
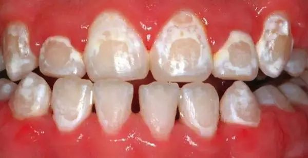
在牙齿矫正过程中,可能有的朋友们会发现钢牙旁边有白垩色的斑斑驳驳的小点。
这些斑斑驳驳的小点或者斑块,就是牙齿脱矿,是肉眼所能见到的最小的龋病状态,龋齿的前兆。其实也就是说明,你的牙齿外层的牙釉质有点蛀牙了。
牙釉质脱矿的原因
在牙齿固定矫正期间,由于不容易对牙齿进行彻底清洁,菌斑特别容易沉积。尤其是托槽旁边、钢丝下面,还有钢丝与牙龈之间的这些犄角旮旯的区域,都是菌斑沉积的好发之地。
所以,牙齿矫正的人群特别容易出现釉质脱矿的现象,表现为牙齿的白垩色斑点。

如何预防牙齿矫正脱矿?
牙齿脱矿了,需要时刻注意保持口腔卫生。
特别是在饭后的时候,应清洁口腔,最好是要刷牙,至少也要进行饭后漱口,将残留在牙齿间隙的残留物及时的清理出去,以免对牙齿继续造成损伤。
摘下牙套后白色的脱矿就会好了吗?
摘下牙套之后也有很多方法可以改善白垩色的斑点。
比如说渗透树脂,就是用一种新型的补牙材料渗入孔隙,阻断早期蛀牙的进展。
出现脱矿后可以怎么做?
1、要注意饮食调养,常吃对自己牙齿有益的食物,比如:大米、豌豆、蚕豆等,这些食物当中的磷含量高,可以形成缓冲系统,防止口腔过度酸化,有保护牙齿的作用,防止已经脱矿的牙齿加重。避免进食过冷过硬或者甜食、酸性食物,以免造成牙齿不适感。平常注意多饮白开水,起到清洁口腔的作用。
2、注意节制饮用碳酸饮料,比如:可乐、或者是那种运动型的饮料,里面含有多种的有机酸,而这些有机酸能分解钙质,进而侵蚀到牙齿,造成牙齿脱矿。
3、需要选择正确的牙刷进行刷牙,虽然说硬毛牙刷清洁效果好,但硬毛牙刷对牙齿的磨损较软毛牙刷的大,如果经常使用的话,会损伤牙釉质,加重脱矿,而且也使得牙齿容易变黄。
正确的做法应该是硬毛牙刷和染毛牙刷交替使用,每隔3到4天使用一次硬毛牙刷,对牙齿进行一次大清理。
提醒大家,要认真刷牙,尤其正在矫正牙齿的朋友们,如果看到了托槽周围有了白色斑点一定要引起重视,掌握正确刷牙方式,用含氟牙膏,坚持认真刷牙,防止它们继续发展下去。
文章底部评论留言功能已开通,大家可以一起来互动啦~!把你想说的和想问的写下来吧!