颈源性头痛主要以枕大神经痛发病最为常见,与现代电子产品有一定关系,经常使用电脑工作和看手机较多的人群发病率高。那如何准确判定颈源性头痛,先了解一下治疗过程后,在后文中着重描写!

患者: 男,30岁,公司职员
主诉: 头痛1个月
现病史: 1个月前开始出现头痛不适,以右侧明显,颈肩部酸痛,低头久加重,头痛较重时需服用止痛药方可缓解,休息可减轻,睡眠较差
查体: 颈肩部肌肉紧张,颈椎生理曲度变直,C2/3间隙压痛明显,枕大神经出口压痛明显,余无特殊。
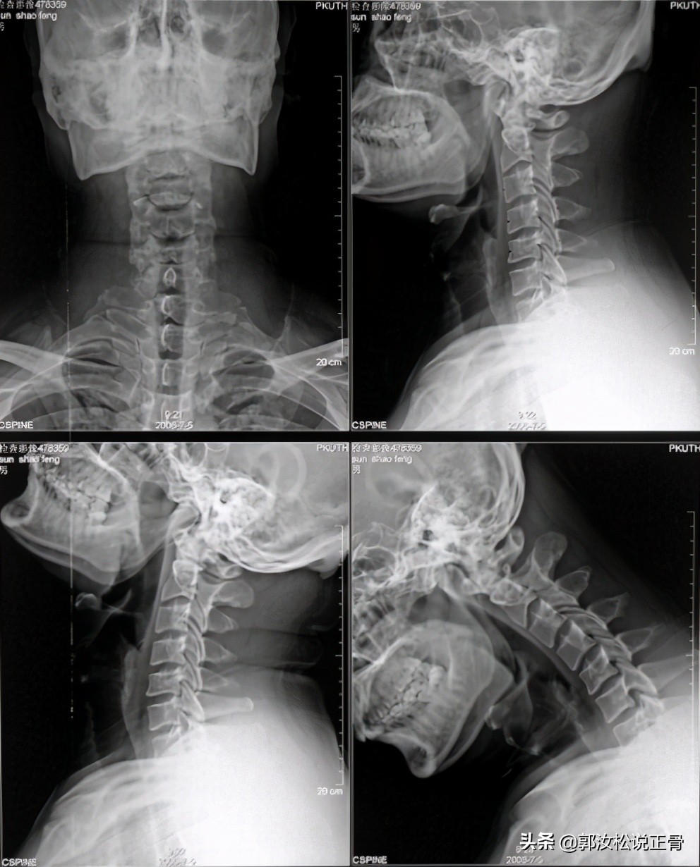
X光检查提示: 颈椎生理曲度变直,轻度骨质增生。
// 诊断:颈源性头痛 //X光检查:

处理:
给予颈椎定点旋转扳法,作用于C2/3,手法结束后,嘱患者热敷后枕部,10min/次,2-3次/天。三天后复诊。
注意事项(专科专业):
1)操作时,用力要快、稳、准,禁忌*力暴**;
2)交代患者在治疗过程中颈部一定要放松,身体固定勿转动。后枕部枕大神经出口经拇指弹拨手法松解后,局部有2-3天酸痛感,嘱患者为正常反应。
第一次复诊
患者自觉头痛明显减轻,颈肩部酸痛改善,睡眠较前好转,查体C2/3间隙压痛明显,余体征同前。
第二次复诊
头痛基本消失,颈部肌肉紧张度消失,颈椎生理曲度变直,余无特殊。
康复后注意事项:
颈部保暖,避免受寒。避免颈部旋转活动,避免颈部外伤,避免提拿重物。低枕平卧睡眠为主,如侧卧睡眠较多,枕头高度以平肩为好。避免颈部过长时间保持同一姿势,避免长时间看电视及对电脑,避免低头时间过长。
头痛大部分缓解或消失后,可行颈部低头,抬头,左看,右看,左侧,右侧,伸懒腰同时抬头,扩胸运动活动,以锻炼颈部肌肉。
准确判定颈源性头痛 ,需要了解以下几点解剖学基础:
1)枕大神经在浅出斜方肌肌腱膜处受到卡压;
2)肌肉收缩而产生的神经压迫症状,即枕大神经在穿斜方肌、半棘肌时均存在受压的可能;
3)枕大神经周围组织,如肌肉、神经、肌腱间综合作用导致枕大神经痛的主要因素。
未提及关键词: 枕寰关节、微动关节、寰枢关节、枕大神经痛。
目前 治疗颈源性头痛的方法众多,针灸、推拿、针刀、药物等,任何治疗手段精确定位神经的出口位置是治疗的关键。跟病例所用颈椎定点旋转扳法在既往临床研究中已证实其操作的 简单安全性 、 疗效持久 、 针对性强 的特点,且比较容易学习掌握。
它主要是通过定点旋转手法的作用力,使环枕关节及环枢关节产生旋转运动,从而调节椎体周围的肌肉、肌腱等的紧张度,并对枕大神经出口处容易卡压的局部进行松解,最后起到解除枕大神经压迫,解除症状。
我们依旧先针对以下问题提出自己的认识,后面我将会针对大家所说的,进行纠正,并告诉大家如何正确的就医及养身;
1.颈源性头痛都有什么症状? 2.颈源性头痛如何预防? 3.治疗如何预防什么方法比较好?
专业问题,医学生可以解答:
- 如何准确诊断颈源性头痛?
- 如何选择相应手法?
- 治疗关键是什么?

点击下面链接,了解日常腰部病症情况
「郭爷答疑」之15-有颈椎病,扭脖子有什么用?
「郭爷答疑」之18-正骨可以治疗偏头痛吗?
「郭爷答疑」之22-耳鸣跟颈椎病有关吗?
混合型颈椎病是怎么回事,怎么治?「郭爷答疑-之30」
颈椎病平时都有哪些症状?要注意些什么?「郭爷答疑-之31」
颈椎有问题,一直没治疗有什么影响?「郭爷正骨百问-之32」
长期低头,如何预防患上颈椎病?「郭爷正骨百问-之33」
为什么年轻人得颈椎病的很多?该怎么控制「郭爷正骨百问-之34」
视频加载中...

温馨提示:如身体有不适,请到医院就诊,并由医生诊断出结果为准,我们不建议自行诊治的行为