
友 睦 医 生 专 栏
案例回顾 - 不可忽视的“六龄齿”
某天,一个小姑娘陪哥哥一起来看牙。
“牙齿替换得不错,很干净、整齐,还是记得吃糖后要仔细刷牙,养成好习惯哦!”我叮嘱小男孩。
小男孩从牙床上下来,他的妹妹凑过来充满好奇地问:“医生,我刷牙也很仔细的,那我什么时候才能和哥哥一样,长出所有的牙齿?”
“你今年几岁啦?张开嘴巴让医生看看。”“8岁!”她立马张开嘴巴。

此时我才发现,她右侧下颌的“六龄齿”没有长出来,而其他三颗早已正常萌出了……这个情况引起了我的注意,我提议给她拍张X光片。
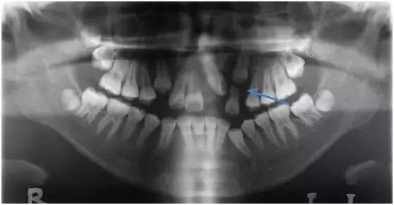
一看!果然右下“六龄齿”阻生(如图蓝色箭头处),我们向家长提出建议,必须进行早期治疗。

“小孩牙齿还没换完啊,为什么这颗“六龄齿”引起了你们的重点关注?”
相信不少家长也和这位小女孩的家长一样,会有相同的疑惑,让我们先来看看正常恒牙萌出时间表~

正常情况下恒牙是按照一定顺序、左右同名牙几乎同时成对萌出的。
儿童到了6周岁,在牙列的最后面即在第二乳磨牙的后面萌出的牙,就是第一恒磨牙,上下左右各有一颗。因其在6岁左右萌出,所以习惯称为“六龄齿”。

因此,“六龄齿”是不可替代的!
不少家长把“六龄齿”误认为是乳牙,以为可以替换,对其生长和龋坏不重视。

而且,“六龄齿”可谓劳苦功高!
“六龄齿”是恒牙列中最强壮的“大哥大”,位于整个牙弓的中部,成为牙弓的主要支柱,对于保持牙齿正常的排列、维持正确的咬合关系以及保证颌面部的正常发育都具有重要意义。
同时,“六龄齿”咀嚼能力最强,就像一个石磨,对研磨食物起到很大的作用。

了解了“六龄齿”重要性之后,我们再回头看看小姑娘的X光片。

从X光片可以看到,小姑娘右下阻生的“六龄齿”,它的对合牙没有咬合接触,已经开始伸长。(以蓝色线为对标,紫色箭头指向的右上对合“六龄齿”较长)

再不处理,会占据右下阻生“六龄齿”的萌出空间,将来矫正难度将明显增大。
那么除了关注“六龄牙”的生长情况,要想呵护小孩子在替牙期换出一口漂亮又整齐的牙齿,家长还应该注意哪些情况呢?
如果一侧牙齿已经萌出,另一侧同名牙却迟迟不长,就应该及时检查,因为孩子可能存在间隙不足、多生牙、含牙囊肿或局部解剖异常等等问题。
间隙不足
间隙不足最常见的原因是乳牙严重龋坏或早失。因此,乳牙因龋坏要及时充填恢复正常宽度,严重龋坏或外伤过早脱落时需要进行间隙保持,避免后牙前移占据间隙。

多生牙
多生牙常常占据正常恒牙的萌出道,正常恒牙无法萌出。如果不及时处理正常恒牙牙根发育的进程会受影响,出现牙根长度不足甚至形态异常。

因此,一旦出现多生牙,应及时拔除,并将受影响的牙齿牵引到位。

含牙囊肿
含牙囊肿内充满液体,并且随着时间的推移会逐渐增大,造成进展式骨破坏及损伤邻牙牙根(如图蓝色箭头处)。牙根受损的牙齿越到后期,往往难以治疗,甚至不得不拔除。

图:左上中切牙及尖牙的含牙囊肿
造成骨质缺失, 左上侧切牙牙根吸收
所以一旦发现含牙囊肿要及时手术刮除,并尽快将牙齿牵引助萌,避免囊肿复发。
局部解剖异常
局部解剖异常造成牙齿萌出受限在临床上比较少见,但治疗难度比较大,而且往往需要多学科配合。
下面这位患者就是因为上颌窦气化过于充分,窦底接近牙槽基骨的顶端(如图紫色箭头处),造成双尖牙区域牙槽基骨骨量不足,第二双尖牙无法正常萌出(如图蓝色箭头处)。

这种情况即使进行正畸治疗,也会因为局部骨量不足,出现第二双尖牙无法牵引到位或根周骨量不足的风险。
因此患者接受了上颌窦底提升植骨术,一年后牙槽基骨成骨充分,牙齿自行正位萌出。此时再进行正畸治疗,难度和风险将大大减小。

图:上颌窦底提升植骨术后一年
综上所述,替牙期的小朋友应该关注牙齿替换情况,如出现牙齿没有正常萌出的情况,一定要及时检查、及时治疗,才能替换出一口整齐漂亮健康的牙齿。
—END—
部分图片来源于网络
如有侵权请联系删除
—作者简介—

李 飒
Dr.Lisa Li
口腔正畸博士
· 口腔正畸资深专家/主任医师
· 北京大学口腔正畸学博士
· 英国爱丁堡皇家外科学院正畸专业院员
· 原暨南大学医院口腔正畸硕士研究生导师
· 韩国全南大学口腔医学院正畸科高级访问学者
擅长项目
各类错颌畸形的矫治 、无托槽隐形矫治、青少年牙齿正畸。