的真菌病,通常是烟曲霉、黄曲霉和黑曲霉,这三种真菌是最常报道的人类机会性感染的病原体。
肺曲霉病的经典类型有5类:腐生曲霉病、半侵袭性或慢性坏死性曲霉病、过敏性支气管肺曲霉菌病、气道侵袭性曲霉病、血管侵袭性曲霉病。但这些类型中,仅两种以慢性肺实变作为主要和突出特征:半侵袭性或慢性坏死性曲霉病和血管侵袭性曲霉病。
半侵袭性或慢性坏死性曲霉病
这种类型的肺曲霉病常见于慢性消耗性疾病,慢阻肺,营养不良,酒精中毒,糖尿病和免疫抑制的患者。最常见的症状是慢性咳嗽、全身症状和轻度发热。这些都是非特异性的,并可能持续数周或数月。15%的患者有咯血。
影像学特征包括肺段实变可能是双侧的。可能表现空洞和胸膜增厚。多发结节可能与实变相关。

图1 一例酗酒和营养不良患者右肺慢性实变的进展。半侵袭性曲霉病
最终的诊断还需曲霉菌感染的证据,以及存在组织坏死和肉芽肿炎症。
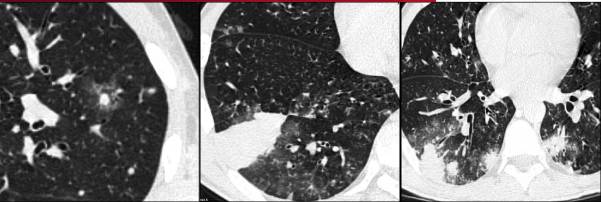
血管侵袭性曲霉病
血管侵袭性曲霉病几乎全部见于免疫功能低下的患者,如严重中性粒细胞减少症患者、化疗中的肿瘤患者、异基因骨髓移植患者。
血管侵袭性曲霉病的症状与曲霉病的其他慢性类型相似,无特异性。高度怀疑时需尽快诊断以减少病死率。
CT表现为大小不一的结节被磨玻璃衰减影(“晕征”)环绕,以胸膜为基底的楔形实变。
晕征是指环绕实性结节或肿块的磨玻璃衰减区。这种表述来自于病理学结果,实性部分代表梗死区域,围绕的磨玻璃边缘来自于肺泡出血。疾病早期,出现晕征的可能性较高,随着时间的推移,可能会逐渐减少。

图2 骨髓移植患者的双侧肺外周实变 “晕征”。血管侵袭性曲霉病
外周实变代表存在继发于曲霉侵袭导致的远端肺血管堵塞的梗死区。

图3 骨髓移植患者双侧肺结节和实变,伴GGO。右图显示治疗后吸收良好。血管侵袭性曲霉病
恢复期(开始治疗后的2~3周,诊断早期意义不大)常见的另一个影像征象是空气新月征,来自于毗邻肺实质坏死肺碎片分离。

图4 曲霉病治疗后,肺内病灶的自然进程。第4张图可见空气新月征
通常不需组织学确诊。嗜中性粒细胞减少症患者有典型影像学特征伴发热,足以考虑开始抗真菌治疗。
