
本文授权转载自RGA美国再保险
2019年3月12日,2019年世界羽联马来西亚公开赛抽签结果出炉,此前因患鼻咽癌阔别羽坛9个月的马来西亚国家男子羽毛球队选手李宗伟正式复出。
马来西亚羽毛球一哥李宗伟在确诊鼻咽癌后,在台湾完成了33次质子治疗,共花费924万元,并于今年3月宣布复出。这个新闻一度被推上热搜,质子重离子治疗也被很多媒体誉为“癌症治疗的终极*器武**”。
那么,相信不少朋友一定会有很多疑问:
√ 质子重离子治疗是什么?
√ 真的可以治愈癌症?
√ 哪里的医院可以治?
√ 哪些癌症可以治
√ 费用如何?
我们就来向大家详细科普一下质子重离子治疗,对上面的问题进行一一解答。
本文内容较多,分为以下4部分,本篇我们先向大家科普一下质子重离子治疗的原理(1),下一辑将主要介绍全球的最新进展情况(2/3/4)。
1. 质 子重离子治疗最简单科普
2. 全球质子重离子中心列表(2019.04)
3. 已完成治疗的患者病因分布
4. 质子重离子治疗全球费用汇总
1
- 质子重离子治疗最简单科普 -
首先,质子治疗、重离子治疗是两件事
我们说的质子重离子治疗,其实是两种治疗方式,分别为质子治疗和重离子治疗(也被称为质子刀和重离子刀)。
这两种治疗属于放疗的一种,与传统放疗治疗方法相同,都是利用仪器将射线照射到肿瘤部位,通过能量聚集杀死肿瘤细胞。质子重离子治疗与传统放疗的区别在于机器发射出来的粒子不同。(下图)

上图是放射治疗所用到的不同射线类型。
传统放疗:左侧波浪形代表光子射线(是一种电磁波,无质量),例如x射线、伽马射线,常规的放疗就是这种射线;
质子重离子治疗:质子(Proton,来源于氢原子)和重离子(Heavy ion,来源于不同元素,目前主要使用碳原子)则是粒子形态,就是图片中右侧的小球,它们自身带电,同时也有质量。从图中可以看出,质子体积小,重子体积明显大很多。

我们不妨把这两种粒子想象成为*伤杀**肿瘤细胞的导弹:
质子体积比重离子小、*伤杀**力小,对细胞造成损伤后,细胞有机会可以自愈,一旦照射出现偏差还有修复的可能,可以认为比重离子安全;
重离子的体积大、能量多,*伤杀**的细胞会彻底死亡,无法恢复,相当于一把外科手术刀,对照射的精准度要求更高。

图片来源:日本相泽质子治疗中心
两种粒子治疗各有优缺点,医生会根据患者具体情况选择合适的治疗方式。比如头颈部肿瘤、儿童肿瘤,可以选择更安全的质子治疗;体积大、恶性度高的肿瘤可以选择重离子治疗;更复杂的病例甚至可以联合治疗……
什么是布拉格峰?和定点*破爆**有什么关系?
在很多质子、重离子科普的文章中,都谈到了一个词“布拉格峰”。
简单来说,布拉格峰(Bragg Peak)是一个物理名词,是用来形容粒子穿过障碍物时的能量衰减曲线。
一言不合就上图

很多科普文章都会用到这张经典图
上图分别列出了5种射线的能量衰减情况,其中伽马射线、中子、x射线(传统放疗)都是先高后低,也就是说随着进入人体的深度能量逐渐衰减。
质子、重离子的能量是先低后高,在某个深度(图片举例为15cm处)时突然形成峰值,然后迅速归零。和上面三种射线的能量衰减路径完全不同。
那么,这和治疗有什么关系呢?我们分为3点来解释:
01
定点*破爆**
假设一个肿瘤位于身体中央,肿瘤中心距离体表10cm,需要100%的能量才能彻底被杀死。
传统放疗:如果用伽马射线,为了避免射线在进入身体(10cm路程)的过程中能量损失,只能将初始能量调高,尽量让射线在“长途跋涉”到癌细胞时还剩100%的能量。
质子重离子治疗:利用布拉格峰效应,可以通过很低的能量照射进人体,然后在10cm的深度“引爆能量”,从而杀死肿瘤细胞,也称为“定点*破爆**”。
那么问题来了:
调高传统放疗的初始能量不就可以了吗?
理论上没错,但是实际在治疗过程中,射线以非常高的能量进入身体时,会造成健康细胞的损伤,可以说杀敌一千,自损三百。比如肺癌患者在放疗过程中,照射计量过大会出现严重肺炎,一些患者最终因为不能耐受副作用而停止治疗。
因而,放疗科医生将根据对每位患者的评估,来调整照射计量,并不是越多越好。

