本期919明星兽医师:余来森

瑞鹏宠物医院广州中心医院主治医师、院长
中国兽医协会宠物诊疗分会理事
广州市动物诊疗行业协会副会长
华南农业大学、广州市动物诊疗行业协会及瑞鹏学院特聘讲师
专科研究方向:内科、牙科
牙断了,不止是痛。
淘气的汪星人、喵星人总是时不时给宝妈宝爸们出一些难题,淘气拆家就不用说了,还容易把自己弄伤,然后可怜巴巴地望着铲屎官:“粑粑麻麻,我的牙牙摔断了,痛痛,怎么办?”
很可惜,粑粑麻麻们虽然心疼不已,但还是很难感受到毛孩子们牙断了的痛苦,通常是放任在一边,觉得问题不大。
殊不知,因为这样就错过了最佳的治疗时间!也为后续毛孩子们发生牙病甚至牙槽骨、肝肾心等疾病埋下了隐患。

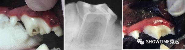
各种类型的齿折
你们家的猫咪和狗狗是不是也一样,对世界充满了好奇,还贪吃!常常左挠挠右咬咬,一言不合就跟别的毛孩子“摔跤”、“打架”,还喜欢啃咬坚硬的东西,磨磨自己的小尖牙。
这是毛孩子们的天性,也带来一个明显的问题,那就是它们的牙齿会由于种种原因发生折断,我们称之为“齿折”。
什么是齿折。
听说过“骨折”,还没有听过“齿折”吧!其实很简单,一般的齿折分为两种类型,一种是不露髓的简单齿折,一种是露髓的复杂齿折。
简单齿折,是牙齿最坚硬的部分牙釉或牙本质脱落受损,暴露了牙本质。虽然不会出血,也没有伤到牙髓,但是失去了“盔甲”的保护,里面的牙本质很容易被细菌和病毒入侵,导致牙本质感染、损伤,毛孩子们的牙很容易感受外界冷、热、酸、甜等刺激,甚至导致牙齿疼痛。
复杂齿折,是牙釉质和牙本质都被折断,暴露了牙髓腔。牙髓腔内的血管、神经、淋巴及结缔组织也就暴露在外,有时还会明显看到少量出血。因为口腔本身的潮湿开放的环境、细菌等病原体多等因素,发生复杂齿折后,处置不及时,非常容易发生牙髓感染。
如果进一步恶化,可能会导致很严重的疾病!例如深度的牙髓炎、牙根尖周炎甚至牙根周脓肿、牙槽骨炎、牙槽骨溶解……还因为牙髓神经对外界的刺激特别敏感,产生难以忍受的剧烈的疼痛,让毛孩子们痛苦不已。

牙髓炎的各种表现形式
遗憾的是,毛孩子们不会说话,不善表达,出于本能甚至还会表现得很正常,我们不容易发现它们的问题,也很难体会它们真切的痛苦。
牙折断了,要如何治疗呢?
很多时候家长们会问,牙齿都被折断了,那这颗牙还能要吗?
答案是肯定的,如果没有明显的牙周炎,我们会尽量不拔牙,选择牙冠修复或根管手术治疗。这种治疗创伤小,几乎不出血,可以避免拔牙造成的临近牙及牙槽骨的损伤,又可以让毛孩子们保持原本可爱的样子!
简单齿折的治疗,一般是利用树脂材料进行牙釉质的修复,将暴露的牙本质保护起来,避免受到刺激和感染。
复杂齿折的治疗方法有两种。
一种是活髓盖髓术,需要在断牙3天内进行,毛孩子不能有牙髓炎或可复性牙髓炎的恒牙、以及牙根尚未发育成熟的年轻恒牙。如果牙齿折断超过 3 天以上,牙髓感染可能深入牙根,这时候用活髓治疗就来不及了,家长要谨慎选择。
另一种是根管治疗术,其实跟人的“抽牙神经”治疗是一样的,治疗过程需要开髓、拔髓、根治制备、根管干燥、根管填充及根管封盖等,不过根管治疗主要适用于严重感染且不可复牙髓炎的恒牙或已有牙根尖周炎的恒牙。

犬齿的根管治疗手术前后

臼齿的根管治疗手术前后
复杂齿折的手术治疗因为手术流程复杂,涉及细节非常多, 建议粑粑麻麻们一定要选择专业的宠物牙科医师来给宝贝们进行这类牙科手术,以免手术失败,引起了诸如根管或牙根尖穿孔、感染等严重并发症。
甚至是到最后不得已,还不得不拔掉牙齿,宝贝们经历了痛苦又丢了牙牙。
说了这么多,相信大家对“齿折”有了大概的了解,千万不要再以为毛孩子淘气顽皮,牙齿有些损伤也没什么,所以为了保护好宝贝们的牙齿,一定要及时就医噢!
By
撰文/余来森
编辑、版式设计/地壳

END
“
秀迷微信公众平台订阅号:chshowtime
秀迷微信公众平台服务号:showtime-sh