
Miss Young今天早上不是被梦想叫醒的,是被吓醒的···
这是谁?

是谁?

谁?

?

Miss Young记得少女感爆棚的林允妹纸貌似是长这样的?


什么时候和韦唯撞脸了?


和同台的姚晨也有点撞脸···

反正就是和以前的自己怎么都不太像。

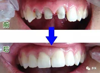
Miss Young猛然想起前段时间有媒体爆料她去整牙了。





所以她是整牙,然后就变成我们看见的这样了?

看爆料和现在的图片,妹纸貌似是做了烤瓷牙啊,先不说这医院的人爆料病人隐私没有医德,妹纸这牙做得··· 嗯,挺白!挺齐!但是为啥看起来这么怪?少女感呢?纯真感呢?

该神探Miss Young上场了!为啥看起来怪Miss Young一会儿来给大家分析。先给大家看看林允之前的牙齿,牙黄、不齐,所以她选择去做牙其实是对的。

但是··· 医生好像除了医德不过关··· 技术也不过关··· 一不小心给做大了···

大到自然状态下嘴巴都有点闭不上···

看久了有点魔怔···


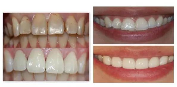
烤瓷牙,简单来说就是将牙齿外表面均匀磨除一层(约1.0-1.5mm)后,然后用专用的材料将整个牙齿覆盖,恢复牙齿外形、功能和美观。

烤瓷牙的适用范围广,如牙列不整齐,牙缝过宽、断牙、缺牙、四环素牙、牙釉质发育不全、畸形牙等。

做得好的就像下图,术后牙缝消失,牙齿变得洁白整齐。

在明星中,很多人都做过。





可是爆料出来的图片,林允的牙齿好像没有磨掉的像图片那么多唉。
原本的牙齿。

磨牙后。

加上从林允妹纸今天的微博说她已经拿下来了,Miss Young觉得林允做的是牙贴面而不是传统烤瓷牙。瓷贴面简单来说就是将特定的材料贴附在我们的牙齿表面,效果与烤瓷牙一致,且需要磨掉的牙齿少。

差别大概就是下面这样。

相比较传统烤瓷牙,这种牙贴面更适合牙齿没有大毛病,只想更美观的同学。

不管做的是牙贴面还是传统烤瓷牙,原理和最终目的都是一样的。可是,别的明星做牙明明都是越来越好看,到了wuli林允这里为啥就这样了?

其实她并不是一个人。撕聪的ex张予曦就在去年也遇到过这个问题。

不过她的厚是因为她本身没有磨掉牙齿,直接往上贴肯定会厚。

但是林允这是很明显的有磨掉啊!


所以这位医生··· 你到底是给人家贴了多厚···



啊哦,说完这个问题,新的问题又出现了。同样是贴厚了,张予曦那两个月的照片也就是嘴稍微有点鼓,其他部位并没有影响,如果她不说都没人看出来她贴了牙。(左边没有贴,右边有)

所以林允是为什么动个牙哪儿都不对劲了?
问题最关键的部分不在牙啊,朋友们~ 大家觉得她像换个人,看起来老了十岁的最重要原因:苹果肌填充!

来看看去年和今年美人鱼活动上同角度的照片对比。

这张按道理来说,左边笑的更厉害应该苹果肌更明显,可事实相反。

而且你们看她的眼睛底下,原本那个地方是平的,现在那里是鼓的。人的脂肪会随着年纪增大而流失Miss Young知道,可是平的地方会鼓起来是因为什么呢?

这两张法令纹稍微浅了一点,但是苹果肌高耸,且分界线异常清晰。

对比以前笑起来苹果肌是淡淡的。

可是Miss Young,苹果肌填充不是减龄的吗?脸变饱满了应该变得更少女感才是啊。别急,你们先看下面的图,林允妹纸原本因为苹果肌不够饱满,所以面无表情的时候脸异常的平。

还记得鼻翼基底在哪儿的吧?郑爽的整形医生犯了一个大错误! 所以再看上面的图,林允原本的鼻翼基底就有略微的凹陷,也就是有轻微的法令纹。


可是因为之前苹果肌也比较薄,不会形成鲜明的高低落差,法令纹就很淡。

可现在不知道是不是和爽妹遇到了同一个医生,给苹果肌拼命的填充,鼻翼基底置之不理。后果就是显得鼻翼基底更凹,法令纹更重。

而且,不知道是不医生发现了。唉,为啥越填越显老,可能是苹果肌还不够饱满吧,那再加一支玻尿酸。于是,我们原本苹果肌薄到可以忽略的少女允变成了下面的样子···· 笑起来膨胀的苹果肌已经开始对眼睛产生了挤压感···

导致不笑只说话鼻唇沟也无比的显眼。

而同场活动的一张粉丝po图,因为法令纹p浅,是不是顿时又显得年轻了很多?

所以,大家一定要记住,如果原本就鼻翼基底低,盲目的填充苹果肌很可能会让你的鼻唇沟更深,和林允一样情况的还有下图的黄灿灿。

所以Miss Young~ 这么说牙是无辜的?
不是。来看对比,左边是以前,嘴唇比右边更厚,同时左边人中更短。这是因为牙齿变大,为了覆盖住更大面积的牙齿,嘴唇被拉薄,同时人中随着被拉长。嘴巴变薄和人中变长是衰老的自然特征Miss Young说过很多次了不用再重复了哈。


而且,牙齿变厚,嘴巴自然会变得突出一点,就会更显得脸上凹陷的地方更凹,比如鼻唇沟,真是···

所以最后Miss Young想跟大家嗦,不管做什么项目,大的小的,都需要综合来考量啊。

Ps:其实Miss Young觉得她的额头也有点变化。

所以侧面的眉骨变高,眼窝变深。但是不能百分百确定,所以此处存疑,你们觉得呢?

