大家还记得姚贝娜吗?一个可爱善良带着正能量的女孩子,29岁的时候因为乳腺癌做了乳腺癌切除手术,在忙碌的工作间隙发现乳腺癌通过血行转移到骨和肝,带着粉丝的祝福和对父母亲朋的留恋,姚贝娜捐献了一对眼角膜给这个精彩的世界,希望带给更多人光明和希望。姚贝娜乳腺癌复发是因为她的发病年龄早,而且双侧卵巢处于功能活跃期,不断分泌雌激素刺激癌细胞生长,另一个原因是她工作压力大,没有足够的休息时间和诊治时间,这些原因让噩梦重演,直到转移后姚贝娜才停工治疗。

图片来源网络,侵删!
每当有明星因为乳腺癌入院或去世,都会引发很多女性的关注,乳甲外科门诊量就会增加。
“两癌”即指女性两种常见癌症:乳腺癌及宫颈癌,其中,依据近年临床数据,乳腺癌已经跃升女性“头号杀手”。宫颈癌疫苗引入中国市场,欧美各国“规范化精准筛查”取得良好效果,无一不让防治“两癌”成为女性健康日渐关注的话题。
1.乳腺癌
我们首先来说一下女性“头号杀手”——乳腺癌。据2018年全球癌症统计报告指出,乳腺癌发病率排全球癌症第二位,死亡率排第四位。我们所熟悉的许多明星,除了姚贝娜,陈晓旭、李婷、叶凡等皆被乳腺癌夺走了宝贵的生命。

图片来源网络,侵删!
乳腺癌确诊前会出现很多症状,如果能够在早期自查中发现,就能及时就诊和治疗。乳腺癌是一种慢性疾病,除了乳头湿疹样癌(也称作帕吉特病,Paget disease),一般会有长期的的自然病程和较明确的癌前病变。下文中会给女性同胞们介绍一下怎样乳房触诊早点发现问题。
乳腺癌筛查即通过有效、简便、经济的乳腺检查措施,对无症状妇女开展筛查,以期早发现、早诊断以及早治疗。筛查分为机会性筛查( opportunistic screening)和群体筛查(mass screening)。
●机会性筛查: 是妇女个体主动或自愿到提供乳腺筛查的医疗机构进行相关检查;
●群体筛查: 是社区或单位实体有组织地为适龄妇女提供乳腺检查。
诸多欧美国家在乳腺癌筛查中取得了良好效果,而根据《中国抗癌协会乳腺癌诊治指南与规范2015版》中指出,女性参加乳腺癌机会性筛查的起始年龄一般建议40岁开始,但对于一些乳腺癌高危人群(如:有明显的乳腺癌遗传倾向者或既往有乳腺导管或小叶中、重度不典型增生或小叶原位癌(lobular carcinoma in situ,LCIS)患者,以及既往行胸部放疗者)可将筛查起始年龄提前到20岁。而群体筛查国内暂无推荐年龄,国际上推荐40~50岁开始。
(一) 用于乳腺癌筛查的措施以及时间
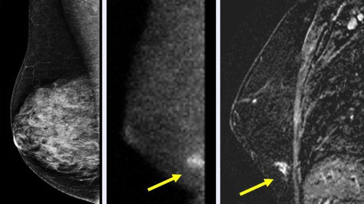
1. 乳腺X线(钼靶)检查:该检查简便易行,对降低40岁以上妇女乳腺癌死亡率效果明显。但乳腺X线对年轻致密乳腺组织穿透力差,故一般不建议对40岁以下、无明确乳腺癌高危因素或临床体检未发现异常的妇女进行乳腺X线检查。常规乳腺X线检查的射线剂量低,不会危害妇女健康,但正常女性无需短期内反复进行乳腺X线检查。

图片来源网络,侵删!
而且这个检查不用担心“飞机场”没法拍摄钼靶,放射科医生会想办法让无论是半球形还是锥形的乳房在检查仪器上就位的。以下显影结果都是乳腺癌患者癌肿的影像。

图片来源网络,侵删!
2.乳房触诊:一般要联合乳腺X线筛查的结果进行综合分析。我们自己在家洗澡的时候也可以定期检查,我们可以把乳房分为四个部分来检查:左下、右下、右上、左上,按照这四部分检查,另外还要挤压乳头看是否有溢液和出血,触摸腋下是否有肿大淋巴结。
(1)无痛性肿块:这个症状通常是无意中被发现的第一个症状,肿块一般位于乳晕下方,有些女性乳腺不发达,可以仔细触摸,一般肿块都集中在乳头下方,虽然这个区域小,但是肿块生长速度却比较快,自查时,可以摸到肿块与正常组织边界并不明显;甚至两块肿块之间并没有明显连接,与正常脂肪也没有界限;
(2) 乳头异常:乳腺癌患者有乳头内陷和回缩现象,这主要是因为逐渐增大的肿块牵拉周围韧带,造成乳头下陷。
(3) 肌肉和皮肤改变:自查时,可以触摸到胸部皮肤或胸肌有粘连现象,推不动,好像一块橡皮;

