早期妊娠超声检查能发现胎儿发育异常吗?
应用高分辨率超声显象仪可能显示胚胎/胎儿某些解剖结构,使早期诊断胚胎/胎儿畸形成为可能。一般认为,早期妊娠(FTP)中诊断的胚胎/胎儿畸形多需在中期妊娠(STP)中进一步确定。早期胚胎/胎儿一些结构的变异可能参与形成了某些异常的软指标;某些生理现象的声像图可能与中晚期妊娠的病理回声相似,主要的结构变异包括颅内的囊性结构和生理性前腹壁疝等,应注意辨认。
一、颅内囊性结构
妊娠第7周后胚胎头部可见脑泡显示,妊娠第9孕周时胚胎头部的侧脑室、第三脑室、第四脑室共同构成了胚胎颅内囊性结构。超声显像检查显示颅内大部分均为无回声,不可误认为脑积水。第11~12孕周后侧脑室明显扩大,甚至接近颅骨内侧板。在超声显像检查中大脑皮质仅显示为侧脑室表面的环状低回声带;在侧脑室内,除了前角内,几乎均可见到由脉络丛形成的强回声(图1)。这种情况大约在第 20孕周以后消失。

图1 胚胎及胎儿颅内无回声及脉络丛回声(A:8周胚胎 B:12周胎儿)
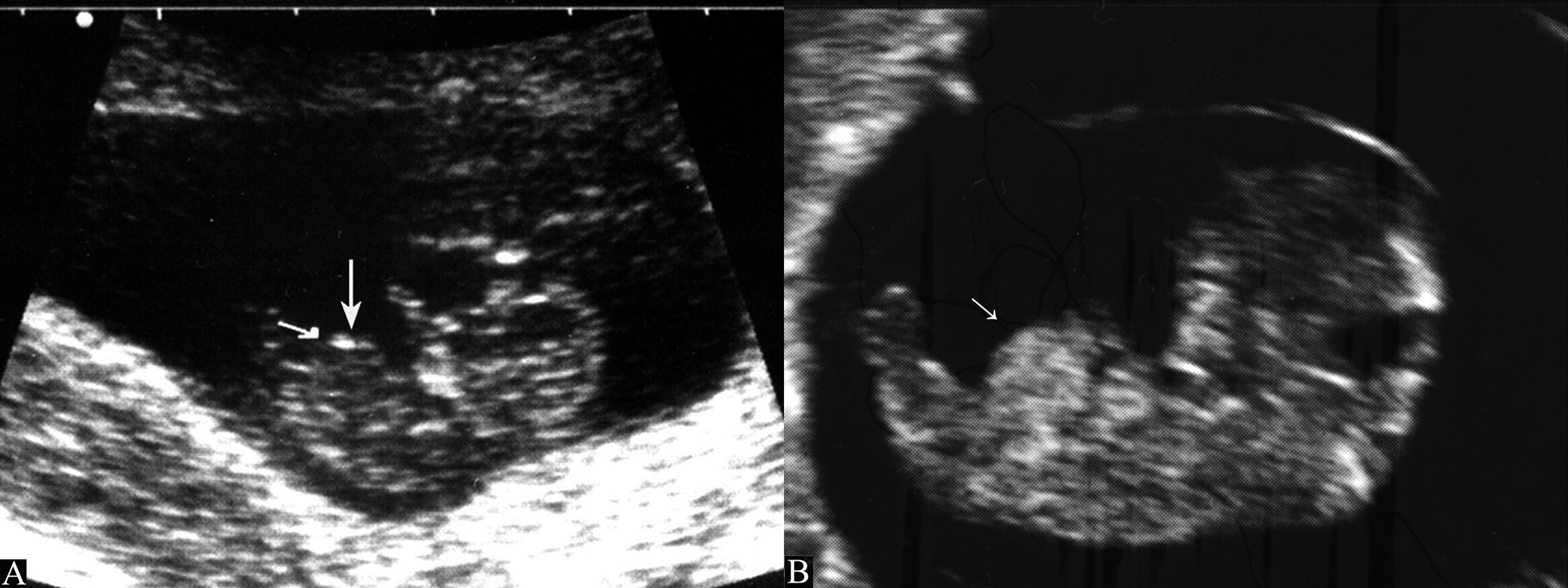
二、生理性前腹壁疝
在胚胎的发育过程中中肠生长速度明显快于胚胎腹腔的发育速度。随着中肠的增长,其向腹侧弯曲形成“U”型的肠袢突向胚胎脐部引起脐部突出,形成“生理性前腹壁中肠疝”(图2)。这种情况发生在胚胎第8周,是中肠移向绒毛膜腔的正常表现。此时,绒毛膜腔通过脐部与胚胎体内相通,腹腔内由相对固定、体积较大的肝脏、肾脏占据,不能再容纳生长较快的中肠,以致于其“疝入”脐带内。到第12孕周以后,胎儿腹腔容积迅速扩大,疝入脐带内的中肠返回腹腔,生理性前腹壁疝消失。经腹超声显像检查在第8孕周、CRL15mm~22mm 时显示脐部突出,突向体外大约6mm~9mm,此即“中肠疝”,在第9孕周、CRL 23mm~31mm 时,突出达到最大并可逐渐缩小至5mm~6mm,第10孕周~12孕周时,多数“中肠疝”消失,但直至第12孕周末,仍可有20%的胎儿脐部可显示突出,随着胎儿的生长,脐部突出逐渐缩小、消失。如果中肠不能正常返回并在原疝囊处发育,则形成脐疝。

图2 箭头示生理性前腹壁疝
三、结构异常
