大概很多养狗的主人都知道,狗狗是很喜欢在草丛里自由乱窜的小可爱。草丛里藏匿了一个身体娇小但是有致命*伤杀**力的生物——蜱虫
蜱虫有多可怕呢?
如果蜱虫咬到了人,会患莱姆病。咱们非常喜欢的一位加拿大摇滚歌手艾薇儿,曾经就是因为患上莱姆病,悄悄隐退。
2010年9月就有专题报道蜱虫咬人致死的病例。

对于狗狗来说,蜱虫更是一只“精致”的杀手。
虫子叮咬 狗狗便血而亡?
狗狗被蜱虫叮咬一口,仅仅是吸点血,损伤皮肤这么简单吗?
不!被蜱虫叮咬,还可能会导致狗狗便血死亡!

小跟班巴贝斯虫
蜱虫寄生是为了吸血,损伤宠物身体。而叮咬引发狗狗死亡,原因并不是蜱虫本身,而是在它体内还有个隐藏的杀手——巴贝斯虫。
巴贝斯虫:俗称血焦虫,是一种在血液寄生原虫,平时寄生在蜱虫体内,可以在蜱虫身体里大量繁殖,当蜱虫叮咬狗狗候,趁虚而入。寄生于狗狗的红细胞中,造成红细胞破裂损伤,导致狗狗发生严重的溶血反应,狗狗很容易因为贫血而死亡;一旦感染巴贝斯虫,狗狗发病快,死亡率也高。狗狗感染的巴贝斯虫主要有犬巴贝斯虫(Babesia canis)、吉氏巴贝斯虫(B. gibsoni)两种。
感染巴贝斯虫 症状早发现
发现狗狗被蜱虫叮咬,不要以为拔除蜱虫就万事大吉了,蜱虫作为巴贝斯虫的传播媒介,被叮咬就有感染风险!
在做了体外驱虫后的1个月内有外出都要时刻注意狗狗的情况;巴贝斯虫病潜伏期从数天到数周,疾病发展也呈慢性经过,很容易被狗狗家长忽略。
早发现治疗
问题快速解决
1.发热:发病初期出现持续发热,在2~3天内,可达到40℃~43℃。
2.狗狗精神不振,食欲减退,还会出现呼吸困难。
3.贫血:狗狗的牙龈和眼睑颜色逐渐变苍白。
4.尿液粪便颜色加深:尿液颜色呈深黄色和酱油色,便便也会变成褐色 。

血尿颜色
检查确诊
发现巴贝斯虫并不困难,如果狗狗出现症状,结合症状以及被蜱虫叮咬经历,
一般做血常规、血涂片显微镜检查,以及实验室PCR检查能确诊。
感染巴贝斯虫的狗狗,做血常规检查,其红细胞数目、红细胞比积、血红蛋白量都急剧下降。

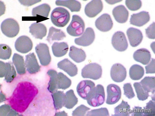
狗狗症状明显期,通过光学显微镜血涂片进行虫体检查,能在显微镜下清晰地看到巴贝斯虫
存在。

如何治疗
狗狗确诊后就需要及时治疗,临床有针对性的抗梨形虫药物和抗生素,支持疗法及采用综合方法进行治疗,严重的病例还需要输血。
抗巴贝斯虫:三氮脒
抗生素:克林霉素、强力霉素、阿奇霉素
预防最重要 远离巴贝斯虫
巴贝斯虫虽然能治疗,但治疗药物对狗狗伤害比较大,且不能完全杀灭,即使治愈也有复发的可能,如果是母狗还会通过胎盘感染幼犬,所以预防才是最重要的措施。
蜱虫是巴贝斯虫的主要传播者,所以该病的发生、发展、分布与蜱的地域分布和活动季节密切相关。
春、夏、秋季都不安全
一年中的春季、夏季、秋季都属于巴贝斯虫的多发季节,也是蜱虫活跃的季节,主要时间段为每年5月初到11月,在只要能滋生蜱的地区,都可能存在该病的传播。
这些地区特别注意
预防巴贝斯虫,还要注意蜱虫高发的地区,我国高发区域在河南、湖北、安徽、江苏等中部地区;以及东部的山东、福建以及广州等地区。这些地区的养宠家长,带狗狗外出一定做好预防工作。

防叮咬 X蜱虫
警惕接触蜱虫
避免到城市绿化带,或树木茂盛有草丛、灌木丛的地方活动,开车出去游玩,也不要让狗狗逗留在有草木的潮湿环境,可穿上雨衣或防护服,回家后检查身体。

定期体外驱虫防范
平时要做好体外驱虫,选择可以驱杀蜱的体外驱虫药。
福来恩:滴剂杀灭体表蜱虫,*剂喷**可快速触杀大量蜱。
尼可信:口服药作用于体表,可有效杀灭蜱虫。
拜宠爽:滴用后导致蜱神经过度兴奋后衰竭死亡,还可以驱避蜱。
被叮咬及时驱杀
犬巴贝斯虫感染通常发生于蜱虫叮咬10-20天后,急性病例中,感染2-10天出现明显症状。
所以及时驱除蜱虫很关键!能减少巴贝斯虫的感染率。
蜱虫嘴部有倒钩,狗狗被叮咬后往往很难摆脱,驱除蜱虫必须要用驱虫药,让虫子自动把口器退出来,直接拉扯会导致蜱虫口器断裂在皮肤里引起发炎。


1)*剂喷**触杀 叮咬的蜱虫比较多的时候,使用可以驱除蜱虫的*剂喷**,可以快速去除多余的虫子(感染蜱虫后使用药物对着蜱虫直接喷洒),直击蜱虫,可以让多数蜱虫麻痹自动脱落。
2)麻痹虫体 停留在狗狗皮肤上的蜱虫,可用氯仿、*醚乙**、煤油、松节油、凡士林油或旱烟涂在蜱头部,这些东西会堵塞蜱虫身上的呼吸孔,等蜱窒息后自然从皮肤上落下死亡。


PS:非蜱虫传播的巴贝斯虫病,主要是狗狗互相打斗出血,以及输血而感染,所有也要注意防范。
#宠物温情时刻#
#萌宠小戏精#
参考资料
1.犬蜱虫病的治疗及防护 刘斌,孟建飞,王俊亮,赵育芳 《兽医导刊》 -2014年10期
2.一例苏格兰牧羊犬蜱虫叮咬的病例 邵丽晓,李志刚 《特种经济动物》-2017年04期
3.犬巴贝斯虫病的诊治体会 陈金泉,余机旺 《中国工作犬》-2013年08期
4.犬巴贝斯虫病的流行病学及诊治措施 何士根,王一青《浙江畜牧兽医》-2013年06期
5.犬吉氏巴贝斯虫病的临床诊断与治疗 魏莉 2014
6.https://www.petmd.com/dog/conditions/infectious-parasitic/c_multi_ticks
7.http://www.langfordvets.co.uk/diagnostic-laboratories/services/mdu-pcr-acarus/list-acarus-tests/diseases-transmitted-ticks
8.https://commons.wikimedia.org/wiki/File:Babesia-canis-dog.jpg