

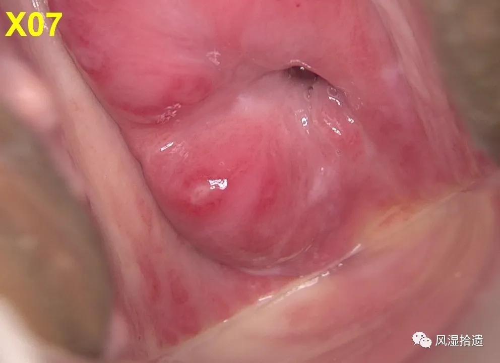
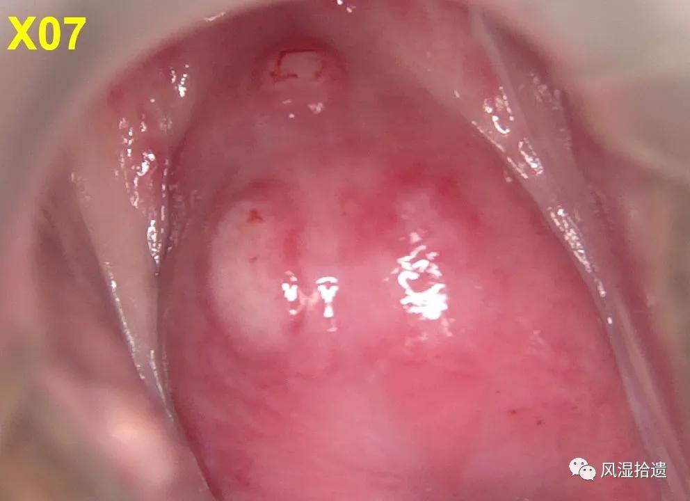
案例一 阴道镜检查后发现的白塞病
病史: 患者宋某某,女,46岁,因“阴道分泌物增多2月余”前往妇科就诊,行阴道镜检查发现阴道粘膜及宫颈散在多个溃疡面,追问病史,近10余年反复发生口腔溃疡,曾多处就诊,先后予口服维生素B2、六神丸、西瓜霜含片、口炎清等中成药以及中药汤剂(具体不详),外用口腔溃疡贴、复方氯己定漱口等治疗,疗效均不佳,反反复复,年发作10余次,十分苦恼。经妇科邀请风湿免疫科会诊,检查发现患者口腔黏膜散在白斑,结合阴道镜检查发现生殖器溃疡,无关节肿痛,无双手遇冷发白,无口干眼干,无皮疹及发热,符合白塞病分类标准,建议予口服沙利度胺25mg 1次/日 睡前服, 1周后患者诉口腔溃疡明显愈合。附阴道镜检查图:

阴道镜检查1

阴道镜检查2

阴道镜检查3
案例二 胃镜检查后发现的白塞病
病史: 患者陈某某,男,49岁,长期在建筑工地工作,因“上腹部及胸骨后胀痛不适3月余”到某院就诊,行胃镜检查发现食管多处溃疡性病变,呈长条形或椭圆形,覆盖白苔,病检:提示(食管)溃疡。追问病史,患者近10余年反复出现口腔溃疡,曾多处就诊,同前述患者一样先后予口服维生素B2、六神丸、西瓜霜含片、口炎清等中成药以及中药汤剂(具体不详),外用口腔溃疡贴、复方氯己定漱口等治疗,疗效均不佳,反反复复,年发作10余次,十分苦恼。结合病史,考虑为白塞病。附胃镜检查图片:


相关图文推荐:
反复口腔溃疡就是“上火”吗?白塞病知多少?
