在传统的观念里,好像肺癌如果存在远处转移,也就是4期了,一般均不能手术,也不主张手术。但肿瘤的治疗理念也是不断变化的,我记得刚毕业时是这样的观点的,后来又说单发的转移手术仍有价值,所以近些年来,也有许多发现时合并远处单发转移灶的,也进行手术治疗的,当然,手术后仍需全身的综合治疗措施以获得更好的长期生存。今天分享的病例就是发现右下肺癌时已经存在脑转移,而且脑部病灶明显,压迫中线移位,得优先处理脑部的一个病例。
患者某A,今年才45岁,是家里的顶梁柱,于今年8月底检查发现右下肺占位入住本院。住院后查头颅MRI示:右侧额叶占位,结合病史首先考虑转移瘤。肺部病灶经穿刺活检明确是“浸润性腺癌”。我们先来看其肺部病灶:
视频加载中...
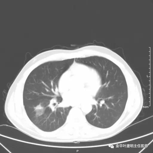
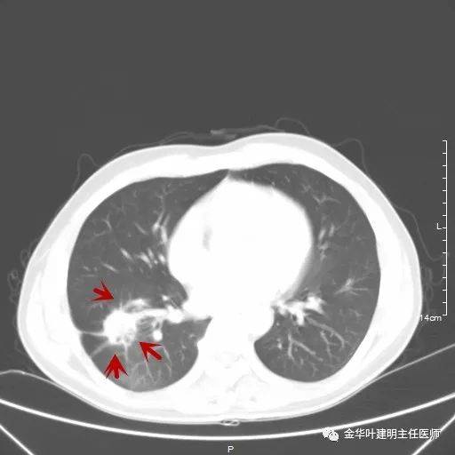
如果选取肿瘤所在的层面来看,则是以下图像:





以上是肺窗,见右肺下叶实性占位,有毛刺、浅分叶、膨胀性,血管征等,是较为典型的恶性肿瘤。





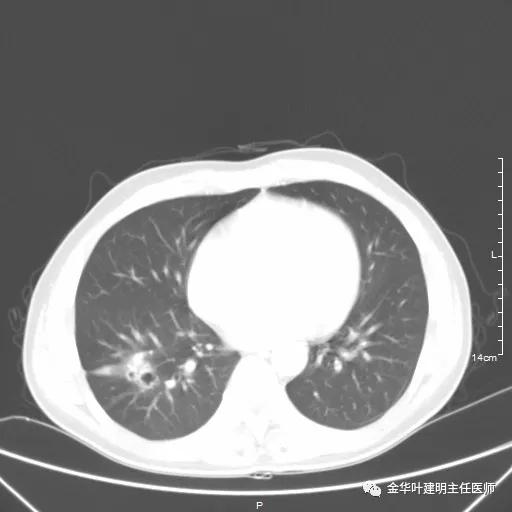
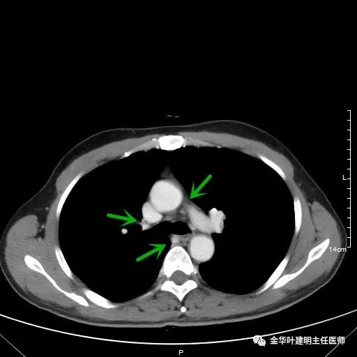
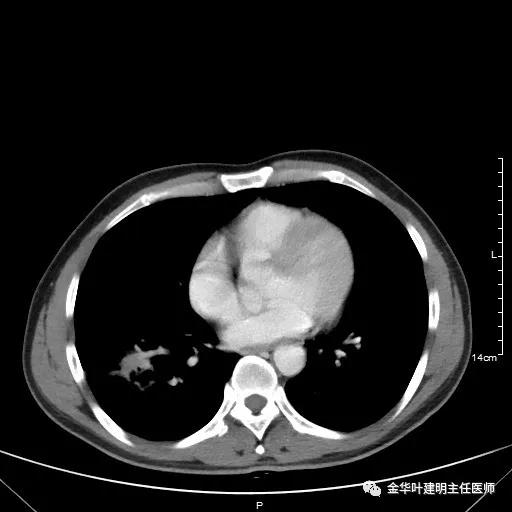
以上为纵隔窗,可见纵隔内未见显著增大的转移性淋巴结。




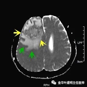
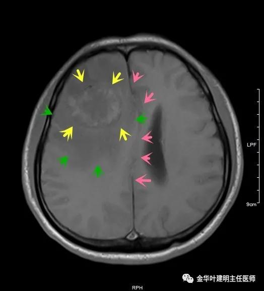
以上图示术前头颅MRI的图像,病灶明显,伴周围显著水肿,中线结构移位。基本可认为是肺癌伴脑转移。那么怎么治疗呢?需不需要手术?能不能手术?手术怎么做?先开颅还是先开肺?
首要的是做PET-CT有没有其他部位转移,还是单发的脑转移(即寡转移)。所幸查了PET未见他处转移灶。我们来看指南对这种情况是怎么建议的:

以上是中华医学会肺癌临床诊疗指南(2019版)的建议,肺部手术前存在孤立性脑转移者,应根据肺部病变的分期进行手术或放疗以及术后治疗。其中脑孤立性转移者,宜积极行局部治疗,包括手术切除脑转移瘤。若合并明显的中枢神经症状或转移瘤压迫水肿或中性结构偏移严重,建议先行脑转移瘤手术,再择期行肺原发肿瘤手术。

以上是“Ⅳ期原发性肺癌中国治疗指南2020年版”,也说有单发脑转移的4期非小细胞肺癌患者可行手术治疗,能从手术中获益。所以治疗的原则已定,拟先行脑部转移瘤切除手术,再择期行右肺下叶切除并清扫淋巴结。
患者及家属反复商量后到浙二医院进行了脑转移瘤切除手术。肺部的手术经过多方打听,决定在金华市人民医院找我来做。来住院后与你了解,原来他通过不同熟人途径打听,都是推荐他找我们医疗组就行,所以下定决心没有再到杭州、上海或其他医院,而是直接找到我收住入院,安排手术。经过必要的术前准备,手术安排在2020.10.9进行,我们手术组为其进行了“单孔胸腔镜下右肺下叶切除及淋巴结清扫术”,手术顺利,等我们开好他后面的一个刀后回到病房,见他已经拿着手术在刷了!单孔胸腔镜手术恢复就是快,今天早上见其胸管引流血性液不足100毫升。从目前来看,术后恢复应该会非常顺利,他选择在金华,在我们人民医院做手术,既方便、又安心,以后的复查随访与后续治疗也更省心。
其实得知他告诉我通过不同渠道都推荐到我们这里来,还是非常感动,也感谢推荐的朋友。这些年来,通过肺结节诊断与微创治疗方面持续的努力,并积极普及科普知识,把自己的理念与正确对待肺结节的观念告诉更多的人,而且不管是不是在我们医院开刀,是不是找我开刀,我们都是知无不言,言无不尽,目的只是为病人好,最后选择到哪里手术是病人的事,而看病沟通详细与否,有没有尽心尽力,是我们医生的事。我们不能因为不找我开刀,就敷衍了事,而应该仍同样对待,尽量详尽的沟通与说明,让他们了解更多的疾病诊断与治疗相关知识,我想这也是做医生的本分。恰恰,我们越是认真做事,越会有更多人信任支持我们。
肺结节的诊断与微创治疗,选择金华市人民医院,你不会错!!!
#肺癌手术#