武汉晚报讯(记者魏旭平 通讯员丁群) 26岁的小洁(化名)腹部隆起如怀孕8月大小,导致她误认为自己怀孕。近日,因下腹胀痛不适,小洁(化名)来到武汉市黄陂区人民医院妇科就医,检查发现大肚子实为盆腔巨大囊肿,包块大小达18厘米。
武汉市黄陂区人民医院妇科主任刘海琳介绍,盆腔巨大囊肿可能会忽然破裂,导致出血、感染继而加重病情。同时,盆腔巨大囊肿长期压迫周围组织,影响到肠道、泌尿系统功能,长此以往可能出现大便困难、肾功能衰竭等,因此,需限期手术去除病灶,解除压迫,保护周围器官功能。

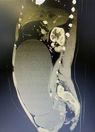
影像下,盆腔巨大囊肿导致患者腹部隆起。
在了解患者的需求后,考虑到患者对美观的要求较高,刘海琳带领团队充分评估患者的病情及手术风险后,决定施行单孔腹腔镜卵巢病损切除术。手术团队克服操作“0”角度、器械间相互干扰等困难,通过脐部自然腔道送入腹腔镜,抽出囊液约4000毫升,利用脐部天然瘢痕,完整剥除囊肿,保留输卵管及卵巢组织,对患者以后正常生育功能无影响。术后,小洁(化名)恢复迅速,当天就可下床活动,次日可进食,一周后拆线痊愈出院。

手术后,腹部切口基本被脐部褶皱遮盖。
“传统的腹腔镜手术方式是在腹壁上做3—4个很小的穿刺孔,会留下疤痕,影响美观。单孔腹腔镜切口一般只有2至3厘米,藏匿于脐孔窝内,缝合后,脐部褶皱基本可以遮盖切口,达到了无疤痕目的。”刘海琳介绍,在临床中,单孔腹腔镜下微创手术已在妇科常见手术如子宫切除术、子宫肌瘤剔除术、附件切除术、宫外孕等手术中得以广泛应用。
编辑:费吟梅