审核专家:沈迎建
河北省燕达医院营养科主任
近些年来,人们生活水平不断提高,越来越多的人也开始注重起自身的健康。不仅各种“绿色”的饮食方式受到人们热捧,就连“体脂率”测量也变得十分流行。
许多人热衷于通过控制饮食、加强锻炼等方式来降低体脂率,市场上也出现了很多号称能够测量体脂率的体脂秤产品,宣传可以帮助人们监测体脂变化,制定更好的健身方案。

图源 | 百度百科
那么,这些体脂秤的计算结果真的准确吗?体脂率与我们的身体健康又有什么必然联系呢?
1
如何计算体脂率?
体脂率 (Body fat percentage),顾名思义,就是指 人体的脂肪组织质量在体重里所占的百分比 。体脂率的计算方法有好几种,包括水下测重法、ADP法、超声波探测法、生物电阻抗法等。
水下称重法,是根据脂肪与肌肉的组织密度的差异来计算体脂率。
ADP法,全称为空气置换体积扫描法,通过将人放入到专门的测量仪器中,测量人体在仪器中所占据的体积,进而推算出脂肪比例。

图源 | 维基百科
超声波探测法,即使用超声波来探测体内的脂肪含量,类似的还有采用红外线、X光等进行探测的方法。
以上几种方法由于操作比较复杂,且仪器不容易获取,所以一般只 在专门的医疗机构和医学研究院才能做到 。而对于普通人来说,想要测试体脂,最常用的方法就是采用生物电阻抗法,而这也是目前市面上体脂秤的测量原理。
2
细说体脂秤原理
市面上的体脂秤,是一种除了测量体重,还能估算用户体脂含量的电子秤。它的测量原理就是生物电阻抗分析技术 (BIA)。
人体的脂肪导电性很差,电阻率较高,而肌肉恰恰相反,肌肉中含有较多水分,导电性良好,电阻率较低。
当微电流经过体内的脂肪、肌肉、骨骼、器官等组织部位时,会受到不同的电阻力。 因此,生物电阻抗分析技术就是通过测量微电流通过人体的速率和时间,来测定人体各个部位的电阻率差异,进而推算出体内脂肪和肌肉的占比含量。
这种技术由于测量方便、成本低,被应用于许多体脂秤产品上,但是要注意,在使用体脂秤测量体脂时,一定要遵循正确的操作流程。

图源 | 购物网站
正确的测量方式,是需要脱掉鞋子和袜子,裸露脚底站在已经开启的体脂秤上,这时体脂秤的低压电流就会通过人体,从而计算出人体的体脂率数值。
此外,市面上的体脂秤除了有脚站式的,还有手柄式的,手柄式多个手柄,其手柄上的金属电极会连接到体脂秤上。 相比脚站式的体脂秤,手柄式体脂秤能分段测量上半身和下半身的生物电阻抗,这样计算出的体脂率会更准确些。
但是,不管是什么体脂秤,都只能计算出体脂率的估算值,无法做到百分百的精确。
为什么是估算值呢?首先,体脂秤并不是直接测量人体内的脂肪含量,而是通过电阻数据来估算体脂率;其次,我们用的仪器和测量时间本身就并不能达到精准数据所需要的条件。
2003年有专业人士进行BIA测量实验来测量体脂率,每次所需全流程竟需要40分钟,而我们日常站在体脂秤上的时间也就几十秒。
另外,在实验BIA测量中,一般是采用四电极的方法,也就是使用四个体表电极放置在人的四肢上,测全身的生物电阻抗,而家用的体脂秤,电极全部集中到脚底,测量范围比较受限。

图源 | 《多频节段生物电阻抗分析法测量人体成分的信度研究》
那么,体脂测量与体重测量又有什么区别呢?
3
体脂测量VS体重测量
从上文可以看出,体脂测量体现的是人体内脂肪组织所占的百分比,能较好地反映人体脂肪的占比状况。
人体脂肪分布的区域很广,有皮下脂肪、内脏脂肪等,过高的体脂率会引起诸多健康问题与身体疾病,如脂肪肝、心脏病、糖尿病、肥胖。脂肪比例可以反映一定的健康问题。

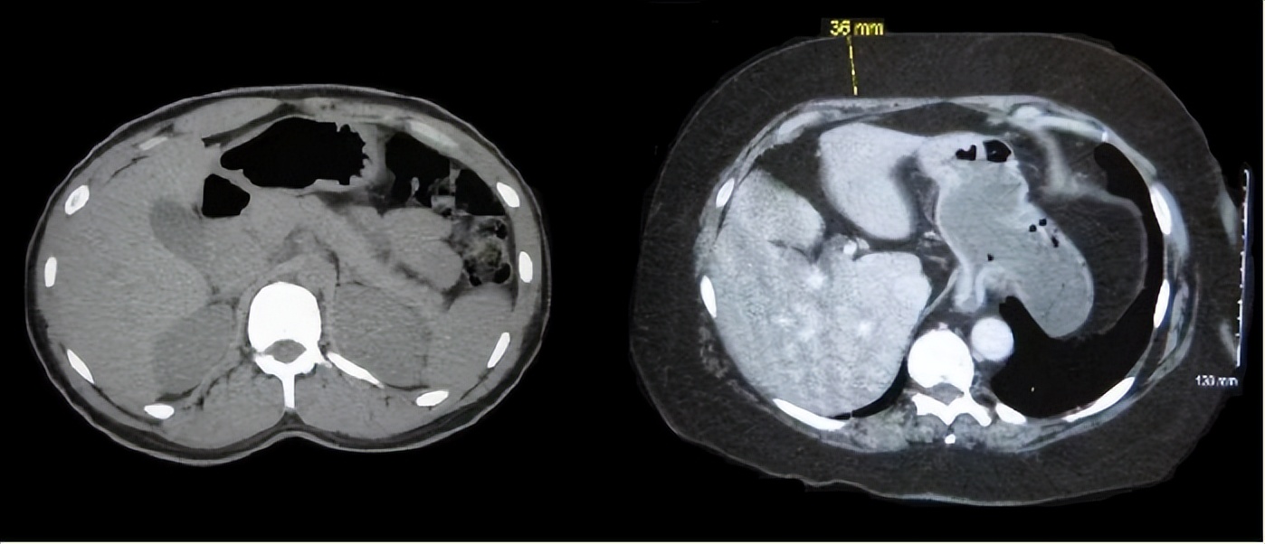
左边是体重正常人的腹部CT,右边是肥胖症患者的腹部CT,其皮下脂肪厚度足有3.6cm。 图源 | 维基百科
而体重测量,指的是测量整个人体的重量,包括肌肉、骨骼、脂肪、器官等各种组织的总质量。体重的测量通常使用体重秤来进行,通过体重值的变化,初步估算人体体重的增减情况。但是,体重测量并不能区分体内脂肪、肌肉组织等的细节差异,体重大的人,可能是肌肉比较发达,也可能是体脂较高。
因此,体脂和体重是观察人体健康状况的不同指标,两者的测量方法和含义是有所差异的,需要根据具体情况具体分析。
需要注意的是, 体脂测量相对于体重测量,在肥胖方面的意义要大于单纯的体重测量,对于减肥的意义是优于单纯的体重测量。
总的来说,体脂率的测量,能帮助我们对于自身的体脂水平有个初步了解,但具体到详细数字上,我们并不需要过分关注。
比起体脂率的具体数值,我们更应关注它的增减变化,以此来了解自己近期的饮食和生活规律对身体造成的影响,及时做出合适的调整。