“我喜欢别人给她的称号,我和其他人一样,有很多事情想做。我想做一名女演员,做一位公主,尝试很多事情。”
2009年,《奥普拉脱口秀》节目组请来了两对特殊的家庭。
在当年红极一时的脱口秀女王奥普拉身旁,两对父母带着他们的孩子静*坐静**在沙发上,偶尔视线相撞,彼此对视的眼神中,好奇之色难掩。
与大人们的矜持礼貌不同,虽然是人生中第一次参加电视节目,面对着令人紧张的镜头,年仅10岁的女孩希洛却表现得落落大方,骄傲地向主持人诉说了她的梦想。
主持人宣布节目进行到自由对话环节后,迫不及待的她便与身旁年龄相仿的Tiffany交流了起来:
“分腿手术后生活会变得容易些吗?”
“肾移植手术,真的很疼吗? ”
如果不是拉远的镜头暴露出女孩希洛与众不同的粘连四肢,如果不是她们的谈话内容太过现实残酷,任凭谁也想象不到,眼前这几个天真灿烂的孩子 双腿竟然如同鱼尾一般。
童话中美人鱼的故事让无数人好奇:美人鱼是否真实存在?
而希洛就像一条真实的美人鱼。她的“鱼尾”,在医学上被称为美人鱼综合征。
那么,“美人鱼综合征”究竟是什么?
作为唯一一个还未接受分腿手术的罕见病患者,女孩希洛笑意盈盈的背后,又藏着什么样的故事?

(女孩希洛)
闯过医生存活期限的罕见病女孩
在美国缅因州的街道上,散步的人们常常会看到这样的景象:
一对再平常不过的父母,正看着自己的孩子在公园里愉快地玩耍。
然而让人意外的是,这个看起来乐观开朗的孩子,并没有生长出如常人一样的健全的下肢。

(女孩希洛)
面对路人疑惑的侧目,女孩希洛的父母早已经见怪不怪,甚至并不在意路人探寻的目光会伤害到孩子敏感脆弱的内心。
因为对于她们来说,女孩希洛的坚强生命与开朗性格,就已经是已为人父母的她们所收到的最好礼物。
时间回到1999年,刚出生的女孩希洛,情况并不乐观。
完成接生任务的医生,突然发现女孩希洛的躯干有着非常明显的下肢畸形问题。
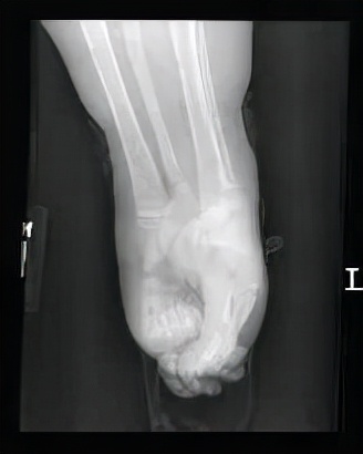
从大腿内侧开始,女孩希洛的下肢便已经出现粘连,一直延续到了脚底。
畸形的粘连将婴儿的下肢完全裹在了一起,连同无法分开的双侧脚趾,缠绕成了童话中美人鱼的模样。
不仅如此,女孩希洛的体重更是跌到了极限。
正常婴儿的体重都在4-8斤之间,而刚出生的她,体重却仅仅为2.9斤。
不用医生多言,见到孩子的第一眼,女孩希洛的父母就明白,她们的孩子患上了非常严重的先天疾病。
经过进一步的检查,医生发现女孩希洛身上存在着多处重要脏器缺失的问题。膀胱、子宫、大肠,统统不见踪影,而承担解毒功能的肾脏,也缺失了大半。

(女孩希洛)
这并不是一个好现象。
作为极为罕见的先天性疾病,女孩希洛患上的这种被称作“美人鱼综合征”的怪病,一直都伴随着其他器官不同程度的缺失,致死率颇高。
而由于失去了阴道穹窿和直肠,没有排泄出口、尿液无法排出体外的女孩希洛,很有可能会因为各种可能存在的感染离开人世。
为了减轻她的痛苦,医生向女孩希洛的父母表示,从世界上已有的临床病例来看,患有“美人鱼综合征”的患者,存活期都极短,作为医生,他们并不建议再采取任何治疗手段。
“她活不过三天。”
面对医生充满惋惜的病情宣告,女孩希洛的父母崩溃不已。他们怎么都想不到,产检时对其还抱有一丝健康幻想的女孩希洛,一出生就被判了死刑。
命运的翻云覆雨面前,凡人的喜怒哀乐都太过随机。
等情绪稍稍平复一点,重新找回思绪的女孩希洛父母向医生表示,无论如何,她们都希望能够尽可能地延长孩子的生命周期,让女孩希洛能多看几眼这个漂亮的世界。
或许是父母的坚持给了女孩希洛睁开眼睛的勇气,又或者是女孩希洛生来就拥有笑对困境的能量,时间一点一滴的消逝中,逐渐长大的女孩希洛竟闯过了医生所预言的存活期限。