除超声检查医生熟知的颈部透明层(NT)外,早孕期超声检查也可对一些结构异常,如骨骼发育异常、神经管缺陷(NTDs)、心脏发育异常等做出诊断或提示。多数早期发现的胎儿结构异常需要在以后的超声检查或应用其他的方法予以验证。
1.中枢神经系统 超声显像检查诊断胎儿畸形就是中枢神经系统开始。11孕周~14孕周的产前超声检查能够诊断相当一部分严重的中枢神经系统畸形,有时还可发现微小结构改变。检查时要结合使用各种超声检查方法,包括二维、三维超声检查以及经阴道超声检查等技术。除少数典型、明显的结构异常外,多数需要结合临床实验室检查并在STP中予以确诊。
国内研究者对一组46例FTP胎儿中枢神经系统畸形的资料进行回顾性分析,发现中枢神经系统畸形早期显示率为0.15%(46/30550),发现的畸形中包括无脑儿(10例)、露脑畸形(12例)、脑膨出(5例)、全前脑(14例)、脊柱裂(3例)和脊柱侧弯(2例)等,但有2例漏诊。值得注意的是46例胎儿中枢神经系统畸形中有12例NT增厚,其中8例为全前脑,大部分为多发畸形;其中7例行染色体检查,6例染色体异常。提示多发的畸形尤其是全前脑NT往往增厚,考虑多发畸形常与染色体异常有关。
2.其他畸形 FTP中超声显像检查能够发现或提示的胚胎/胎儿畸形还有一些,如四肢发育异常、肠梗阻、肾脏缺失、联体畸形等。
大多数FTP中显示的胚胎/胎儿畸形有必要进一步观察,在STP中做出明确诊断。由于超声显像仪器分辨率的提高和超声诊断医师诊断水平的提高,以及经阴道超声显象检查的应用,某些胚胎/胎儿畸形可以在FTP中得到显示,但由于胚胎/胎儿发育中的特点,绝大多数胚胎/胎儿畸形仍需到STP检查验证才能明确诊断。如胚胎/胎儿的肾脏缺失,FTP中膀胱可能不显示,或肾脏不能显示,但并不能肯定一定有胚胎/胎儿的肾脏的发育异常,一般要到STP超声检查发现羊水过少或消失,并直接显示肾脏缺如,才能肯定有胎儿肾脏功能的丧失或肾脏缺失。
孕妈妈们在FTP中关心的其他问题,如异位妊娠、滋养细胞疾病、妊娠合并子宫或卵巢病变、剖宫产后妊娠等,我们将在以后介绍。
(有专业需求的可参考《实用胎儿电子监护学》,人民卫生出版社,2016)