前牙的形态、颜色、排列、以及是否缺失,对人的面部容貌影响很大。但由于其特殊的解剖位置和结构,在人受到撞击或摔倒时,极易遭到意外损伤。尤其是青少年的年轻恒牙,其牙根尚处于发育过程中,外伤后的活髓保存成为治疗的关键。在日常生活中上前牙外伤致病原因多见于体育运动,其次为骑车造成的交通事故。


前牙外伤依据严重程度不同分为以下三类:牙震荡、牙折、牙脱位。如果意外发生,患者需要尽快就诊,为活髓保存,牙体保存创造有利条件,外伤后就诊时间以在2-24h为宜。若在30min或2h以内就诊, 则为临床治疗创造了条件, 即使在24h以内就诊者,其治疗成功率也很高。保留牙齿断片或者是已经脱位的牙,如果不可能适时地再植入 。脱位牙应放入适当介质中,如牛奶、生理盐水。或口腔中保存,提高残存牙周细胞(存在于牙根周围的一层牙周膜中的主要细胞)的存活率,有利于牙周膜和根尖血液循环重建,保存牙髓活力和促进牙周膜生长。
如何进行有针对性的治疗?
1
牙震荡
牙齿震荡:牙齿震荡一般缺少临床症状或只有轻微症状,患者一般很少来就医,治疗时应嘱患2周内应使患牙休息,必要时降低咬合以减轻患牙负担,并应定期复查。若有牙髓坏死牙冠变色迹象时,应及时做根管治疗。
2
牙折
根据折断线的深浅和折断范围治疗有所不同

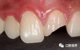
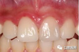
(1)如果仅仅是牙体最外层釉质损伤或者累及浅层牙本质,没有伤及牙髓,那么简单的磨除锐利边缘,缺损较明显者应修复牙冠外形,观察1至2周,X线检查无异常,可进行树脂修复。


(2)如果折断较多,已经损伤牙髓,这个时候便需要分情况治疗。A:青少年牙根未发育完成的年轻恒牙治疗重点在于尽可能保存活髓以诱导牙齿继续发育及根尖形成;B牙根已发育完成的恒牙可以直接进行根管治疗后再修复外观。
(3)根折 多发生在成人前牙,一般预后较差,主要取决于牙根折断部位和折断的两个断面是否接触紧密,牙齿是否稳固以及有无感染。
(4)冠根折 如折线不深于根长的1/3,则可通过修复的方法给以保留。如果是垂直折断,则只有拔牙啦。
3
牙脱位

多发生于儿童,如果是乳牙复位后松动或患儿不配合可以选择拔牙,并维持间隙;对于根尖未发育完成的年轻恒牙,因其特殊的解剖生理特点,抗感染能力较强,预后较好,但需注意脱位牙离体时间对牙髓保存影响很大,6小时以内绝大部分可以保存,24小时以内者尚可,24小时以后几乎不能保存。
此外,脱位牙还应有牢固的复位后固定,以消除创伤,促进愈合,常用方法有金属牙弓夹板、钢丝结扎、复合树脂或光固化复合树脂固定、固定矫治器固定等。

如果前牙外伤能够及时采取上述对症有效的治疗,活髓或患牙将可以保存, 并达到最佳的愈合效果。综上所述,前牙外伤将随着人们户外活动的增多,交通工具的日益发达而不断增多,再次强调患者及时就诊非常关键,医生处理时可根据外伤牙的就诊时间、临床表现、牙髓状况、患者年龄并结合"X线片给予综合诊断、治疗,从而达到最佳的美观和功能效果