(女孩希洛)
不仅如此,面对自己与旁人大相径庭的身体,有了自我意识的女孩希洛也并未表现出丝毫的难过与自卑,即使要克服生活中的种种不适,她也永远都是一副笑着的模样。
在这个夺走无数人鲜活生命的“美人鱼综合征”面前,可爱讨喜的女孩希洛无疑是千万分之一的幸运儿。
坚强乐观,笑着摇摆“尾巴”的蝴蝶天使
在希洛的父母眼里,自己的女儿身上仿佛有着源源不断的快乐能量。
由于身体重要脏器缺失,导致基本的泌尿系统及内分泌系统都存在着不同程度的损伤,所以从生下来的那刻起,女孩希洛便不得不做起了手术室里的常客。

在其他孩子都安安稳稳待在父母怀中的年纪,她便已经习惯面对各式各样的冰冷仪器。
她那双生就澄澈漆黑的大眼睛,仿佛能将世界赠与的一切苦难全部过滤,眼神灵动得如同幸福无忧的公主。
直到8岁时,女孩希洛就已经接受了包括肾脏移植在内的大大小小近150场手术,掀开衣服,医疗创伤几乎布满了全身。
年纪稍微大一些后,她便逐渐理解了自己的与众不同,知道从小与其他小朋友不同的自己,所拥有的生命时光全部都是靠手术“偷”来的。
无论是被推进手术室,还是术后让人揪心的换药环节,女孩希洛都没叫过一声苦。
为了能给女孩希洛更好的童年,她的父亲更是专门辞去了工作,一心在家中陪伴着女孩希洛玩耍,勉力忍住内心的悲伤,尽量留给她作为正常人的尊严。
而面对父母心疼的目光,女孩希洛却像是无师自通一般,脸上时常挂着微笑,表示自己活这么大已属不易,如果哪天不幸去世了,希望父母不要为自己感到伤心。
小小年纪,她就已经将生离死别看得透彻,将自己的生死抛到了一旁,没有情绪崩溃,没有自暴自弃,反而承担起了安慰父母的工作。

(女孩希洛)
等撑过医生预言的一个又一个危险期后,女孩希洛渐渐喜欢上了屋子外面的世界。
一开始,她的父母还曾担心,女孩希洛另类的外形会不会让她自卑起来,甚至因此受到同龄人的欺负。
但随着女孩希洛与外界的逐渐亲近,她们发现自己原先的担心完全是杞人忧天。
粘连在一起的下肢,虽然给女孩希洛的生活带来了诸多不便,但分毫没有拉下她习惯性上扬的嘴角。
一段时间后,刚刚习惯了走出家门的女孩希洛便迅速结交到了一群小伙伴。
第一次收获友情的感觉,让女孩希洛的内心感到非常愉悦。
面对这个处处让她十分好奇的新世界,她甚至向父母表示,希望能和正常孩子一样,进入学校学习。
为了证明自己的能力,女孩希洛自己学会了起床、洗漱、吃饭、穿衣等生活技能,坐在轮椅上的她,几乎与健全人无异。
就这样,经过父母的多方协调,女孩希洛最终如愿拿到了一所学校的入学资格,这让她快乐极了。
来到一个全新的知识世界,女孩希洛调动全部感官细胞,贪婪地享受着自由平等的空气。

(女孩希洛)
和其他同学相处时,体型的怪异并没有让这个爱笑的女孩变得内向害羞,凭借着心中的乐观宇宙,女孩希洛毫无违和感地融入了人群,成为了学生团体里的开心果。
“所有的孩子都喜欢她,她就像是孩子们的行为榜样一样。”
或许是已经遭遇了命运的锤炼,女孩希洛对身边的一切都好奇不已。
懂事、乐观、喜欢挑战,这是她的同学们有关于她的一致印象。
又因为父母的贴心培养,女孩希洛身上全然不见被宠坏的骄纵,她大方地与同学表达交流,甚至当起了学生中的“小大人”,温和有礼的处事方式,得到了老师与同学的无限喜爱。
需要静下心来的时候,色彩缤纷的故事书就成了女孩希洛的最爱。
与周围吵吵闹闹不肯乖乖做好的同龄人不同,只要一拿起书本,欢脱开朗的女孩希洛就如同换了一个人一般。

