小骏来自农村,平时沉默寡言,不太爱笑,好不容易靠自己的努力,考上了大学,又在城里找了份稳定的工作。可工作了三四年,眼瞅着就快三十了,却一直没有女朋友。
最近经同事介绍了一个女孩,谁知一见面,女孩眼睛就已经翻上了天,直接了当的说“我不喜欢大凸牙,我不要嫁给你”

小骏说,“就是因为有两个支出来的大门牙,我跟别人说话都时刻小心,怕门牙跑出来”
“以前家里穷,父母也没有这意识,现在自己赚钱了,该给自己投资了(还得找对象)。但是,医生,我快三十了,还能矫正牙齿吗”

作为一名口腔医生,又戴了两年多的矫正器,上周刚刚拆掉,今天以我的亲身经历和专业知识,就跟大家科普一下,关于矫正,大家比较关心的问题:
1、成年人到底可不可以矫正牙齿?
2、矫正牙齿疼不疼?
3、什么样的牙齿适合矫正?
4、选择什么样的矫正器好?
5、矫正后需要注意什么?

一、成年人可以矫正吗?
答案:可以。其实,矫正是没有年龄限制的,只要你牙周状况健康,成年人一样可以通过手术或佩戴矫正器,来达到改善功能,提高美观的目的。当然,因为成年人骨骼发育已经完全,牙齿移位、恢复会较青少年慢一些,一般可能需要两年多的时间。
我是在27岁开始做的矫正,正好两年多一点的时间结束。而且中间还因为疫情耽误了点时间,要不然能更快一些。虽然中间经历了一些磨难,但拆掉后,看着整齐洁白的牙齿,每天都能美滋滋。想想两年换余生整齐的牙齿、自信的笑容,还是很值得的。

二、矫正疼不疼?
其实还是有一些不舒服的。特别是刚戴上矫正器和每次复诊加力的时候,会有两三天的疼痛,这是因为给牙加力,让它一点点缓慢移动造成的。不过这种情况,一般两三天就适应了。另外,一些矫治器会有刮嘴的情况,严重会引起溃疡,但可以通过调节或涂保护腊改善。

三、什么样的适合矫正?
一般牙齿排列异常、牙弓异常,个别牙错位,拥挤或稀疏,颌骨发育问题,前牙反合,深覆合,深覆盖,开颌,锁颌,上下颌前突等。
具体表现为:龅牙(凸嘴),地包天(反合),*牙虎**,开颌,牙齿不齐,牙齿拥挤,牙缝大,中线不齐(偏合)等等。
但具体情况还要去医院拍片子做检查,有的因为颌骨发育带来的严重畸形可能需要手术。

四、那选择什么样的矫正器好?
具体要结合牙齿条件、美观程度、费用、时间等等,因人而异。现在主要有:
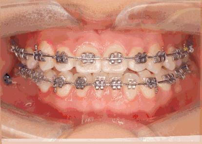
1、固定托槽矫正器
A. 金属托槽矫正器:
优:快捷,相对便宜
缺:美观差,刮嘴

B. 透明托槽陶瓷矫正器:
美观中等,费用中上

2、无托槽透明矫正器
优:美观,可摘戴,便于清洁
缺:费用高,适应症局限(有的做不了),相对矫正时间长一些

我选的是自锁金属固定托槽类的,因为美观无所谓,我上班基本都带口罩,想着快一些。当然前期刮嘴,溃疡是难免的,不过后期调一调就好了。
五、矫正后需要注意什么?
1.保持口腔卫生是关键,因为佩戴矫治器,很多不方便刷牙,容易造成龋齿(虫牙),所以我们要格外注意刷牙,同时配合使用牙线,牙间隙刷。(我文章里有具体刷牙方法,牙线,牙间隙刷使用,这里就不多讲。)
2.避免吃硬物,粘性食物,防止托槽脱落。(我中间有四五次吃硬物,托槽脱落,导致又延误了几个月)
3. 定期复诊
4. 矫正结束后,坚持佩戴保持器,防止复发。
讲了这么多,当然最重要的,如果朋友们有意愿,还是一定要去专业的口腔医院或诊所做检查,做正规治疗,不要图便宜。期待我们都能有美滋滋的大白牙。

小伙伴有过牙齿矫正的经历吗?
(部分图片来源网络,侵删)
———————————————————————欢迎关注和转发
@牙医张奋斗,每天学点健康知识。