胆囊结石的并发症主要有:
1.慢性胆囊炎:我打个比方,胆囊像个口袋,胆囊结石就是这个口袋里的石头,由于石头表面是粗糙的,所以,石头和口袋长期摩擦导致胆囊内壁损伤形成慢性炎症,慢性胆囊炎的病人胆囊一般不肿大甚至萎缩。可以表现为腹胀、消化不良、右上腹痛、背心痛、右肩痛、右手指痛等症状。
2.急性胆囊炎:往往是由于胆囊内的结石卡在了胆囊颈部。胆囊颈部是胆囊内的胆汁进出胆囊的唯一通道,结石堵住这个通道以后,一方面,胆囊内的胆汁出不去导致胆汁潴留胆囊肿大。另一方面,局部的炎症又会加重梗阻。也就是结石卡的越厉害胆囊炎症就越重,炎症越重结石就卡的越厉害,这样的恶性循环会让病人的胆囊迅速肿大。所以,急性胆囊炎的病人胆囊会肿大,胆囊颈部神经末梢分布较丰富,所以这时病人往往还会继发明显的疼痛。
3.胆囊穿孔:是急性胆囊炎最严重的并发症!胆囊穿孔后胆汁外溢又引起急性腹膜炎,从局部到全腹,病情迅速恶化,如果治疗不及时,发展成败血症,造成病人器官衰竭、休克甚至死亡,非常凶险!病人有右上腹痛、发烧、黄疸、压痛、反跳痛、板状腹、口渴、尿少、心率加快、呼吸急促等表现。
两个病例回顾:
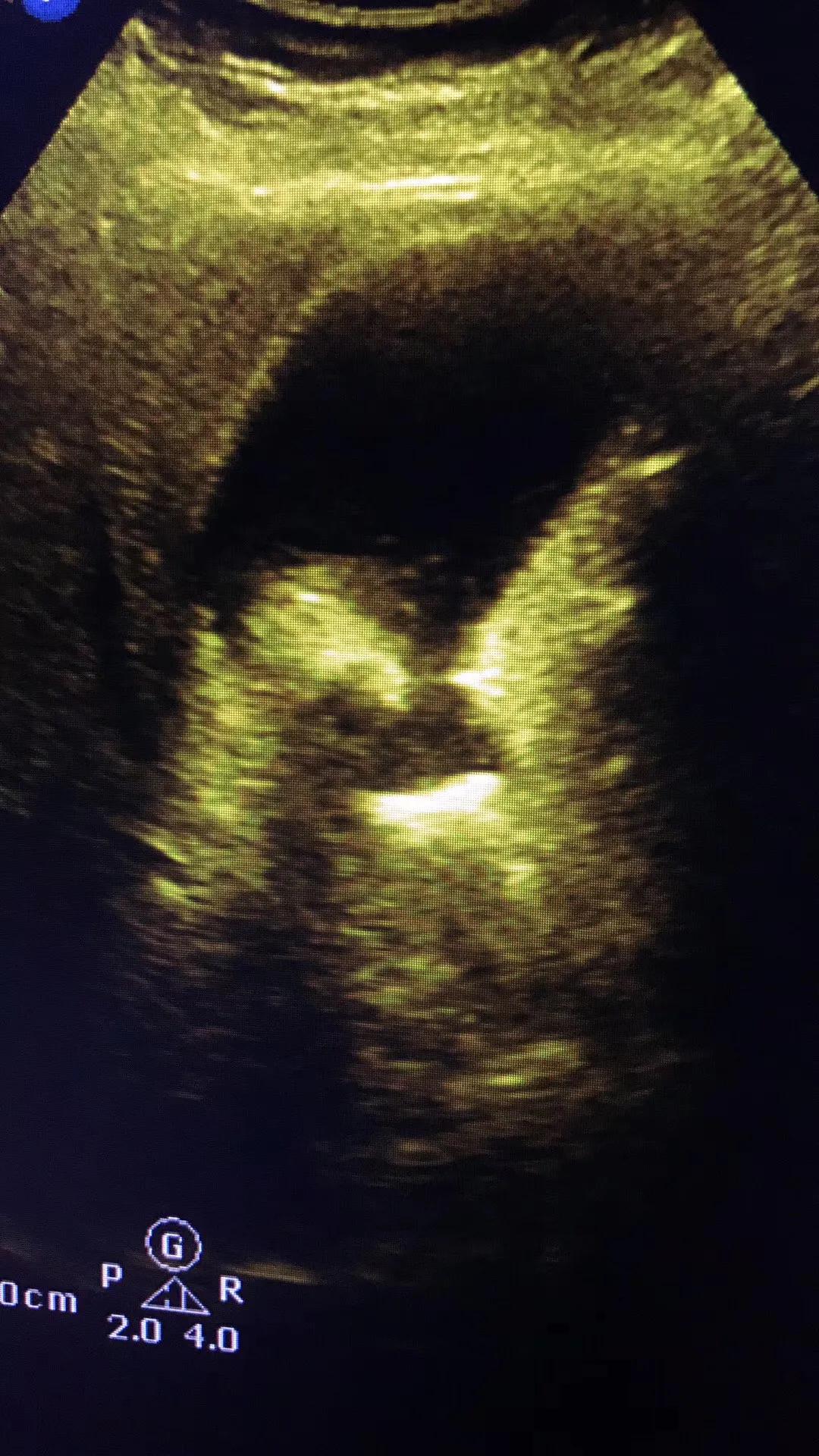
病例1.患者女性,57岁,胆囊颈部结石嵌顿继发急性胆囊炎!胆囊肿的像个茄子!



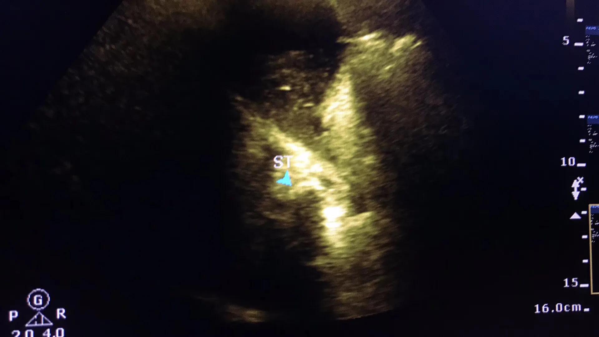
病例2.患者女性,63岁,胆囊颈部结石嵌顿继发急性胆囊炎胆囊穿孔!急诊手术证实胆囊穿孔!





最后我想说:了解一点医学常识,你不吃亏的!