(女孩希洛)
被问起缘由时,女孩希洛解释,自己非常向往书本上色彩斑斓的世界,书里发生的故事温馨而动人,会给自己带来很多快乐和勇气。
不仅如此,她还大方表示,自己最喜欢的动物就是蝴蝶:
生来就有美貌的外表,还不会受到自然的拘束,自由地享受着飞翔的快乐。
而除去安静的阅读时刻,户外忘情的玩乐,也是女孩希洛的最爱。
上到5年级时,学校新开了门游泳课,这让女孩希洛非常兴奋。

(女孩希洛)
与同龄人不同,因为从小接受治疗,完全被打乱的激素分泌让她的体型越来越胖。
再加上完全没有分开的下肢,她的游泳学习难度,远远高出其他正常同学。
但是,女孩希洛却并没有被摆在眼前的危险吓退。没有办法在学校里跟上进度,回家后的她就在爸爸的帮助下苦练起了游泳。
在身边的人看来,身有残疾的女孩希洛会对游泳格外排斥。但是,女孩希洛却以自己的实际行动证明了自己的大心脏。
逐渐熟悉游泳后,她发现,自己竟爱上了在水中沉浮的感觉。没有了双腿,她宛若人鱼般的下肢也被训练得异常灵活。
在水中肆意玩耍时,她的“尾巴”轻拍水面,水花快活四溅,女孩希洛像极了人间精灵。
优美的芭蕾,更让女孩希洛着迷不已。在这一点上,她与其他爱美的小女孩无异。
将喜欢的发卡别在头发上,再在指甲上涂上鲜艳的颜色,舞房中的女孩希洛,丝毫不吝啬表达对舞蹈的喜爱之情。
在舞蹈中寄托情感,再被舞蹈之美治愈心灵。
从不服输的女孩希洛,不仅从不缺席舞蹈课,还大胆地报名了学校的舞蹈表演,希望能在台前绽放自己的美丽。

(女孩希洛)
节目预演时,即使下肢被束缚,无法同其他人那般翩然起舞,但坐在舞台中央,跟随着音乐节奏不断摆动自己身体的女孩希洛,仍旧赢得了众人发自内心的夸赞。
她的乐观开朗,深深地感动了周围的亲友。她们将女孩希洛称作“美人鱼女孩”“蝴蝶天使”,希望能永远留住她脸上的开朗笑容。
登上新闻被人熟知,“美人鱼女孩”迎来病友
条件允许时,女孩希洛的父母会带着她到周围的地区游玩解闷,和亲友一起,在不同的地方烧烤、聚会,尽量让女儿的眼睛看到更多的世界。
去的地方多了,越来越多的人便了解到了这位“美人鱼女孩”的故事,大受感动的他们,纷纷做起了女孩希洛的宣传员,将她的快乐能量传递到更远的地方。
渐渐地,有新闻媒体注意到了女孩希洛一家。
他们用镜头记录下了一家三口的幸福生活,更将女孩希洛对生活的憧憬与热忱留在了视频中,希望能以此激励更多深陷低谷的人,也希望女孩希洛的病能迎来被治愈的契机。
2009年,红极一时的《奥普拉脱口秀》节目组注意到了这个乐观开朗的女孩,他们当即决定,以女孩希洛的故事为中心,做一期有关“美人鱼综合征”的特别节目。