实际临床应用中,为避免周边组织出现放射损伤,普通放疗(左图)的照射剂量通常不会太高,并且随着能量消耗,肿瘤部位接受的能量偏低(蓝紫色);质子重离子治疗的能量值可以在肿瘤部位达到最高(红色)。
肿瘤体积很大,照射深度不够怎么办?
细心的朋友会发现,肿瘤是个立体的组织,如果肿瘤很大,质子重离子治疗仅在某个深度“爆炸”,显然是治疗不完全。
于是,科学家通过对设备的调整,将不同深度的粒子束结合在一起,人为制造一个能量平台期,也叫作“布拉格峰展宽”((Spread-Out Bragg Peak,简称SOPB)。这样如果是体积很大的肿瘤,就可以达到“爆炸范围全覆盖”。

02
拖尾效应
拖尾效应主要是针对质子和重离子两种粒子射线来说。还是这个射线图,我们看画红圈的部份:

质子在*破爆**后,能量迅速下降,直至能量值归零。就是说当射线穿透肿瘤后,几乎没有能量了,所以不会损伤肿瘤周边的器官。
重离子射线在穿透肿瘤后,还留存一部分能量。当多次照射之后,积累的这部分能量会对周围组织造成损伤。
别看重离子线在图中存余的能量值很低,实际治疗过程中如果采用人为制造布拉格峰展宽,累积的剩余能量可达平台期能量的10-20%。考虑到重离子射线对细胞的损伤是致死性的(不可逆),那么对于紧邻神经、血管的肿瘤,就需要谨慎使用重离子治疗,比如李宗伟的鼻咽癌就采用的质子治疗。

03
适形治疗
适形治疗=适合(肿瘤)形状治疗
就像手电的光线一样,放射线从机器中射出来是不会主动转弯的,因此早期的放疗实际上就是二维(2D)技术,保证放疗的射线把肿瘤区域全覆盖(下图)。

优点是操作简单,缺点就是照射范围太大,周围的健康组织损伤不少(比如后方的心脏)。
后来随着放疗技术升级,医生可以设定程序让照射区域根据肿瘤形状进行改变,也就是肿瘤什么形状,射线照射范围就是什么形状,简单说就是放疗界的3D技术。例如三维适形放疗(3DCRT)、适形调强放疗(IMRT)就是传统放疗的3D技术。
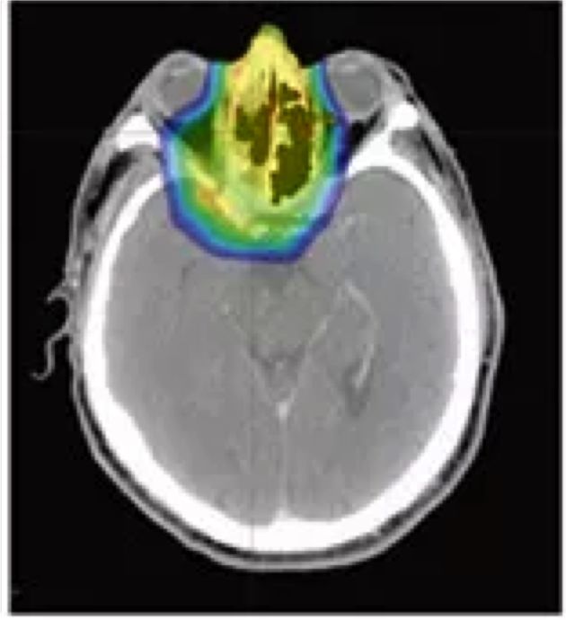
比如下图的头CT照片中,黄绿色部分是一个神经肿瘤,形态不规则,深度也不规则。

利用传统3D放疗技术可以把主要能量(红黄色部份)集中在肿瘤区域。但仍然有一部分低能量(蓝绿色)会波及到周边正常组织。即便3D照射技术很成熟,但由于伽马、x射线的本身特性,这种能量外溢不可避免。
当我们把射线换成质子和重离子线后,问题迎刃而解。调强质子治疗(IMPT)就是利用质子和重离子射线进行适形治疗。
3DCRT
三维适形放疗
IMRT
适形调强放疗
IMPT
调强质子治疗

这样对比下来,可以清楚的看出,对于不需要照到的地方,布拉格峰效应几乎不会损伤周围组织,不仅可以在癌症区域照射最大能量,同时有效地保护周边器官。
本质是局部治疗,破坏癌症不是治愈
癌症是一种全身性疾病,而质子、重离子治疗是放疗的一种,本质是癌症的局部治疗。
我们可以把质子重离子治疗理解为精度更准确的手术,所以,如果你问质子、重离子治疗可以治愈癌症吗?就相当于在问手术是否可以治愈癌症,那么答案一定是“有可能”。
局部治疗的目的是为了消除癌症病灶,而不是治愈癌症。对于早期的癌症,局部治疗可以做到临床治愈,而对于已发生全身多发转移的中晚期癌症患者,仅仅依靠局部治疗是不够的,需要多学科联合诊疗,以延缓病情发展。
(图片来源于网络,版权归作者所有)
第一部分就先讲到这里啦,下一篇我们将向大家介绍全球质子重粒子中心的最新数据,以及大家比较关心的治疗费用等情况。

招商函 | 2019诺贝尔奖获得者医学峰会
诺奖面对面 | 2019美东医疗产业深度考察(6月15-22日)
抗癌药研发成绩单:ASCO年会亮点
2019年4月全球批准新药概况