HPV是一种病毒,叫做人乳头瘤病毒,属于球形DNA病毒。HPV的感染途径分很多种,性传播为主要传播途径,也有可能通过感染者的用品传播,另外如果已经感染HPV的孕妇阴道分娩时也可能会导致新生儿的感染。

HPV图片
人口调查发现HPV感染率的高低与年龄的分布有很大的关系,大概20岁到25岁女性感染最高,占总感染人数的25%,随着年龄的增长HPV的感染力有所下降。
一般来说,大部分可以被机体清除,还有一部分是隐性感染,引起感染性的病变,持续感染会引起肿瘤(一般需要6-10年)。
HPV感染以后,病理诊断可以有三个方面,HPV检测、脱落细胞学诊断和组织病理学诊断。

液基薄层细胞学检查TCT(挖空细胞)

液基薄层细胞学检查TCT(挖空细胞)

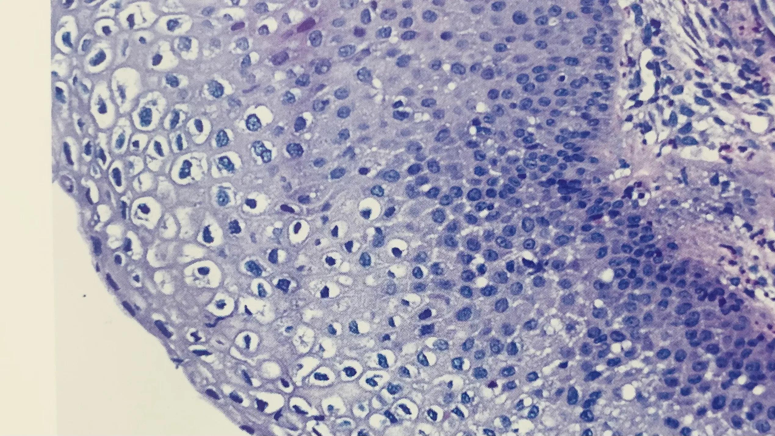
组织病理切片显示鳞状上皮挖空细胞
HPV可以有50多个型别,有的是导致病毒持续感染,并发生病变的明确的高风险因素。比如说HPV16是绝对的高风险因素,在持续感染三到五年后,癌前病变的检出率高达40%。
H P V和宫颈癌的关系,宫颈癌的患者有98%曾有HPV感染,但是并不是所有的H PV感染患者都转变为宫颈癌。大部分感染的H P V都被机体消灭,有的人感染以后自己从不知道。
疫苗能治疗HPV感染吗?疫苗只能预防HPV感染,对已经存在的HPV感染或者宫颈病变没有任何治疗效果,而且对已经感染某种型别的HPV的女性接种疫苗对其也没有保护作用,所以疫苗必须在HPV感染前接种才能有效,基于这个原因建议在青春期或者*生活性**开始前接种疫苗,虽然疫苗对已经感染的HPV型别没有作用,但是可以预防疫苗所针对的其他的H P V型别所引起的疾病。
小结一下,1.有条件地进行HPV疫苗注射。2.已婚妇女最好每年进行宫颈癌筛查。3.发现有HPV感染不必慌张,一定要查是哪个型别,对高危型进行有效的干预,防止H P V持续性感染,否则会导致宫颈的病变甚至宫颈癌的发生。