图片来源网络,侵删!
(4) 淋巴结肿大:在两乳之间也就是胸骨左右、胸大肌附近、腋下都可以摸到无痛、可以推动或者与组织粘连的肿大的淋巴结;
(5) 乳头溢液、泌乳、血性液体:或许被有些心大的女孩轻易忽略,但是事实没有这么简单,乳头溢液、泌乳其实是在乳腺导管内的分泌物通过管道开口(乳头)外流的征象。
3.乳腺临床检查:虽然根据相关研究未明确该法是否能提高乳腺癌早期诊断检出率或降低死亡率。但由于可以提高妇女的防癌意识,故鼓励妇女每月1次行乳腺自我检查。
4.乳腺超声检查:该法常联合乳腺X线筛查的使用。建议未绝经妇女应选择月经来潮后7~14 d进行。
5.乳腺磁共振(MRI)检查:该法可作为以上检查发现的疑似病例的补充检查措施。
6.其他检查:目前的证据不支持近红外线扫描、核素扫描、导管灌洗、血氧检测等检查作为乳腺癌筛查方法。
6.其他检查:目前的证据不支持近红外线扫描、核素扫描、导管灌洗、血氧检测等检查作为乳腺癌筛查方法。
建议:
●我国40岁以下妇女以临床触诊和乳腺超声为主,应每1-2年进行一次超声检查;
●40岁以上的妇女应以乳腺X线(钼靶)检查为主要检查手段,应每年进行一次超声检查,并每2年进行一次乳腺X线(钼靶)检查。
●对可疑病例者考虑行MRI检查。

图片来源网络,侵删!
另外一个乳腺筛查办法是基因筛查。
好莱坞女星安吉丽娜朱莉(Angelina Jolie),她的女性亲属饱受乳腺癌和卵巢癌的困扰,朱莉的母亲、姨妈、祖母和曾祖母此前都患癌去世。在乳腺癌基因筛查后,朱莉发现自己携带家族性乳腺癌易感基因BRCA1突变,罹患乳腺癌和卵巢癌的风险分别87%(正常人群罹患乳腺癌的比例是2-7%)和50%,果断地在2013年接受预防性双侧乳腺切除手术。这个手术切除了朱莉两侧乳房的全部乳腺组织,仅保留乳头,但为了美观,朱莉植入了假体,以此将患乳腺癌的概率降至5%。
做过乳腺组织切除手术的朱莉,在接受采访的时候非常大方地说:

图片来源网络,侵删!
(图片来源网络,侵删!)
乳腺癌的易感基因包括BRCA-1、BRCA-2,还有p53、PTEN等。根据美国NCCN遗传性乳腺癌指南,普通女性建议从40岁开始进行一年一次的乳腺钼靶检查,而检测出基因突变的高危人群则从25岁开始每年进行乳腺核磁共振的筛查,以及时发现更早期的病变。对于有患癌风险的女性,建议大家要定期复查,监控好乳腺疾病。像朱莉这种直接切除双侧乳腺的“主动出击”的办法并不推荐给所有女性。
除了遗传因素,乳腺癌发病还和月经初潮早、绝经晚,婚育、电离辐射、高热量高脂肪的饮食习惯、不健康的生活方式、精神郁抑和过度紧张、激素等相关。
(二)用于乳腺癌的治疗措施
根据肿瘤的分期和患者的身体状况,采用不同的治疗方法进行,常规手段有:手术(根据个体情况选择保保留乳房或全乳切除,以及是否行腋窝淋巴结手术)、放疗、化疗、内分泌治疗、生物靶向治疗及中医药辅助治疗等,还有一些预防手段,包括:预防性双乳切除术、药物预防性治疗。安吉丽娜朱莉即进行了预防性双乳切除术。对于早期检查出乳腺癌的患者来说,保乳手术预后效果较佳。
2.宫颈癌
最近很多朋友都在询问接种HPV九价疫苗的事情,也有小姐妹们结伴去香港接种。为什么女性朋友们对九价疫苗的接种这么执着?
这是因为数据统计,在99.7%的宫颈癌患者中都能发现高危型人乳头瘤病毒(HPV)感染,在中国女性感染者中,HPV16型和HPV18型的感染率高达84.5%。这就说明,我们国家的女性非常有必要接种HPV疫苗,而覆盖面更广的九价成为女性朋友们追捧的抢手产品。时隔十年,已在全球百余个国家实施广泛接种的HPV(Human Papillomavirus, 人乳头瘤病毒)疫苗终于进入了中国市场。