(女孩希洛一家)
向女孩希洛一家发出做客邀请后,节目组还联系到了同样被“美人鱼综合征”困扰的罕见病患者Tiffany,试图以节目为载体,为她们提供一个沟通的平台。
也正是因此,女孩希洛与Tiffany有了相识的契机。
第一次遇到病友,女孩希洛忍不住好奇,不停的望着Tiffany已经分离开来的双腿,眼神里是止不住的羡慕。
虽同样患有“美人鱼综合征”,但Tiffany显然要幸运的多。1988年出生的她,在一岁的时候就接受了双腿分离手术,拥有了与正常人无异的双腿。同样经历过大大小小手术的她,侥幸躲开了死神的镰刀,成为了世界上存活时间最长的“美人鱼”。
但由于先天性的脏器缺失,双腿分离手术后的Tiffany,仍旧无法像正常人那样使用双腿行走,轮椅、拐杖,是她离不开的交通工具。
饶是如此,女孩希洛依然难掩羡慕之色。
等到自由交流环节,她将自己的疑问一股脑的抛给了身旁的Tiffany,希望能从她的经历里,找到一丝自己存活的可能。
而面对有着同样经历的小病友,正在等待接受肾脏移植手术的Tiffany,心中也藏着很多忧虑与害怕,希望女孩希洛能够帮忙解惑。
“其实也就这样而已。”
为了安抚紧张的病友,女孩希洛表示,肾移植手术前,自己同Tiffany一样,一度非常害怕过,但妈妈的鼓励,最终让她战胜了自己的恐惧,顺利完成了手术。

(女孩希洛)
对于自己无法接受双腿分离手术的现实,她同样表现得非常淡定。早在她2岁时,父母就曾计划为她预约手术,尽量提高她的生活质量。
但让人感到遗憾的是,由于女孩希洛的下肢血管分布不规律,且肾脏位置特殊,医生们无法为她施行手术,否则她将会有生命危险。

“我一点都不想拥有两条腿,因为对自己现在的样子很满意。”
面对众人心疼的目光,女孩希洛的乐观情绪又再次发动,反而安慰起了抱歉不已的父母。
在她看来,身体上的缺陷并不能成为自己成长路上的障碍。有幸能得到修补缺陷的机会固然好,但对于现在的她来说,一条腿的日子过得也不错。
节目的最后,女孩希洛更是骄傲的表示,自己想要做的事情还有很多。
“我想做一个女演员,一个公主,尝试任何的事情。”
她的乐观自信,大大感染了在场的每一位观众。节目播出后,正能量的她也迎来了更多的关注与支持。
一位12岁的孩子就曾在社交网站上给女孩希洛留言,大赞其勇敢的内心与伟大的人格,更表示,希望能与她住的近一点,这样就能成为女孩希洛的朋友,与她一同玩耍。
因感冒引发肺炎感染,“蝴蝶天使”不幸离世
节目播出后不久,女孩希洛的母亲就在社交网站上发文,表示自己的女儿突然染上了感冒,已经被送往医院治疗。
一开始,网友们还会在女孩希洛的社交平台上留言,希望这个快乐自信的小姑娘能够好转起来,继续在这个世界上散发无尽的能量。

(女孩希洛)
但随着时间一点点过去,女孩希洛的病情却急转直下,来到了生与死的交口。
对于患有“美人鱼综合征”的病人来说,由于先天脏器缺失,她们抵抗病毒与风险的能力比普通人更差,稍有不慎,再渺小的轻咳也能引发机体内的一场海啸。
而年仅10岁的女孩希洛,此时无疑遇到了自己生命中最大的一场海啸。
半个多月后,噩耗传来,那个脸上时常挂着微笑,浑身充满快乐能量的女孩希洛,终究不敌恶魔的铁爪,永远离开了这个让她留恋非常的现实世界。
面对网友们的哀悼,女孩希洛的父亲出面感谢,直言网友们帮助女孩希洛留住了完美的童年生活。
“女孩希洛赐给我们的比我们送给她的要多得多。”
为了纪念女孩希洛,她的父母将她与同样夭折的姐姐葬在了一处,希望她们能彼此陪伴,不再孤单。

而在女孩希洛的墓碑上,数只鲜艳的蝴蝶被镌刻地栩栩如生,连同身后郁郁葱葱的草地树木,一同构建出了世人对女孩希洛最动情的怀念。
结语
《搜神记》中载:“南海之外有鲛人,水居如鱼,不废织绩。”
在远古神话中,美人鱼向来被赋予爱与美的完美定义,这种仅存在于神话传说中的物种,寄托着先人对理想与爱的无限遐想。
但在现实中,“美人鱼综合征”却与童话背道而驰,将人类的美好感情摧毁殆尽。
对于女孩希洛而言,没能长长久久陪伴在父母身边,享受正常人的幸福人生,她的一生固然不幸;
但她的乐观与善良,却未尝不是苦难人生中的一味解药,照亮了自己的心门,也让亲人的眉头舒展。她的积极向上和大方自信,在病痛中一路生花,将带着她最美好的憧憬与祝愿,永远的留在了人们的心中。