编者按:
本期博览群术为大家带来山西省人民医院任少华主任团队应用Tubridge®置入术分别治疗不同类型颅内动脉瘤经验三例。
1
患者信息:
女,59y,因“间断头晕3月余”来院。
患者3个月前无明显诱因出现头晕,持续几分钟可自行缓解。外院行头颅CTA示,右侧颈内动脉巨大动脉瘤。
手术过程:
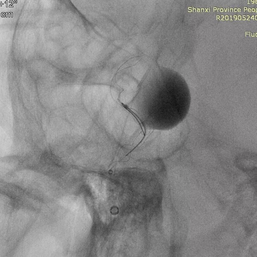
全麻,卧位,常规消毒铺巾,Seldinger’s穿刺右侧股动脉,置入6F 90cm长鞘。以多功能管导引6F Navien导引导管,尾部连接Y阀1个,三通2个,压力袋1个(肝素盐水),导引导管引领下上行。

全脑血管造影可见右侧颈内动脉海绵窦巨大动脉瘤,瘤体最大径:14.72mm,瘤颈宽:9.12mm。


Synchro 14导丝顺利送支架导管入右侧中动脉下干远端,尾部连接Y阀1个,压力带1个;经支架导管,置入Tubridge® 4.5×35mm,定位良好,顺利释放。



复查造影显示,动脉瘤内造影剂滞留明显,各血管及分支通畅,流速正常。手术结束。
2
患者信息
男,38y,因“间断头痛、头晕13天余”来院。
患者晚间睡觉时突感头痛,呈胀痛,持续时间月10min,后自行缓解,伴头晕,无恶心呕吐,未予处理。次日,再次出现上诉症状。入院前2日再次出现头痛、头晕。外院头颅CTA示右侧颈内动脉夹层动脉瘤。
手术过程:
全麻,卧位,常规消毒铺巾,Seldinger’s穿刺右侧股动脉,置入6F导管鞘。以6F导引导管,尾部连接Y阀1个,三通2个,压力袋1个(肝素盐水),导引导管引领下上行。




全脑血管造影可见右侧颈内动脉颈段末段夹层动脉瘤。
Traxcess 14微导丝导引Headway 17支架导管,远端顺利送入右侧颈内动脉远端,尾部连接Y阀1个,压力带1个(非肝素)。


经支架导管,置入Tubridge® 4.5×35mm,顺利释放,位置良好。
复查造影,各血管及分支通畅,流速正常。手术结束。
3
患者信息:
男,62y,因“突发头痛伴恶心呕吐1天”来院。
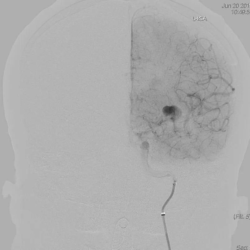
患者于入院前1天无明显诱因突发头。外院头颅CTA示:颅内动脉瘤。我院行DSA示:左侧大脑中动脉动脉瘤。
手术过程:
全麻,卧位,常规消毒铺巾,Seldinger’s穿刺左侧股动脉,置入6F长鞘。以6F Navien导引导管引领下上行。

全脑血管造影可见左侧大脑中动脉动脉瘤,瘤体最大径:16.7mm,瘤颈宽:8.3mm。
Synchro 14微导丝导引支架导管,远端送入左侧中动脉下干远端困难,支架导管内穿行Tracxseed微导丝,双导丝导引支架导管顺利进入左侧中动脉下干远端,尾部链接Y阀1个,压力带1个。


经支架导管,置入Tubridge® 3.0×30mm,释放位置良好。




复查造影,动脉瘤造影剂明显滞留,各血管及分支通畅,流速正常。手术结束。
术者体会
- 对于拟置入Tubridge®支架而载瘤动脉较为迂曲的病例,可借用双导丝置入支架导管内,达到一定的张力后,将其送到合适的动脉内。
- Tubridge®置入术的成功实施离不开一定的学习曲线,经验越丰富的团队所实施的手术,疗效越好,并发症越少。
- Tubridge®的释放需注意手法,要缓慢释放,推拉适度,保证支架充分打开贴壁。对于局限性打开不良的阶段,可用微导丝“按摩”。
专家介绍

任少华
山西省人民医院
主任医师
1988年7月于山西省人民医院神经外科工作。
1997年2月至8月于北京*013院医**学习神经介入治疗。
1997年9月至今于山西省人民医院神经外科脑血管病组工作。
现任山西省人民医院神经外科科副主任,担任中国医师协会神经介入分会全国委员,神经外科医师协会神经外科分会介入委员,中华医学会神经外科分会介入委员。中华医学会山西神经外科分会常委。

李荔荣
山西省人民医院
副主任医师
1999年-2001年于山西省兴县人民医院外科工作。
2001年-2004年就读于山西医科大学取得外科学硕士学位。
2004年至今于山西省人民医院工作。
担任中国医师协会神经介入分会复合血管组委员。

郝旭东
山西省人民医院
副主任医师
2006年7月至2010年12月于山西省人民医院神经外科工作。
2011年10月至2012年8月在德国北威州杜伊斯堡市医院神经外科进行研修学习。在德期间圆满完成了各项专业进修计划,取得了相关证书。
2012年9月至2013年9月,于山西省人民医院神经外科神经内镜组工作
2013年10月至2014年9月,于山西省人民医院神经外科肿瘤三组工作
2014年10月至2015年8月,于山西省人民医院神经外科血管组工作
2015年9月至2018年7月,于首都医科大学宣武医院神经外科学习,主攻脑血管病及脊髓血管病,取得临床医学博士学位。
山西省人民医院

其是直属于山西省卫生和计划生育委员会的一所综合型三级甲等医院,担负着包括急危重症在内的各种医疗救治、突发公共卫生应急和重大任务抢险以及干部保健等职能,医疗服务范围遍及全省各地及周边省份。现编制床位2000张,拥有职工2318人,年门诊病人105万多人次、年出院病人5.4万多人,年手术病人2.6万多例。
山西省人民医院神经外科
成立于1969年,是山西省神经外科专业重点学科。神经外科现有专业医务人员116人(医生39人),开放床位140张,拥有2个重症专业监护室(NICU),设置床位24张,总床位数和监护室床位数均居我省神经外科之首,病区设施和环境均达到国内先进水平。拥有百级层流专用手术间4间及数间万级层流手术间。科室床位使用率95%以上,平均住院日17天左右,年收治患者3004人次,年急诊、门诊数10000余人次,年开展手术例数1964余台(其中介入手术300余台),居全省之首。医院不断更新科室配备,是山西省省同等综合医院中规模最大、设备最新、医疗项目最全、就诊人数最多的神经外科医疗机构。山西省人民医院神经外科系山西医科大学硕士研究生授权点,华中科技大学同济医学院博士、硕士研究生联合培养基地,山西省中医学院硕士研究生培养基地,山西省神经外科专业人才培训基地,山西大医院神经外科专业人才及护理培训基地,为基层培养了大量优秀的神经外科医生,极大的提高了我省神经外科的整体水平。目前山西省人民医院神经外科已发展成为一个合理的人才梯队和专业结构,医、教、研总体实力处于山西省领先和全国先进且省内外享有盛誉的重点学科。
编者寄语:脑血管介入致力于打造中国神经介入领域专业的学习交流平台,服务医生,造福患者。关注微信公众号(ID:i-neuro), 了解更多神经介入资讯!