
在广东人眼里,除了船
所有水里游的东西都能做成菜吃

爱吃鱼理由千千万
而不吃鱼的理由恐怕只有一个
怕鱼刺卡喉啊

关于这一点
湖北咸宁林先生绝对有发言权
因为一根鱼刺
差点付出生命代价
▽

鱼刺卡喉吞饭对付
不料食管被刺穿
林先生吃饭时,不下心被被鱼刺卡住了喉咙。于是他猛吞了两口饭,想靠这份“硬气”把鱼刺“顺”下去。没想到过了两天,他突然感到剧烈胸痛。
去医院CTA检查发现,一根鱼刺样的异物卡在了食管内,且已刺穿食管壁,一头已经扎进了胸主动脉。

由于林先生的病情十分棘手,当地医院建议他尽快转往武汉治疗。不料病情极度凶险,林先生被武汉数家医院婉拒。
11月29日,林先生来到了武汉大学人民医院急诊科就诊。魏捷教授检查发现,鱼刺像一把圆月弯刀,横插在食管和胸主动脉附近。如果盲目拔出,必定会形成主动脉破口,发生大出血。
这有多凶险?胸主动脉是人体最粗大的动脉血管,血管压力很高,一旦形成破口,出血将呈喷射状,犹如“大坝决堤”一般,根本没有抢救的机会。
随即,林先生被紧急转入重症医学科进行监护。
要保命必须马上取出鱼刺
10个科室专家联合出手
如果鱼刺留在体内继续感染恶化的话,林先生将失去最后的救治机会。
于是,医院胸外科、心血管外科、耳鼻喉-头颈外科、消化内科、介入科、放射科、麻醉科等科室进行紧急大会诊,确定微创取刺手术方案。

手术台上,专家团队判断很有可能是由于食道的蠕动,或是主动脉内血流的强劲冲击,这根鱼刺已经穿出食管进入胸腔甚至主动脉了。
此时已经没有微创取刺的可能了,必须尽快开胸探查将鱼刺取出。
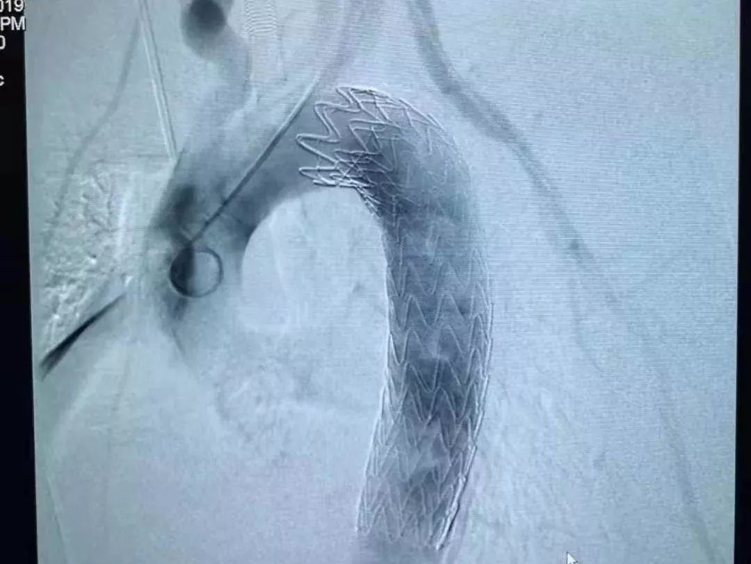
手术方案立即调整。医生从右侧开胸探查胸腔,发现鱼刺果然是穿出了食管,几乎整个扎进了主动脉内,仅在外露出3毫米的刺尖。

术后,林先生病情稳定,转入重症医学科接受进一步的治疗。
鱼刺卡喉
强吞可能丢性命
鱼刺卡住后盲目处理、导致刺穿食道乃至主动脉后极端凶险。就在林先生手术当天,医院还接诊了一例鱼刺卡喉处理不当,导致食管穿孔、纵隔脓肿的患者。

相关的媒体报道真的很多——

你以为卡在喉咙里的鱼刺会这样
▽

但事实很有可能是这样
▽

甚至这样
▽

所以谨记
饿不吃鱼
(三文鱼等无刺鱼除外

)
这些土方法
千万不能用
鱼刺卡喉后,咽米饭、吞馒头、喝醋等土办法,都是极端错误的!
鱼刺卡住了,再吞一口饭、吃一块馒头,就好比是——火上浇油,痛上加痛。因为吞馒头吞饭这样的动作,最大的可能是将鱼刺越压越紧、越带越深,如果是比较大的刺,还会刺破食管或血管,危害更大。
另外,别说喝醋了,就算把鱼刺直接泡在醋里,也要很久才能软化。

如果感觉有鱼刺卡住,鱼刺不太大的话,可以试着用力咳嗽,很多时候,那些细小的鱼刺会跟着气流脱落下来。如果咳不出来,可在让他人帮忙,看能不能用镊子夹出来。确实取不出来就别勉强,第一时间上医院!
编辑|高明发布微信编辑部
来源|武汉大学人民医院、丁香医生
图文版权归原作者所有,如有侵权,请联系删除