图片来源网络,侵删!
宫颈癌在全球女性恶性肿瘤中的发病率仅次于乳腺癌,全球每年宫颈癌新发人数约 50 万,死亡人数约 25 万。而我国,2015年国内宫颈癌新发病例估计9.89万例,死亡人数有3.05万例。梅艳芳,李媛媛等明星因为宫颈癌去世,也引起了大众的关注。

图片来源网络,侵删!
你知道哪些高危因素会增加HPV的易感性吗?
增加HPV感染有很多因素,对于女性感染者包括过早*行为性**、*生活性**混乱、同时拥有多个*伴侣性**、生育过早、生育过多、生育间隔过密、长期服用避孕药、吸烟、遗传易感因素及免疫功能低下;对于男性来说增加HPV感染的因素包括包皮垢、患有性病及过早发生*行为性**和*生活性**混乱,其他还包括社会学因素如营养状况、卫生条件等。
对于未感染HPV的女性来说,避免HPV的感染或者感染后能免疫清除是预防宫颈癌的首要手段。
在国内市场引进HPV疫苗前后,接种HPV疫苗一度成为最热门话题。HPV疫苗效果已经在相关研究中得到了肯定,比如《柳叶刀·肿瘤学》一篇研究显示,接种HPV疫苗在预防随机检测到的感染中有94%的有效性,在预防持续性感染中有95%的有效性,在预防2级及2级以上的宫颈上皮内瘤(CIN 2 +)有86%的有效性。
疾病预防控制中心免疫实践咨询委员会(ACIP)和美国妇产科学院推荐对9~26岁女性进行疫苗接种,但要明确的是现有的疫苗并不能完全预防宫颈癌的发生。在尽量避免高危因素的同时,对于适龄女性以及已经感染了HPV的女性来说,宫颈癌筛查也至关重要。

图片来源网络,侵删!
(一)用于宫颈癌筛查的措施以及适宜年龄
1 .筛检的手段常有:
①宫颈细胞学检查:包括1)宫颈细胞学涂片检查;2)宫颈液基细胞学检查。属常规筛查项目。
②醋酸肉眼观察法(VIA)和复方碘液染色肉眼观察法(VILI):前者如有异常,应进一步行阴道镜检查。
③HPV DNA检测:可进行病毒分型或定性检测。
2.筛检年龄建议:针对各个不同年龄段的女性群体,出于不同的风险收益考虑,有不一样的筛查建议:
①女性宫颈癌筛查建议在*生活性**开始1年后进行,大多数年轻女性,尤其是小于21岁的女性,能够通过有效的免疫应答在8个月内清除HPV感染,而85%~90%的女性在感染后8~24个月内将病毒负荷量降低至检测阴性水平。
② 21~29岁的女性建议每三年做一次宫颈细胞学检查。
③年龄为30~65岁的中老年女性,最好每五年进行一次细胞学和 HPV 联合筛查; 每三年一次细胞学筛查。
④30岁或以上年龄的女性,如果联合检测中细胞学阴性、HPV 阳性,应该按照下述两种方案进行处理: 1)12个月内重复联合检测。如果新柏氏液基细胞学技术(Thinprep cytologic test,TCT),结果显示无明确意义的非典型细胞的改变(即非典型鳞状细胞增生,ASC-US)或更严重,或HPV仍然阳性,最好转诊患者行阴道镜检查。除此之外,患者应该继续在3 年内行联合检测。2)应立即行HPV基因组检测HPV16 型和18型,如果结果阳性,应该直接转诊患者行阴道镜检查。
如图是TCT检查示意图:

图片来源网络,侵删!
(二) 宫颈癌的治疗措施
宫颈癌发病缓慢,存在明确的前期病变,即宫颈上皮内瘤变(cervical intraepithelial neoplasia,CIN),宫颈癌前病变分为3级,CIN1、CIN2、CIN3,有资料表明:CIN1中自然逆转占57%-62%,持续不变的占22%-32%,病变进展占11%-16%,从 HPV 感染到宫颈癌发病历时数年到十几年[ ],这就为早发现、早诊断和早治疗赢得了时机。治疗措施常用的有:手术、介入治疗、化疗、放疗等,一般根据病情及癌症分期不同进行选择或联合应用,早期采取手术治疗,晚期进行放疗、化疗。早期宫颈癌的治愈率为100%。因此,对于宫颈癌,早发现,早诊断和早治疗很重要。
以上就是给女性同胞们介绍的乳腺癌和宫颈癌预防和诊治的基本知识,希望能够对两癌一直关注的女性同胞一些帮助,让你在对抗两癌的道路上拥有一份指导。
@头条健康 @青云计划 @时尚健康杂志社
#清风计划# #我要上头条#
PS:本文图片均来源于网络,版权归其所有,侵删!